大牙是口腔中承担主要咀嚼功能的重要牙齿,一旦因严重龋坏、牙周病或外伤等原因无法保留,就需要及时拔除并进行修复,拔大牙后的修复方式主要包括种植牙和镶牙(传统义齿),两者各有特点,适用情况也不同,了解其细节有助于根据自身条件选择最合适的方案。
拔大牙的原因与注意事项
拔大牙的常见原因包括:严重的龋齿导致牙体大面积缺损,无法通过根管治疗和填充保留;牙周病引起的牙槽骨吸收,牙齿松动度超过Ⅲ度;牙根折裂或隐裂,治疗后仍反复疼痛;正畸治疗需要拔除阻生智齿或前磨牙为空间调整让路,拔牙前需进行口腔检查(如X线片评估牙根形态、牙槽骨状况)和全身健康评估(如血压、血糖、凝血功能等),高血压患者需控制血压在160/100mmHg以下,糖尿病患者空腹血糖应≤8.0mmol/L,以降低术后感染风险,拔牙后24小时内避免漱口和刷牙,术后2小时可进食温凉流食(如粥、酸奶),避免用患侧咀嚼,1周内不要吸烟饮酒,以免引发干槽症(表现为拔牙窝剧烈疼痛、血凝块脱落),若出现需及时就医处理。

种植牙:修复缺失牙的“理想方案”
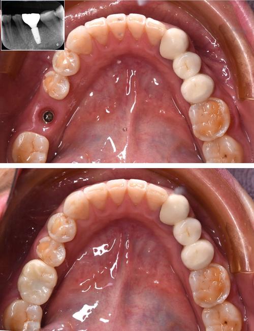
种植牙是通过外科手术将纯钛或钛合金制成的种植体(类似人工牙根)植入牙槽骨内,待3-6个月骨结合完成后,再在种植体上安装基台和牙冠,最终实现功能与美观的修复,其核心优势在于“独立支撑”,不损伤邻牙,且咀嚼效率可达天然牙的90%以上。
适用情况:适用于牙槽骨条件良好(高度≥10mm、宽度≥5mm)、全身健康状况允许手术的患者,尤其适合单颗牙缺失、多颗牙缺失或全口牙缺失者,若牙槽骨骨量不足,可先进行植骨术(如自骨移植、骨粉填充)或上颌窦提升术,待骨量充足后再行种植。
流程与周期:
- 术前准备:拍摄CBCT(锥形束CT)评估骨量,设计种植方案,排除种植禁忌症。
- 植入种植体:在局部麻醉下切开牙龈,暴露牙槽骨,逐级备洞后植入种植体,缝合伤口,术后7-10天拆线。
- 骨结合期:种植体与牙槽骨通过骨改建形成紧密结合,通常需3-6个月(骨质疏松患者可能延长)。
- 修复阶段:骨结合后安装愈合基台,2周后取模制作牙冠(全瓷冠、烤瓷冠等),试戴合适后粘固完成。
优缺点:优点包括不损伤邻牙、美观自然、使用寿命长(维护得当可用20-30年)、咀嚼功能好;缺点是费用较高(单颗种植牙费用约8000-20000元)、治疗周期长、需手术(存在一定风险,如种植体周围炎、神经损伤等)。

镶牙:传统修复方式的“双路径”
镶牙分为固定义齿(固定桥)和活动义齿两类,是通过磨除邻牙或依靠基托固位,替代缺失牙的功能。
固定义齿(固定桥)
固定桥是将缺失牙两侧的健康牙齿磨小作为基牙,再制作包含桥体(替代缺失牙)和两个全冠的修复体,粘固在基牙上,患者无法自行摘戴。
适用情况:适用于缺牙数目少(1-2颗)、缺牙区两端有健康基牙(牙体、牙周状况良好)、咬合力适中的患者。
流程与周期:基牙预备(磨出适合冠的形态)→取模(用硅橡胶或藻酸盐)→制作临时冠保护基牙→技工室加工固定桥(1-2周)→试戴、调颌、粘固。
优缺点:优点是舒适度高(无异物感)、咀嚼效率较好、费用相对较低(单颗桥体约3000-8000元);缺点是需磨损健康邻牙(可能引发基牙敏感、龋坏)、桥体下方易存食物残渣导致清洁困难、使用寿命约5-10年(基牙损坏后需重新修复)。
活动义齿
活动义齿由基托(塑料或金属)、人工牙、卡环(固位体)组成,依靠卡环挂在邻牙或基托吸附在牙龈上固位,患者可自行摘戴。
适用情况:适用于缺牙数目多、牙槽骨条件差(无法种植或固定桥)、全身状况差无法耐受手术的患者,尤其适合老年人群。
类型与特点:
- 局部可摘义齿:修复少数牙缺失,基托范围较小,金属卡环固位(如钴铬合金、钛合金),费用约1000-5000元。
- 全口义齿:适用于全口牙缺失,依靠基托与黏膜的吸附力和大气压力固位,需定期重衬(调整基托密合度),费用约2000-8000元。
优缺点:优点是适用范围广、费用低、可摘戴便于清洁、能修复牙槽骨缺损后的软组织形态;缺点是异物感强、咀嚼效率低(约为天然牙的40%-60%)、金属卡环可能影响美观、长期佩戴可能导致牙龈萎缩。
种牙与镶牙的对比选择
为更直观展示两种修复方式的差异,可通过表格对比关键指标:

| 对比维度 | 种植牙 | 镶牙(固定桥/活动义齿) |
|---|---|---|
| 对邻牙影响 | 不损伤邻牙 | 固定桥需磨除邻牙;活动义齿不磨牙 |
| 咀嚼功能 | 接近天然牙(90%以上) | 固定桥约70%-80%;活动义齿40%-60% |
| 美观度 | 牙冠形态、颜色与天然牙接近 | 固定桥较好;活动义齿基托可能暴露 |
| 使用寿命 | 20-30年或更长 | 固定桥5-10年;活动义齿3-8年 |
| 费用 | 较高(8000-20000元/颗) | 较低(固定桥3000-8000元;活动义齿1000-8000元) |
| 治疗周期 | 3-6个月(含骨结合期) | 固定桥2-4周;活动义齿3-4周 |
| 适用人群 | 牙槽骨条件好、全身健康者 | 牙槽骨差、缺牙多或经济受限者 |
相关问答FAQs
Q1:拔完大牙后多久能种牙?如果牙槽骨条件不好怎么办?
A:拔牙后通常需等待2-3个月待拔牙窝愈合、牙槽骨稳定后再行种植,若拔牙时牙槽骨无明显缺损,部分患者也可选择“即刻种植”(拔牙同期植入种植体,缩短治疗周期),若牙槽骨骨量不足(如高度、宽度不够),可先进行植骨术:自骨移植(从患者自身取骨,如下颌骨外斜线)或骨粉填充(人工骨材料),待3-6个月骨量充足后再种植;对于上颌后牙区牙槽骨接近上颌窦者,需行“上颌窦提升术”,将上颌窦黏膜推起,在窦底植入骨粉,增加骨高度。
Q2:种牙和镶牙能用多久?日常如何维护?
A:种植牙维护得当可使用20-30年以上,甚至终身;固定桥使用寿命约5-10年(取决于基牙健康);活动义齿一般3-8年,需定期更换(因塑料基托老化、人工牙磨损),日常维护需注意:① 种牙者需使用软毛牙刷、牙线、冲牙器清洁种植体周围,避免种植体周围炎(主要导致种植失败);② 固定桥需用牙线清洁桥体下方,防止邻龋;③ 活动义齿需每天摘下用义齿清洁剂刷洗,睡前浸泡在冷水中(避免热水导致变形);④ 所有修复方式均需定期(每6-12个月)复查,由医生检查咬合、固位及口腔健康状况。
