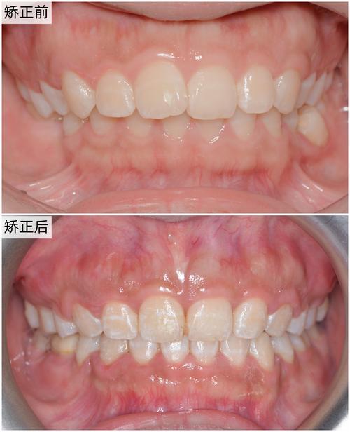
正畸过程中大牙前移是指在进行牙齿矫正治疗时,后牙(通常指第一磨牙、第二磨牙等)出现向近中(靠近前牙方向)移动的现象,这一现象在正畸临床中较为常见,可能由多种因素导致,其发生既可能与治疗设计相关,也可能受患者自身条件或习惯影响,若不及时干预,可能对矫治效果和口腔健康造成多方面影响。
正畸中大牙前移的原因分析
大牙前移的发生机制复杂,涉及矫治设计、患者生理及行为习惯等多方面因素,具体可归纳为以下几类:

支抗设计不足或失效
支抗是指在正畸移动目标牙时,作为“支点”不发生移动或按预期方向移动的牙齿、牙弓或颌骨,若支抗设计不当,易导致大牙前移,在拔牙矫治中(如拔除前磨牙为前牙内收提供空间),若未有效加强支抗(如使用种植支抗钉、腭杆等),后牙会因前牙内收的反作用力向前移动,导致磨牙前移,支抗牙本身条件差(如牙周支持不足、牙根短小)或患者依从性差(如未按要求佩戴颌间牵引装置),也可能导致支抗失效,引发大牙前移。
拔牙后间隙管理不当
非拔牙矫治中,若存在牙量大于骨量的情况(如牙齿拥挤),需通过拔牙解除拥挤,拔牙后,若未对间隙进行有效管理(如未使用保持器保持间隙、或关闭间隙时控制不当),邻牙(尤其是后牙)会向拔牙隙倾斜、移动,导致大牙前移,拔除第一前磨牙后,若第二前磨牙和第一磨牙未直立,而是向近中倾斜,会造成磨牙前移。
不良口腔习惯与异常肌功能
长期不良口腔习惯是导致大牙前移的重要诱因,口呼吸患者下颌常处于前伸位,上下唇肌肉张力异常,可能导致后牙失去垂直向支持,发生前移;夜磨牙或紧咬牙患者,下颌不自主前伸,后牙受到异常前伸力,长期作用下会出现代偿性前移;咬物习惯(如咬笔、咬指甲)、单侧咀嚼等,也会导致两侧牙弓受力不均,使大牙向功能侧前移。
牙周支持组织健康问题
牙齿的稳定依赖于健康的牙周支持组织(牙槽骨、牙周膜、牙龈等),若患者存在牙周炎(未控制的牙槽骨吸收)、牙槽骨发育不足或正畸前牙周治疗不彻底,牙齿在矫治力作用下更容易发生异常移动,牙周病患者牙槽骨吸收,牙齿支持力下降,在轻微外力下即可出现前移,且移动后难以稳定。

生长发育与骨性因素
青少年患者处于生长发育高峰期,颌骨发育异常可能影响牙齿位置,下颌发育不足(骨性Ⅱ类错颌)患者,为建立咬合,磨牙可能代偿性前移;而上颌发育过度(骨性Ⅲ类错颌)患者,下颌磨牙也可能为调整咬合关系向前移动,垂直向发育异常(如长面型)患者,后牙区牙槽骨垂直高度不足,也易发生磨牙前移。
矫治力使用不当
正畸治疗中,若矫治力过大、方向错误或持续时间过长,可能对牙齿产生不良影响,在关闭拔牙间隙时,若使用“滑动法”关闭间隙时牵引力过大,或未控制牙齿倾斜度,可能导致磨牙近中倾斜;过大的垂直向力(如摇椅弓使用不当)也可能导致后牙前移。
大牙前移的主要影响
大牙前移并非单纯的位置改变,可能对口腔功能、美观及健康造成多方面影响:
咬合关系紊乱
磨牙是口腔中最重要的咀嚼牙齿,承担主要咬合功能,大牙前移会导致后牙咬合关系异常,如磨牙关系从中性变为近中(上颌第一磨牙近中尖与下颌第一磨牙远中沟相对),可能引发食物嵌塞、邻面龋、咬合创伤等问题,前移的磨牙可能与前牙形成异常锁结,限制下颌运动,导致张口受限或关节弹响。

咀嚼功能下降
后牙前移后,牙齿接触面积减小,咀嚼效率降低,患者可能表现为咀嚼无力、食物不易磨碎,长期可能影响消化功能,异常咬合关系可能导致颞下颌关节(TMJ)负担加重,引发关节疼痛、弹响等颞下颌关节紊乱病(TMD)症状。
面部美观与协调性改变
磨牙前移可能影响面部垂直高度和前后关系,双侧磨牙前移可能导致下面部高度缩短,呈现“短面型”外观;单侧磨牙前移则可能造成面部不对称,影响美观,对于青少年患者,若磨牙前移未及时干预,可能加重骨性畸形(如“凸面型”)。
牙周健康风险
牙齿位置异常会导致牙槽骨改建失衡,磨牙前移后,其远中(远离前牙侧)牙槽骨可能受压吸收,近中侧牙槽骨增生,长期可能引发牙龈萎缩、牙根暴露,甚至牙齿松动,异常咬合关系还可能导致牙周组织创伤,加重牙周炎症。
邻牙与前牙拥挤
磨牙前移会占据前牙区的空间,尤其对于牙量骨量不调的患者,可能加重前牙拥挤或导致已排齐的前牙再次拥挤,拔牙矫治后若磨牙前移,会抵消前牙内收的效果,导致矫治失败。
大牙前移的处理策略
针对大牙前移,需根据发生原因、程度及患者具体情况制定个性化处理方案,主要包括以下几类:
早期干预与预防
对于青少年患者,若存在磨牙前移趋势(如骨性畸形、不良习惯),可进行早期干预,使用功能矫治器(如FR、Twin Block)引导颌骨发育,抑制磨牙前移;对于口呼吸患者,需进行鼻科治疗(如矫正鼻炎、腺样体肥大)并配合肌功能训练(如唇肌训练、舌位训练);对于夜磨牙患者,佩戴颌垫减少异常咬合力对后牙的影响。
矫治过程中的调整
若在矫治过程中发现磨牙前移,需及时调整方案:
- 加强支抗:对于支抗不足导致的前移,可植入种植支抗钉(如微种植钉植入上颌后牙区或下颌颏部),通过种植钉提供稳定支抗,向后移动磨牙;或使用腭杆、舌弓连接两侧支抗牙,防止其前移。
- 调整矫治力:若因矫治力过大或方向错误导致前移,需减小牵引力,调整弓丝形态(如使用圆丝配合滑动关闭曲,精确控制牙齿移动),避免牙齿倾斜。
- 间隙管理:拔牙后需使用保持器(如Nance弓、横腭杆)保持间隙,或通过“序列拔牙”逐步调整,避免后牙过早前移。
矫治后的修复与重建
对于已完成正畸但出现磨牙前移的患者,需根据严重程度进行处理:
- 轻度前移(<2mm):可通过调改咬合、制作修复体(如嵌体、全冠)恢复咬合关系,必要时配合少量正畸移动(如隐形矫治器微调)。
- 中度前移(2-4mm):需重新戴入矫治器(如固定矫治器或隐形矫治器),通过种植支抗或颌间牵引将磨牙远中移动,恢复中性咬合关系。
- 重度前移(>4mm)或伴有骨性畸形:需联合正畸-正颌治疗,先通过正畸排齐牙齿,再通过正颌手术纠正颌骨位置,最后进行修复治疗(如种植牙、全冠)重建咬合。
长期维护与复发预防
大牙前移易复发,需加强长期维护:
- 保持器佩戴:矫治结束后需全天佩戴保持器(如Hawley保持器、透明保持器)至少1年,之后夜间长期佩戴;对于拔牙矫治或牙周条件差的患者,需延长佩戴时间。
- 不良习惯纠正:持续纠正口呼吸、夜磨牙等习惯,定期进行肌功能训练。
- 定期复查:每3-6个月复查1次,检查牙齿稳定性、牙周状况及咬合关系,发现问题及时处理。
不同原因大牙前移的处理措施总结
| 原因分类 | 处理措施 | 适用情况 |
|---|---|---|
| 支抗设计不足 | 植入种植支抗钉;使用腭杆、舌弓加强支抗;调整颌间牵引方向和力度 | 拔牙矫治中、非拔牙矫治前牙内收时 |
| 拔牙后间隙管理不当 | 使用间隙保持器(Nance弓、活动保持器);序列拔牙逐步关闭间隙;控制关闭间隙时的牙齿倾斜度 | 青少年拔牙矫治、牙列间隙较大者 |
| 不良口腔习惯 | 纠正口呼吸(鼻科治疗+肌功能训练);夜磨牙颌垫;单侧咀嚼习惯纠正 | 儿童、青少年习惯性因素导致的前移 |
| 牙周支持不足 | 先进行牙周治疗(洁治、刮治);控制炎症后轻力移动;延长保持器佩戴时间 | 成年牙周病患者、正畸前牙周治疗不彻底者 |
| 生长发育因素 | 功能矫治器引导颌骨发育;生长改良治疗(如上颌前方牵引、下颌后退);必要时正颌手术 | 青少年骨性畸形患者、生长发育高峰期 |
| 矫治力使用不当 | 调整矫治力大小(减小牵引力);改变弓丝材质和形态(如使用镍钛圆丝);控制牙齿移动速度 | 矫治过程中发现牙齿倾斜、移动过快者 |
相关问答FAQs
问题1:正畸后摘下保持器发现大牙有点前移,怎么办?
解答:首先需及时复诊,医生通过临床检查(观察牙齿位置、咬合关系)、X线片(曲面断层片、根尖片)评估前移程度及原因,轻度前移(<2mm)且无咬合紊乱时,可通过调整保持器(如更换透明保持器)或短期颌间牵引抑制;中度前移(2-4mm)需重新戴入矫治器(如隐形矫治器),利用种植支抗或滑动法将磨牙远中移动;重度前移(>4mm)或伴有关节症状时,需评估是否需正畸-正颌联合治疗,同时需排查是否因保持器佩戴不当(如未全天佩戴)、夜磨牙或口呼吸复发导致,并加强口腔卫生维护,避免牙周问题加重。
问题2:正畸过程中怎么判断大牙有没有前移?
解答:可通过以下方法综合判断:①视觉观察:对比治疗前后口内照片或镜子中后牙位置,看是否更靠近前牙;②咬合纸检查:医生用咬合纸记录咬合点,若后牙咬合点偏向近中(靠近前牙方向),提示可能前移;③X线片评估:通过曲面断层片测量磨牙近中边缘嵴到前牙远中的距离,或头颅侧位片分析磨牙角度变化;④模型分析:定期制取研究模型,用游标卡尺测量牙齿位置变化;⑤患者主观感受:若出现咬合不适、食物嵌塞加重,可能提示牙齿位置异常,发现异常后及时与医生沟通,调整矫治方案。
