石家庄三博种牙作为石家庄地区专注于口腔种植领域的专业机构,近年来凭借其规范化的诊疗流程、先进的种植技术以及专业的医疗团队,成为不少缺牙患者修复牙齿的选择,种植牙作为一种理想的牙齿修复方式,能够有效恢复咀嚼功能、改善面部美观,而石家庄三博种牙在种植牙的各个环节都注重细节与品质,为患者提供从术前到术后的全周期服务。
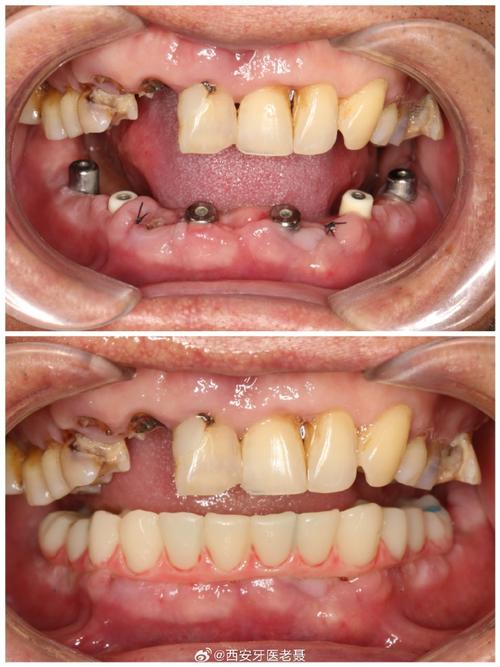
在技术层面,石家庄三博种牙紧跟国际口腔种植发展趋势,引入了多项先进的种植技术,数字化种植技术是核心优势之一,通过CBCT影像设备获取患者口腔的三维数据,结合口内扫描仪获取精准的牙模信息,利用专业软件进行种植方案的设计与模拟,能够提前预知种植体的植入位置、角度及深度,有效避开神经血管等重要解剖结构,大大提升了种植手术的安全性与精准度,对于部分牙槽骨条件较好的患者,三博种牙还开展即刻种植技术,即在拔牙后立即植入种植体,缩短了传统种植需要等待3-6个月的愈合期,减少了患者的就诊次数与等待时间,微创种植技术的应用也降低了手术创伤,术后肿痛反应较轻,恢复更快,尤其适合对疼痛敏感或身体状况较为特殊的患者。

医生团队是石家庄三博种牙的核心竞争力所在,机构内的种植医生均具备扎实的口腔医学理论基础和丰富的临床经验,多人拥有国内知名院校的口腔硕士、博士学位,并曾赴德国、美国等国家进行口腔种植技术的进修学习,在诊疗过程中,医生会根据患者的口腔实际情况(如牙槽骨密度、高度、咬合关系等)、全身健康状况以及个人需求,制定个性化的种植方案,对于全口缺牙的患者,可能推荐All-on-4即刻负重技术,仅需植入4颗种植体即可支撑半口牙冠,当天实现戴牙;对于单颗牙缺失,则优先选择对邻牙影响小的单颗种植修复,确保修复后的牙齿形态与邻牙协调,功能接近天然牙。
在服务流程上,石家庄三博种牙注重患者的就诊体验与沟通效果,从患者首次到院开始,就会有专业的咨询师进行一对一接待,详细了解缺牙史、全身病史及治疗期望,并引导患者完成口腔检查、CBCT拍摄等基础检查,检查数据会由种植医生团队进行联合会诊,结合患者需求制定2-3套治疗方案,包括不同种植体品牌、修复方式及费用明细,供患者自主选择,方案确定后,手术过程会严格执行无菌操作规范,配合先进的麻醉技术,确保患者在舒适的状态下完成手术,术后,医生会提供详细的护理指导,并建立终身档案,定期进行回访与复查,及时发现并解决种植牙可能出现的问题,延长种植牙的使用寿命。
关于种植牙的费用,石家庄三博种牙提供透明化的收费体系,价格根据种植体品牌、牙冠材料、手术难度等因素有所差异,目前市场上主流的种植体品牌如诺贝尔、ITI、奥齿泰、登腾等在三博均有提供,其中韩国登腾、奥齿泰等性价比品牌的价格区间通常在5000-8000元/颗,包含种植体、基台及烤瓷牙冠;而瑞士ITI、瑞典诺贝尔等高端品牌的价格则在10000-20000元/颗,适合对品质要求较高或牙槽骨条件复杂患者,机构还会不定期推出种植牙优惠活动,如学生/教师群体折扣、节假日特惠等,帮助患者降低治疗成本。
从患者反馈来看,石家庄三博种牙在服务态度、技术水平及术后效果方面均获得了较高评价,不少患者表示,医生在术前会耐心解释方案细节,消除紧张情绪;手术过程快速顺利,术后疼痛感轻微;种植牙使用后咀嚼功能恢复良好,外观自然,与真牙无异,但也有患者建议,可进一步优化预约系统,缩短等待时间,或增加更多种植体品牌的试用体验,方便患者选择。

相关问答FAQs
Q1:石家庄三博种牙的价格是否包含所有费用?是否有隐形消费?
A:石家庄三博种牙实行透明化收费,常规种植牙费用(如种植体、基台、牙冠、手术费、麻醉费、检查费等)会在术前方案中明确列出,患者确认方案后按标准收费,无隐形消费,但若患者存在特殊口腔情况(如牙槽骨骨量不足需植骨、上颌窦提升等),会产生额外的植骨材料费或手术费,这些也会在术前沟通时告知患者,经同意后才会实施,确保患者对费用有充分了解。
Q2:种植牙后能用多久?日常需要注意哪些维护事项?
A:种植牙的使用寿命与多种因素相关,若患者术后注意口腔维护且种植体与骨组织结合良好,理论上可使用10年以上,甚至终身,日常维护需做到:①保持口腔清洁,每天早晚刷牙、使用牙线或冲牙器清洁种植牙邻面,定期(3-6个月)进行口腔洁治;②避免咬硬物(如坚果壳、螃蟹壳等),防止种植体或牙冠受损;③戒烟限酒,吸烟会影响种植体周围骨组织的稳定性;④定期复查,医生会通过检查种植体周围有无炎症、骨吸收等情况,及时处理潜在问题,延长种植牙使用寿命。

