呼和浩特作为内蒙古自治区的首府,近年来在口腔医疗领域发展迅速,种植牙技术已成为当地缺牙患者修复功能与美观的重要选择,面对牙齿缺失问题,越来越多的呼和浩特市民开始关注种植牙的安全性、效果及费用,本文将围绕呼和浩特种牙的技术优势、价格构成、医院选择及术后护理等方面展开详细介绍,帮助市民全面了解种植牙,做出合理决策。
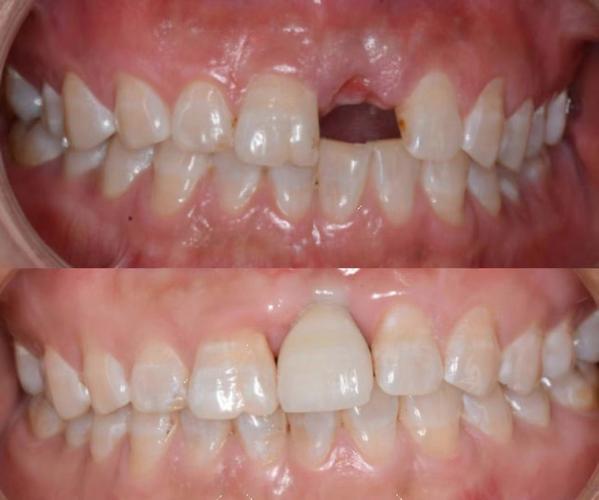
种植牙被誉为“人类的第三副牙齿”,是通过外科手术将纯钛种植体植入牙槽骨内,待其与骨组织结合后,再安装牙冠,从而恢复牙齿的咀嚼功能与美观,相比传统活动假牙和固定桥,种植牙具有不损伤邻牙、稳定性强、咀嚼效率高、外观自然等优势,尤其适合单颗、多颗及全口牙齿缺失的患者,在呼和浩特,随着医疗技术的进步,数字化种植技术已得到广泛应用,如3D导板种植、即刻种植、微创种植等,这些技术通过术前CBCT精准扫描、计算机辅助设计,能够实现种植体植入位置、角度、深度的精准把控,大幅缩短手术时间,减轻患者痛苦,同时提升种植成功率,目前呼和浩特正规机构的种植牙成功率可达95%以上。

对于呼和浩特市民而言,种牙费用是普遍关心的问题,种植牙的费用主要由种植体、牙冠和手术费三部分构成,其中种植体品牌和牙冠材料是影响价格的关键因素,以下是呼和浩特市场常见种植体及牙冠的价格参考(单位:元/颗):
| 项目 | 类型 | 价格范围 | 特点 |
|---|---|---|---|
| 种植体 | 韩国品牌(如登腾、奥齿泰) | 3000-6000 | 性价比高,临床应用广泛,适合对预算有限的患者 |
| 德国品牌(如ICX、费亚丹) | 6000-10000 | 技术成熟,稳定性好,适合骨条件中等或略差的患者 | |
| 瑞典品牌(如Nobel Biocare) | 8000-12000 | 品牌历史悠久,成功率极高,适合骨量不足或对长期效果要求高的患者 | |
| 国产品牌(如威高、百康特) | 2000-4000 | 价格亲民,质量可靠,逐步获得市场认可 | |
| 牙冠 | 全瓷冠(如爱尔创、威兰德) | 1000-3000 | 美观度高,生物相容性好,不易变色,是目前主流选择 |
| 烤瓷冠(镍铬合金) | 500-1500 | 价格较低,但可能存在金属过敏风险,边缘密合度不如全瓷冠 | |
| 烤瓷冠(钴铬合金) | 800-2000 | 生物相容性优于镍铬,但美观度略逊于全瓷冠 |
选择正规医院和经验丰富的医生是种植牙成功的关键,呼和浩特市内具备种植牙资质的医疗机构主要包括公立三甲医院口腔科(如内蒙古医科大学附属医院口腔科、内蒙古自治区人民医院口腔科)以及连锁口腔机构(如拜博口腔、瑞尔齿科等,具体以当地实际为准),患者在选择时,可重点关注医院的医疗资质(如《医疗机构执业许可证》)、医生的专业背景(是否具备种植牙专业培训经历、临床案例数量)以及设备配置(如是否拥有CBCT、口腔扫描仪、无菌手术室等),建议实地考察医院环境,查看患者评价,优先选择提供术后质保服务的机构,以降低种植风险。
种植牙术后护理同样重要,直接关系到种植牙的使用寿命,术后24小时内,患者应避免剧烈运动,避免用患侧咀嚼,饮食以温凉、流质或半流质食物为主(如粥、酸奶、果泥),避免过热、过硬食物,以免影响创口愈合,术后1周内,需保持口腔卫生,刷牙时避开手术区域,可配合使用漱口水(如氯己漱口液),遵医嘱拆线,术后1个月内,避免咀嚼坚果、骨头等硬物,防止种植体受力过大,长期来看,需坚持每天早晚刷牙、使用牙线或冲牙器清洁种植牙邻面,定期(每6-12个月)到医院进行专业洁牙和复查,检查种植体周围骨状况及牙冠磨损情况,同时戒烟限酒,减少种植体周围炎的发生风险。
相关问答FAQs

Q1:呼和浩特种牙能用医保报销吗?
A:国家医保政策中,种植牙项目(包括种植体、牙冠、手术费)尚未纳入医保报销范围,但若种牙前需要进行拔牙、牙周治疗、根管治疗等基础治疗,这些项目的部分费用可按规定使用医保统筹基金支付,建议就诊前向医院医保科确认具体报销范围,避免误解。
Q2:种牙后能用多久?需要定期维护吗?
A:种植牙的使用寿命受多种因素影响,若种植体品牌优质、医生技术娴熟、个人维护得当,通常可使用10-20年,甚至伴随终身,术后需定期维护,建议每年至少复查1次,检查种植体周围骨状况、牙冠磨损情况,同时保持良好的口腔卫生习惯(如正确刷牙、使用牙线),避免吸烟(吸烟会增加种植体周围炎风险),以延长种植牙使用寿命。

