牙齿正畸是口腔医学中纠正错颌畸形、改善咬合功能与面部美观的重要手段,传统正畸常依赖患者自身的牙齿或颌骨作为支抗,但在复杂病例中,支抗不足可能导致目标牙齿移动不理想,甚至影响矫治效果,随着口腔种植技术的发展,种植体支抗逐渐成为正畸领域的“得力助手”,通过在颌骨内植入微型种植体,提供稳定、高效的支抗支持,显著提升了正畸治疗的精准度和成功率。
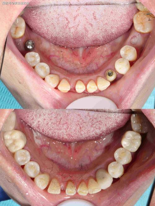
种植体支抗的原理是将直径1.5-3mm的纯钛或钛合金种植体(也称“微种植钉”),通过微创手术植入上颌后牙区、下颌后牙区或腭部等部位,利用种植体与骨组织的结合(骨整合)作为支抗来源,对目标牙齿施加精确的矫治力,与传统支抗相比,其核心优势在于“绝对支抗”——即种植体在受力时几乎不发生移位,能将矫治力高效传递至目标牙齿,避免支抗牙的意外移动,这一特性使其在复杂病例中不可或缺。

在临床应用中,种植体支抗的适用场景广泛,对于“龅牙”(上颌前突)患者,传统方法需依赖后牙作为支抗,若支抗不足可能导致后牙前移,前牙内收效果受限;而种植体支抗可直接将前牙整体后移,无需拔牙即可改善突度,尤其适合成人患者对美观的高需求,对于“地包天”(下颌前突)患者,若存在下颌后缩,可通过种植体支抗牵引下颌骨前移,纠正颌骨关系,种植体支抗还可用于压低伸长的牙齿(如磨牙伸长导致的咬合紊乱)、纠正中线偏移、关闭拔牙间隙等复杂情况,为正畸医生提供了更灵活的治疗方案,以下对比了传统支抗与种植体支抗的区别:
| 项目 | 传统支抗(如口外弓、颌间牵引) | 种植体支抗 |
|---|---|---|
| 支抗来源 | 患者自身牙齿或颌骨 | 颌骨内种植体 |
| 稳定性 | 相对支抗,易受患者配合度影响 | 绝对支抗,几乎不发生移位 |
| 舒适度 | 需佩戴口外装置,影响日常生活 | 体积小,无异物感,舒适度高 |
| 适用病例 | 简单错颌畸形 | 复杂病例(如严重深覆颌、牙齿大量内收) |
| 治疗周期 | 可能延长(依赖患者配合) | 缩短(精准控制牙齿移动) |
种植体支抗的优势不仅在于精准控制,还体现在高效性和舒适性上,传统口外弓等支抗方式需患者高度配合,若佩戴不当易影响效果;而种植体支抗植入后患者无需额外操作,医生可随时调整矫治力,治疗周期可缩短30%-50%,其微创特性(手术切口仅2-3mm)减少了术后不适,多数患者可在24小时内恢复正常生活。
尽管优势显著,种植体支抗也存在一定风险,手术过程中可能损伤牙根、神经或血管,因此术前需通过CBCT(锥形束CT)精准定位,避开重要解剖结构,术后可能出现种植体松动、感染或周围软组织炎症,发生率约5%-10%,需保持口腔卫生,避免咬硬物,种植体支抗并非适用于所有人群:严重骨质疏松、未控制的糖尿病患者或颌骨发育未完成的青少年(需评估骨量)需谨慎使用,治疗前需由医生综合评估。
从适用人群来看,青少年可在生长发育期联合种植体支抗进行矫形治疗(如上颌前方牵引纠正上颌后缩),引导颌骨正常发育;成人患者尤其适合拒绝拔牙、希望缩短治疗周期或对传统支抗配合度低的人群;复杂病例如唇腭裂患者的正畸治疗、外伤后的牙齿移位矫正等,种植体支抗也能提供稳定支持。

种植体支抗作为正畸技术与种植技术的创新结合,为复杂错颌畸形的矫治提供了突破性方案,其精准、高效、舒适的特点使其逐渐成为现代正畸治疗的重要工具,但治疗成功与否,不仅依赖技术本身,更需医生的专业评估、精准操作与患者的术后配合,治疗前充分沟通、制定个性化方案,是确保疗效的关键。
相关问答FAQs
问题1:种植体支抗植入手术会很疼吗?术后恢复需要多久?
解答:种植体支抗手术通常在局部麻醉下进行,麻醉过程中可能有轻微刺痛感,手术过程中几乎无疼痛,术后24小时内可能有轻微肿胀或不适,类似于拔牙后的反应,可通过冰敷和遵医嘱服用止痛药缓解,一般情况下,3-5天即可恢复正常生活,种植体骨整合需1-3个月,期间需避免种植体周围受力过大(如咬硬物),医生会定期复查确认稳定性。
问题2:种植体支抗在正畸治疗结束后需要取出吗?会留疤痕吗?
解答:种植体支抗分为临时性和永久性两种,正畸治疗中使用的多为临时性微种植钉,治疗结束后若位置理想且无不适,可保留作为骨内种植体(后续可修复牙缺失);若无需保留,医生可通过微创手术轻松取出,取出过程仅需几分钟,创伤小,通常不会留明显疤痕(植入部位多在牙龈隐蔽处,如上颌后牙牙槽嵴、腭部等,愈合后疤痕不易察觉),患者无需对取出手术过度担忧,其风险远低于常规种植牙手术。

