口腔正畸2类牵引力是正畸治疗中针对安氏Ⅱ类错颌畸形(磨牙关系为上颌第一磨牙近中颊尖咬合于下颌第一磨牙近中颊沟的远中侧)常用的力学手段,通过颌间牵引装置施加特定方向的力,引导牙齿、颌骨及咬合关系向正常方向调整,其核心目标是纠正磨牙远中关系、改善前牙覆盖、协调上下颌骨位置关系,同时兼顾面部美观与咀嚼功能。
2类牵引力的作用机制与生物学基础
2类牵引力的效果依赖于牙齿周围组织的改建,包括牙周膜、牙槽骨及颌骨的适应性变化,当牵引力施加于上下颌牙齿时,牙周膜一侧受压(破骨细胞活跃,牙槽骨吸收),另一侧受牵张(成骨细胞活跃,牙槽骨沉积),从而实现牙齿的整体移动或倾斜移动,具体机制因牵引类型而异:

- 磨牙远中移动:通过上颌磨牙颊侧牵引钩与下颌前牙/前磨牙舌侧牵引钩的连接,产生向后上的分力,推动上颌磨牙向远中移动,同时下颌前牙/前磨牙受向前的分力,可能发生唇倾或整体前移,最终纠正磨牙关系。
- 前牙内收与覆盖改善:牵引力通过上前牙牙冠的杠杆作用,产生冠舌向、根唇向的移动,减少前牙覆盖;若配合下颌前牙支抗控制,可避免下前牙过度唇倾,维持前牙区稳定性。
- 垂直向控制:部分牵引设计(如高位牵引)可压低上颌后牙,减少后面高;低位牵引则可能升高下颌后牙,适用于高角病例的开颌风险控制。
2类牵引力的适用人群与临床指征
并非所有Ⅱ类错颌均需2类牵引,需结合患者年龄、错颌类型(牙性/骨性)、面部垂直高度、牙周状况等综合判断:
(一)典型适用情况
-
牙性Ⅱ类错颌:
- 上颌前牙前突、前牙覆盖过大(>4mm),磨牙关系为完全远中或远中尖对尖;
- 上颌磨牙近中移动不足,或下颌磨牙远中萌出不足导致的功能性Ⅱ类关系;
- 轻度下颌后缩,无明显骨性畸形(ANB角<5°)。
-
骨性Ⅱ类错颌的掩饰性治疗:
对于轻度骨性Ⅱ类(ANB角5°-7°),患者拒绝或无法接受正颌手术时,通过2类牵引结合支抗控制,可实现磨牙关系的代偿性调整,改善侧貌凸度。
(图片来源网络,侵删) -
混合牙列期及恒牙列早期患者:
- 混合牙列期(替牙期)存在上颌第二乳磨牙早失导致的上颌第一磨牙近中倾斜,可通过2类牵引引导上颌第一磨牙向远中移动,建立正常磨牙关系;
- 恒牙列早期(青少年)颌骨改建潜力大,牵引效果更显著。
(二)慎用或禁忌情况
- 重度骨性Ⅱ类畸形(ANB角>8°、下颌后缩明显),单纯牵引难以纠正颌骨不调,需联合正颌手术;
- 严重牙周病患者:牙槽骨吸收超过根长1/3,牵引易加重牙周损伤;
- 口腔卫生不良者:牵引装置易存留食物残渣,增加龋齿和牙龈炎风险,需先控制炎症;
- 高角病例(前面高>正常值):高位牵引可能加重后面高,导致开颌风险,需配合垂直向控制措施(如前牙区平面导板)。
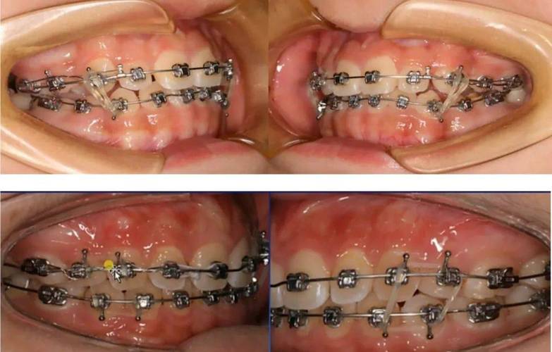
2类牵引力的操作规范与类型选择
2类牵引力的效果高度依赖规范操作,包括牵引装置选择、牵引方向、佩戴时间及复诊调整等,临床常用牵引类型及特点如下表所示:
| 牵引类型 | 装置组成 | 适用情况 | 力的特点 | 注意事项 |
|---|---|---|---|---|
| 标准Ⅱ类颌间牵引 | 上颌第一磨牙颊面管近中钩 + 下颌尖牙远中钩或第一前磨牙舌侧钩 | 牙性Ⅱ类、磨牙远中关系为主 | 水平向后牵引,上磨牙远中移动+下前牙前移 | 避免下前牙过度唇倾,需加强支抗(如颌间牵引+种植体支抗) |
| Ⅱ类垂直牵引 | 上颌磨牙颊侧钩 + 下颌前牙舌侧钩(牵引方向与平面呈45°-60°) | 伴深覆合、高角病例,需压低上后牙 | 垂直向分力压低上磨牙,水平向后移动磨牙 | 牵引力值需减小(1.5-2.0盎司),避免牙根吸收 |
| Ⅱ类短牵引 | 上颌第一磨牙颊侧钩 + 下颌第一前磨牙颊侧钩(仅后牙区牵引) | 后牙段Ⅱ类关系、前牙覆盖正常 | 集中作用于后牙,减少前牙干扰 | 适用于前牙区无需调整的病例,避免前牙覆合变化 |
| Ⅱ类交互牵引 | 上颌磨牙颊侧钩 + 下颌磨牙舌侧钩(双侧同时牵引) | 双侧磨牙远中关系、下颌牙弓狭窄 | 横向扩弓+远中移动,协调牙弓宽度 | 需观察下颌磨牙舌侧牙龈状况,防止溃疡 |
(一)操作步骤
- 牵引装置准备:选择合适尺寸的橡皮圈(常用3/16"或1/4",直径对应不同牙冠间距),确认牵引钩位置(上颌磨牙颊面管近中弯制牵引钩,下颌尖牙或前磨牙舌侧粘接牵引钩);
- 佩戴方法:患者需将橡皮圈一端勾挂于上颌牵引钩,另一端勾挂于下颌牵引钩,确保牵引力方向与设计一致(避免橡皮圈扭曲或滑脱);
- 时间与频率:每日佩戴时间≥20小时(除刷牙、进食外),每24小时更换一次橡皮圈(弹性衰减后力值下降50%以上,影响疗效);
- 复诊调整:每4-6周复诊一次,检查牙齿移动情况、咬合变化、牙周及黏膜状况,调整牵引方向或更换牵引装置。
2类牵引力的联合治疗策略与并发症管理
(一)联合治疗增强疗效
- 配合支抗控制:为避免上颌磨牙前移(支抗丧失),可联合种植体支抗(如颧骨种植钉、腭部种植钉)或传统支抗(如Nance弓、舌弓),稳定上颌后牙,确保牵引力有效作用于下颌前牙及磨牙远中移动;
- 扩弓与牵引结合:对于上颌牙弓狭窄伴Ⅱ类错颌,先进行快速腭扩(RME)或慢速扩弓,增加牙弓宽度后,再行2类牵引,避免后牙锁结干扰;
- 前牙区片段弓技术:针对前牙覆盖过大病例,配合片段弓内收上前牙,结合2类牵引,实现前牙与后牙的协同移动。
(二)常见并发症及处理
- 牙齿酸痛与不适:牵引初期(1-3天)可能出现牙齿酸痛,属正常现象,可建议患者服用非甾体抗炎药(如布洛芬),避免咀嚼硬物;
- 口腔黏膜溃疡:橡皮圈或牵引钩摩擦黏膜,可使用正畸保护蜡覆盖牵引钩,调整橡皮圈松紧度;
- 下前牙唇倾与覆盖加重:未加强下颌支抗时,牵引力可能导致下前牙唇倾,需联合颌间牵引+种植体支抗内收下前牙,或调整牵引方向(如下颌前牙舌侧放置高牵引钩);
- 牙根吸收:长期过大牵引力(>4.5盎司)或牵引方向不当,可能加重牙根吸收,需定期拍摄根尖片观察,控制牵引力值;
- 咬合干扰与创伤:牵引过程中可能出现咬合高点,导致颞下颌关节(TMJ)不适,需及时调磨干扰点,确保咬合均匀。
2类牵引力的效果评估与维护
2类牵引的疗效需通过临床检查、影像学分析及患者主观感受综合评估:
- 临床检查:磨牙关系(从远中中性到近中中性)、前牙覆盖(减少2-4mm为有效)、覆合情况、面部侧貌(鼻唇角改善);
- 影像学检查:治疗前后头颅侧位片测量ANB角、SNA角、SNB角、U1-NA距、L1-NB距等指标,评估颌骨及牙齿位置变化;
- 长期稳定性:拆除牵引器后需保持器(如 Hawley 保持器、透明保持器)长期佩戴(至少1年),避免复发,尤其对于骨性代偿病例,需定期复查(每3-6个月)。
相关问答FAQs
Q1:2类牵引过程中出现下前牙疼痛怎么办?
A:下前牙疼痛通常与牵引力作用下牙齿移动的生理反应有关,尤其在佩戴初期1-3天较为常见,建议患者保持口腔卫生,避免咀嚼过硬食物,可服用布洛芬缓释胶囊缓解疼痛(成人0.3g/次,每日2次),若疼痛持续超过1周或逐渐加重,需复诊检查是否存在咬合创伤、牵引方向不当或牙根吸收等问题,医生可能调整牵引力值或方向。

Q2:2类牵引需要每天戴多久?中途可以摘下来吗?
A:2类牵引需每日佩戴至少20小时,除刷牙、进食时可短暂摘下(每次不超过30分钟),其余时间(包括睡眠)均应佩戴,中途频繁摘除或佩戴时间不足会导致牵引力不持续,影响牙齿移动效率,延长治疗时间,甚至导致疗效不佳,橡皮圈需每日更换,因弹性材料在24小时内会发生永久变形,力值下降50%以上,无法有效刺激牙齿移动。
