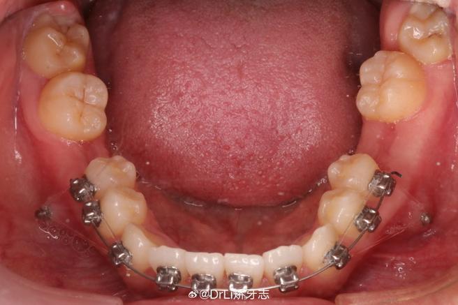
正畸治疗进入尾声时,医生会为患者戴上最后一根弓丝,这通常被称为“完成弓丝”或“精调弓丝”,是决定最终治疗效果的关键一步,相较于治疗中期的排齐、关闭间隙等阶段,最后一根弓丝更注重细节的打磨和稳定性的建立,标志着正畸从“移动牙齿”转向“完美塑形”。
最后一根弓丝的核心作用
最后一根弓丝的核心目标是实现牙齿的“最终精确定位”,包括三个方面:一是咬合关系的优化,确保上下牙齿的尖窝交错、接触点紧密,避免咬合创伤或食物嵌塞;二是牙冠形态的协调,通过弓丝的细微调整,让每颗牙的邻接点高度、边缘嵴弧度更自然,提升美观度;三是牙根位置的稳定,通过控制牙齿的转矩(倾斜度)和转矩(旋转度),使牙根垂直于牙槽骨,减少复发风险,对于前牙,医生会通过弓丝的“第三序列弯曲”调整牙根的唇舌位置,避免“黑三角”或“龇牙”;对于后牙,则通过“第二序列弯曲”确保牙尖的交错关系,让咀嚼功能更高效。

材质与设计:为何最后一根弓丝如此特别?
最后一根弓丝的材质和形态设计,都围绕“精细控制”和“长期稳定”展开,材质上,医生多选择不锈钢丝或β钛丝:不锈钢丝刚性强,能提供稳定的支抗,适合对转矩要求高的病例;β钛丝兼具柔韧性和可控性,对于需要微调的复杂错颌更友好,相较于治疗初期的镍钛丝(弹性好、力量柔和),最后一根弓丝的弹性较低,但形变后回弹力更强,能精准传递医生预设的移动力量。
形态上,这根弓丝是医生根据患者牙模型“个性化定制”的“理想弓形”,弓丝的宽度、高度、弧度都经过精密计算:宽度需与牙弓形态完全贴合,避免托槽“悬空”;高度需预留出牙齿的生理性动度空间;弧度则需匹配患者的面部美学,比如微笑时上颌切牙的暴露量、下颌平面曲线等,部分医生还会在弓丝上焊接“辅簧”或“曲”,用于微调个别牙齿的位置,如扭转牙的纠正、轻微深覆合的打开等。
临床操作:从“放置”到“稳定”的精细流程
放置最后一根弓丝前,医生会先拆除之前的弓丝,彻底清洁托槽和牙面,检查是否有釉质脱矿或龋坏痕迹,随后,将定制好的弓丝逐个放入托槽槽沟,用结扎丝或结扎圈固定,这一过程看似简单,实则考验医生的手感:弓丝需“被动就位”,即不施加额外力量就能贴合所有托槽,否则可能造成牙齿意外移动。
放置后,患者通常需要每隔4-6周复诊一次,医生会通过“咬合纸”检查牙齿接触点的分布,用“探针”测量邻接点紧密度,必要时进行弓丝的“弯折调整”,若发现某颗后牙早接触,医生会轻轻磨改弓丝对应位置,让咬合力均匀分布;若前牙存在微小间隙,则会在弓丝上制作“关闭曲”逐步关闭,整个精调阶段一般持续3-6个月,直到牙齿位置稳定、咬合关系达到理想状态。

患者注意事项:配合是效果的“另一半”
最后一根弓丝阶段,患者的配合度直接影响最终效果。口腔卫生需更严格:弓丝末端可能伸长,易刮伤黏膜,需使用正畸专用小头牙刷、牙缝刷、冲牙器彻底清洁,避免托槽周围食物残留导致龋坏或牙龈炎。饮食要格外小心:避免咬硬物(坚果、螃蟹壳)、黏性食物(口香糖、年糕),防止弓丝变形或托槽脱落。按时复诊至关重要:医生需通过复诊监控牙齿移动速度,及时调整方案,若擅自延长复诊间隔,可能导致牙齿反弹,延长治疗时间。
不同阶段弓丝特点对比
为了更直观理解最后一根弓丝的特殊性,可通过表格对比治疗中不同阶段弓丝的差异:
| 对比维度 | 前期弓丝(如镍钛丝) | 中期弓丝(如不锈钢丝) | 最后一根完成弓丝 |
|---|---|---|---|
| 核心功能 | 排齐牙齿、解除拥挤 | 关闭拔牙间隙、调整轴倾度 | 精细定位、咬合稳定、形态塑形 |
| 材质特点 | 高弹性、力量柔和 | 刚性较强、力量持久 | 高精度定制、刚柔平衡 |
| 作用阶段 | 治疗初期(0-6个月) | 治疗中期(6-18个月) | 治疗末期(18个月以上) |
| 医生操作重点 | 快速移动牙齿、建立基本弓形 | 控制牙齿长轴、关闭间隙 | 调整咬合接触、优化美学曲线 |
| 患者感受 | 初戴时酸痛明显,牙齿移动快 | 力量感较强,可能伴随不适 | 异物感减轻,需注意饮食保护 |
相关问答FAQs
Q1:最后一根弓丝戴多久才能取牙套?
A:通常需要佩戴3-6个月,具体时间取决于牙齿的稳定情况和咬合精细度,医生会通过口腔检查、X光片和牙模型评估:若牙根位置稳定、咬合接触点均匀、无复发迹象,方可进入保持器阶段;若存在个别牙齿轻微移位或咬合干扰,则需延长佩戴时间,直至调整至理想状态。
Q2:戴上最后一根弓丝后,吃东西感觉牙齿“没劲”,是正常的吗?
A:属于正常现象,最后一根弓丝更注重牙齿的“精准定位”,而非大幅度移动,牙齿在适应新位置时,可能出现短暂的肌肉酸痛或咬合力感知异常,一般1-2周会逐渐缓解,若疼痛持续加重或出现咬合困难,需及时复诊,检查弓丝是否变形或牙齿是否有早接触点。

