上颌牙列缺失会对咀嚼功能、面部美观及发音产生显著影响,尤其当上颌全部牙齿缺失时,传统活动义齿因固位差、易松动、异物感明显等问题,常难以满足患者对生活质量的需求,种植牙凭借其接近天然牙的修复效果,已成为上颌无牙颌修复的首选方案,上颌种植8颗”是兼顾功能与经济的常见设计,通过科学规划种植体位置与分布,实现稳定、高效的上颌牙列重建。
上颌种植8颗的适用情况与核心优势
上颌种植8颗主要适用于上颌全口无牙颌或半口多颗牙缺失(余留牙无法保留或修复)的患者,尤其适合牙槽骨条件尚可(或可通过骨增量改善)、希望获得固定修复、摆脱活动义齿困扰的人群,相较于传统活动义齿,该方案优势显著:

- 固位稳定:种植体植入牙槽骨内,与骨组织形成“骨结合”,提供类似天然牙的支撑力,义齿不会松动或脱落;
- 咀嚼高效:咬合力恢复可达80%-100%,能充分咀嚼硬质食物,改善营养吸收;
- 保护牙槽骨:种植体刺激牙槽骨,延缓因缺牙导致的骨吸收,维持面部饱满度;
- 美观舒适:无需基托覆盖 palate(上腭),异物感小,发音更自然,牙冠形态、颜色可根据邻牙或面部特征定制,协调度高。
种植前评估:关键检查与适应症把控
为确保种植成功,术前需进行全面评估,核心包括:
口腔检查与影像学评估
通过CBCT(锥形束CT)三维扫描,明确牙槽骨的骨量(高度、宽度)、密度,以及上颌窦底位置、下牙槽神经管等解剖结构,若骨量不足(如上颌窦气化导致骨高度不够,或牙槽骨宽度<5mm),需先进行骨增量治疗,如上颌窦内/外提升术、骨块移植、引导骨再生术(GBR)等,为种植体提供充足骨支持。
全身健康状况评估
排除种植禁忌症:未控制的严重系统性疾病(如糖尿病、心脏病、高血压)、骨质疏松(长期服用双膦酸盐类药物者需谨慎)、颌骨肿瘤或放疗史、严重磨牙症、口腔内急性炎症(如牙周炎、根尖周炎)等,需先控制全身疾病,待病情稳定后再行种植。
适应症与禁忌症总结
| 类别 | |
|---|---|
| 适应症 | 上颌全口/半口无牙颌;牙槽骨骨量充足或可经增量改善;口腔卫生良好,能配合术后维护;对美观、功能要求高者。 |
| 禁忌症 | 未控制的全身系统性疾病;颌骨骨量严重不足且无法增量;严重牙周病未治疗;吸烟量大(日>20支)且无法戒烟;精神疾病无法配合治疗者。 |
种植方案设计:8颗种植体的分布逻辑与技术要点
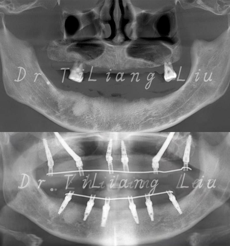
上颌种植8颗通常采用“All-on-8”技术,通过前牙区与后牙区种植体的合理分布,兼顾美学与力学支撑,种植体位置需避开上颌窦、颏孔等重要解剖结构,同时确保咬合力均匀分散。

种植体位置分布(以全口无牙颌为例)
| 区域 | 种植体数量 | 功能定位 | 种植体直径/长度 |
|---|---|---|---|
| 前牙区(中切牙、侧切牙) | 4颗(每侧2颗) | 承担美学功能(维持前牙区丰满度)及部分咬合力,种植体角度较直,利于前牙区牙冠排列。 | 直径3.5-4.5mm,长度10-12mm |
| 后牙区(第一前磨牙至第二磨牙) | 4颗(每侧2颗) | 承担主要咀嚼功能,种植体可 slightly 远中倾斜(15°-30°),避开上颌窦,同时分散咬合力。 | 直径4.0-5.0mm,长度8-12mm(需结合骨量调整) |
关键技术要点
- 数字化导板辅助:通过3D打印制作种植导板,术中精准定位种植体位置、角度及深度,减少误差,提升手术安全性;
- 上颌窦提升术:后牙区若上颌窦底距离牙槽嵴顶<5mm,需行上颌窦内提升(骨量轻度不足)或外提升(骨量重度不足),同期植入骨粉(如Bio-Oss),确保种植体周围有足够骨包绕;
- 即刻负重与延期负重:若患者骨条件好、初期稳定性高(种植体植入后扭力>35N·cm),可考虑即刻负重(当天戴临时牙冠);否则需延期3-6个月,待骨结合完成后戴牙。
手术流程与术后恢复
手术步骤(以延期负重为例)
- 麻醉:局部浸润麻醉或镇静麻醉,确保术中无痛;
- 切口与翻瓣:沿牙槽嵴顶做切口,翻开黏骨膜瓣,暴露牙槽骨;
- 备洞与植入:根据导板逐级备洞,植入种植体(如Straumann、Nobel等品牌种植体),植入后覆盖螺丝(愈合基台);
- 缝合:分层缝合牙龈,术后7-10天拆线。
术后恢复阶段
| 阶段 | 时间 | 注意事项 |
|---|---|---|
| 愈合期 | 3-6个月 | 避免种植区受力,饮食以软食、流质为主;保持口腔卫生(刷牙+漱口),遵医嘱用抗生素;定期复查(术后1周、1个月、3个月)。 |
| 戴牙期 | 骨结合完成后 | 安装基台,取模制作牙冠(全瓷冠或烤瓷冠),试戴调整咬合,确保无早接触、干扰;永久粘固牙冠。 |
| 维护期 | 长期 | 每日正确使用牙线、冲牙器清洁种植体周围;每6个月-1年复查1次,洁牙并检查种植体周围状况。 |
常见并发症与预防
尽管种植牙成功率较高(95%以上),但仍需警惕并发症:
- 种植体周围炎:主要因口腔卫生维护不当,菌斑堆积导致种植体周围骨吸收,预防:严格口腔卫生,定期专业洁牙,避免吸烟;
- 上颌窦穿孔:备洞时损伤上颌窦黏膜,多因骨量不足时操作不当,预防:术前CBCT评估,术中谨慎备洞,必要时行上颌窦提升;
- 种植体松动/失败:与骨结合不良、咬合力过大、全身疾病等有关,预防:控制全身疾病,合理设计咬合,避免咬硬物。
预期效果与寿命
上颌种植8颗后,患者咀嚼功能、面部美观及生活质量可显著改善,若维护得当(口腔卫生良好、定期复查、无不良习惯),种植体使用寿命可达10-20年,甚至终身,牙冠材质(如全瓷冠)硬度高、美观性好,一般5-10年后根据磨损情况更换。
相关问答FAQs
问题1:上颌种植8颗手术痛吗?术后多久能恢复正常生活?
解答:手术通常在局部麻醉下进行,术中无疼痛感;术后可能出现轻微肿胀、疼痛,可通过冰敷和止痛药缓解,一般3-5天症状消失,若未行即刻负重,术后1周可恢复正常饮食;若即刻负重,需1-2周避免用种植区咀嚼,2周后可逐步恢复正常生活。
问题2:上颌骨骨量严重不足,还能种8颗吗?需要额外治疗吗?
解答:可以,但需先进行骨增量治疗,常见方法包括:上颌窦内提升(适用于轻度骨量不足,植入骨粉后同期或延期种植)、上颌窦外提升(适用于重度骨量不足,需3-6个月骨愈合后再种植)、骨块移植(取自体骨如髂骨)等,治疗周期可能延长3-6个月,但能确保种植体长期稳定。

