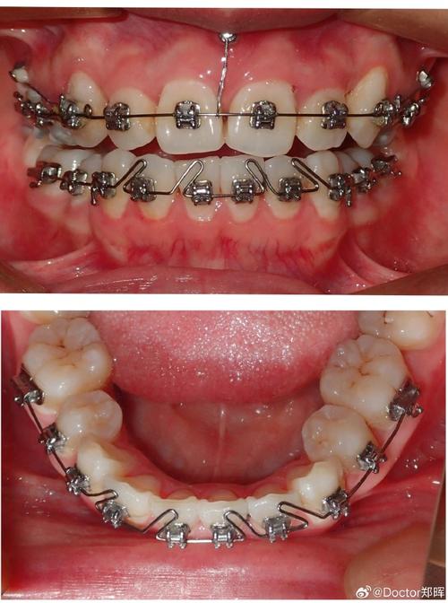
正畸锁丝是口腔正畸治疗中用于固定矫治弓丝与牙齿托槽的关键辅助材料,属于固定矫治技术中的“连接枢纽”,在牙齿矫正过程中,医生需要通过弓丝施加力量来移动牙齿,而弓丝必须稳定地固定在牙齿表面的托槽内,才能确保矫治力持续、精准地传递,锁丝的核心作用便是通过结扎或锁结的方式,将弓丝与托槽紧密连接,防止弓丝移位或脱出,从而实现牙齿按预设方向移动、排列整齐、调整咬合关系等治疗目标。
正畸锁丝的核心功能
正畸治疗的核心原理是“生物力学”,即通过持续、轻度的力诱导牙齿周围的牙槽骨改建,带动牙齿移动,锁丝在这一过程中扮演着“力量传递者”和“位置稳定器”的双重角色,具体功能可细分为以下四点:

固定弓丝与托槽的相对位置
托槽是粘贴在牙齿表面的金属或陶瓷小装置,其槽沟用于容纳弓丝;而锁丝则通过缠绕、结扎或嵌入锁结结构的方式,将弓丝牢牢固定在托槽槽沟内,传统方丝弓矫治器中,医生会用结扎丝(直径通常为0.2mm-0.3mm的不锈钢丝)环绕弓丝与托槽,形成“8”字形或环形结扎,确保弓丝在槽沟内无晃动,若锁丝固定失效,弓丝可能移位或脱出,导致矫治力中断,甚至划伤口腔黏膜。
传递与调控矫治力
牙齿移动需要不同类型的力(如水平力、垂直力、旋转力),而锁丝的材质、直径和结扎方式直接影响矫治力的传递效率,以圆形结扎丝为例,其柔软性较强,可提供轻微、持续的弹性力,适用于早期排齐阶段;而方形锁结丝(如自锁托槽中的金属夹)则通过刚性锁结,对弓丝的固定更稳定,能传递精准的扭转力或压低力,用于精细调整牙齿位置,锁丝的松紧度也会影响矫治力:结扎过松会导致弓丝与托槽间隙过大,力量衰减;结扎过紧则可能过度压迫牙齿,引发牙根吸收疼痛。
维持治疗阶段的牙齿稳定
在正畸治疗的后期(如关闭拔牙间隙、调整咬合关系),牙齿需要被稳定在目标位置,以避免因肌肉力量或咬合干扰而复发,锁丝通过固定保持弓丝(如不锈钢方丝),限制牙齿的异常移动,为牙槽骨的改建和牙周组织的修复提供时间,在“维持期”,医生通常会使用结扎丝将保持弓丝与托槽永久结扎,确保牙齿在新的位置稳定至少6-12个月。
辅助复杂病例的个性化治疗
对于复杂的正畸病例(如埋伏牙牵引、骨性畸形矫正、开颌/深覆颌调整等),锁丝需与其他装置(如牵引钩、螺旋弹簧、颌板等)配合,实现多方向的力传递,在埋伏牙牵引中,医生会在弓丝上焊接牵引钩,用结扎丝将牵引钩与埋伏牙上的附件连接,通过橡皮链施加持续的牵引力,引导埋伏牙移动至牙列正常位置,锁丝的灵活性和可控性,使得复杂病例的多维度力调控成为可能。

正畸锁丝的类型与适用场景
根据材质、形态和功能的不同,正畸锁丝可分为多种类型,不同类型的锁丝适用于治疗的不同阶段和需求,以下为常见类型的对比:
| 类型 | 材质 | 特点 | 适用场景 |
|---|---|---|---|
| 结扎丝 | 不锈钢丝、钛合金丝 | 柔软易操作,结扎力度均匀,需医生手工缠绕结扎 | 早期排齐阶段(配合镍钛圆丝)、保持期固定(配合保持弓丝) |
| 锁结丝(方丝锁结) | 方形不锈钢丝 | 通过锁结装置固定,稳定性高,无需频繁更换,减少患者复诊次数 | 方丝弓矫治的精细调整阶段(如关闭间隙、扭转牙矫正) |
| 弹性结扎圈 | 硅胶材质(彩色/透明) | 弹性好,操作便捷,舒适度高,但弹性易衰减,需定期更换 | 需要轻微持续力的阶段(如整平牙弓),对美观要求高的患者(透明款更隐蔽) |
| 自锁托槽专用锁丝 | 金属夹(钛合金/不锈钢) | 内置滑道或夹持结构,弓丝可滑动,减少摩擦力,缩短治疗时间 | 高效矫治需求(如快速排齐、滑动法关闭间隙),对疼痛敏感的患者 |
正畸锁丝的使用注意事项
锁丝虽小,但其使用效果直接影响治疗进程和患者体验,需医生和患者共同关注以下要点:
对医生的操作要求
- 规范结扎力度:结扎丝的结扎力度需适中,以能轻松插入结扎丝钳尖端但无过度晃动为标准,力度过大可能导致牙齿疼痛、牙根吸收;力度过小则无法固定弓丝。
- 避免损伤口腔黏膜:结扎丝末端需修剪平整,或向托槽方向弯折,防止划伤唇颊黏膜,对于自锁托槽,需定期检查锁结装置是否完全闭合,避免弓丝末端弹出刺伤口腔。
- 定期调整与更换:弹性结扎圈需1-2周更换一次(弹性衰减后无法传递有效力);不锈钢结扎丝可4-6周更换一次(氧化后易断裂)。
对患者的日常护理
- 加强口腔卫生:锁丝周围易存留食物残渣,需使用正畸专用牙刷(如U型刷、正畸小头牙刷)、牙线穿引器、冲牙器等工具清洁,避免牙龈炎、龋齿等并发症。
- 避免咬硬物:咬硬物(如坚果、骨头、冰块)可能导致锁丝变形、弓丝移位或托槽脱落,若发生脱落需及时联系医生处理。
- 关注异常情况:若锁丝断裂、末端刺痛口腔,或出现牙齿剧烈疼痛、松动加剧等情况,需尽快复诊检查,避免影响治疗进程。
正畸锁丝的重要性
正畸锁丝看似是治疗中的“小配角”,实则是决定矫治效果的关键“纽带”,其核心价值在于:通过稳定的连接,将医生设计的矫治方案转化为精准的生物力学力,引导牙齿有序移动,若锁丝固定不当,可能导致弓丝作用失效、牙齿移动异常,甚至延长治疗时间(如原本2年的治疗可能延长至3年)或影响最终咬合功能(如牙齿排列不齐、咬合创伤),规范使用锁丝是正畸治疗成功的基础保障之一。
相关问答FAQs
Q1:正畸锁丝扎到肉怎么办?
A:若锁丝末端刺痛口腔黏膜,可先用无菌棉签或正畸蜡覆盖刺痛部位(药店有售正畸专用蜡,无色无味,安全无毒),临时缓解不适,同时避免用舌头或手反复触碰刺激区域,防止黏膜损伤加重,若锁丝变形或明显刺出,需尽快联系医生复诊,由医生修剪或调整锁丝位置,切勿自行处理,以免误伤牙齿或托槽。

Q2:锁丝颜色变黑是否需要更换?
A:不锈钢结扎丝长期接触唾液和食物残渣,可能出现表面氧化变色(变黑或变暗),若锁丝本身无断裂、变形,仍能稳定固定弓丝,通常无需立即更换,但在复诊时医生会检查其氧化程度,必要时更换,而弹性结扎圈变色(如变黄、变硬)则需及时更换,可能因色素沉着或弹性衰减,无法有效传递矫治力,且变色可能反映口腔清洁不到位(如色素沉积),需加强清洁。
