在太仓陆渡地区,随着居民口腔健康意识的提升和牙齿修复需求的增长,种植牙已成为缺牙患者的重要选择,相较于传统假牙,种植牙因咀嚼功能好、美观度高、使用寿命长等优势,逐渐被更多人所接受,面对市场上众多的口腔机构和种植技术,如何科学选择种植牙服务、了解其核心要点,成为患者关注的焦点,本文将从种植牙技术、流程、价格、机构选择及术后护理等方面,为太仓陆渡地区的种牙需求者提供全面参考。
种植牙核心技术:从材料到系统的科学选择
种植牙的核心在于“种植体”,即植入牙槽骨的人工牙根,其材料、设计和品牌直接影响种植效果,临床上常用的种植体材料为纯钛或钛合金,这类材料具有优良的生物相容性,能与人体牙槽骨组织紧密结合,形成稳定的“骨结合”,从而支撑上方牙冠的咀嚼功能。

在种植系统选择上,国际主流品牌与国产品牌各有优势,国际品牌如瑞士ITI、瑞典Nobel Biocare、德国Ankylos等,拥有数十年的临床验证,其表面处理技术(如SLA活性表面)和锥形设计能加速骨结合,适用于骨条件较差的患者;而国产品牌如百康特、威高、创英等,性价比更高,且近年来在技术研发上不断突破,骨结合成功率与国际品牌接近,适合骨条件良好的年轻患者,太仓陆渡地区的口腔机构通常会根据患者的牙槽骨密度、宽度及经济预算,推荐合适的种植系统。
先进技术的应用也提升了种植牙的安全性与舒适度,数字化导板种植技术通过术前CBCT扫描和3D建模,可精准规划种植体的植入位置、角度和深度,避免损伤神经血管,实现微创手术;即刻种植技术则针对符合条件的患者(如牙槽骨条件良好、无急性炎症),在拔牙后立即植入种植体,缩短了缺牙等待期;而All-on-4半口/全口种植技术,仅需4颗种植体即可支撑半口牙桥,为多颗牙缺失患者提供了高效解决方案。
种植牙全流程解析:从术前到术后的每个环节
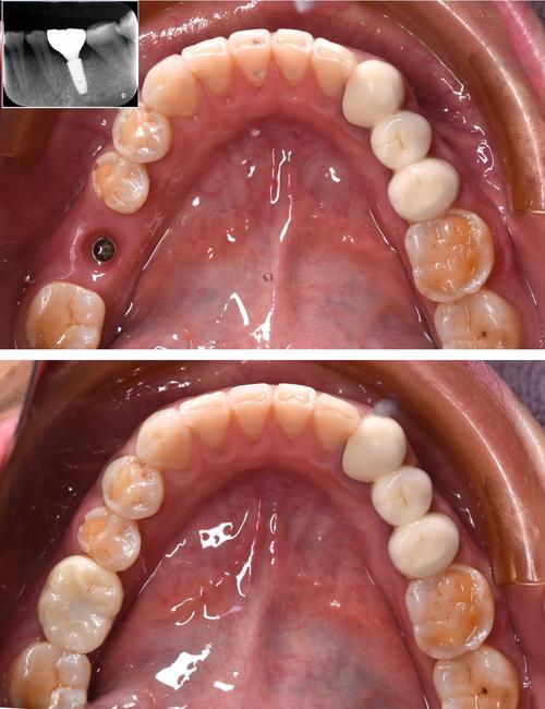
种植牙并非“一次性手术”,而是一个系统的治疗过程,通常包括术前检查、方案设计、手术植入、戴牙冠及术后维护五个阶段,整个周期约为3-6个月。
术前检查是种植成功的基础,患者需进行口腔全景片、CBCT影像检查,评估牙槽骨的高度、厚度、密度,以及邻牙和神经管的位置;同时需排查全身性疾病,如未控制的糖尿病、严重高血压、骨质疏松等,这些疾病可能影响骨结合速度,口腔卫生状况(如是否有牙周炎、牙龈炎)也需先进行治疗,确保种植环境健康。

方案设计阶段,医生会根据检查结果,结合患者的咬合关系、美学需求,制定个性化方案,对于骨量不足的患者,可能需要先进行植骨手术(如自体骨移植、骨粉填充),等待3-6个月骨结合后再进行种植;对于前牙美学区患者,还需考虑牙龈形态和牙冠颜色,以达到自然美观的效果。
手术植入是种植牙的关键步骤,在局部麻醉下,医生切开牙龈,暴露牙槽骨,使用专用种植机将种植体植入预定位置,随后缝合牙龈,手术时间通常为30分钟-2小时(根据种植数量而定),过程中患者无明显疼痛,术后需服用抗生素预防感染,7-10天拆线,期间避免食用过硬、过热食物。
戴牙冠阶段通常在种植体植入后3-6个月,此时牙槽骨与种植体已完成骨结合,医生会取模,制作个性化的全瓷牙冠或烤瓷牙冠,并通过基台与种植体连接,完成最终的牙齿修复,牙冠的颜色、形态会与邻牙保持一致,达到以假乱真的效果。
术后维护是延长种植牙寿命的重要环节,种植牙虽“仿生”,但仍需定期复查(建议每6个月1次),医生会检查种植体周围是否有炎症、牙冠是否磨损;患者需保持良好的口腔卫生,使用牙线、冲牙器清洁种植牙邻面,避免咬硬物(如坚果、螃蟹壳),防止种植体松动或牙冠破裂。

价格构成与影响因素:理性看待种牙成本
种植牙的价格是患者最关心的问题之一,其费用主要由种植体、牙冠、手术费及其他费用(如植骨、骨粉)构成,太仓陆渡地区的种植牙价格因品牌、技术、机构资质不同而存在差异,以下为常见种植系统的价格参考(单位:元/颗):
| 种植体品牌 | 原产国 | 价格区间(含牙冠) | 特点与适合人群 |
|---|---|---|---|
| 瑞士ITI | 瑞士 | 12000-20000 | 骨结合快,稳定性高,适合骨条件差者 |
| 瑞典Nobel Biocare | 瑞典 | 15000-25000 | 临床应用历史悠久,即刻种植首选 |
| 德国Ankylos | 德国 | 10000-18000 | 锥形设计,初期稳定性好,适合即刻负重 |
| 韩国Osstem | 韩国 | 6000-10000 | 性价比高,临床数据充足,适合大众消费 |
| 国产品牌(百康特) | 中国 | 5000-8000 | 价格亲民,技术成熟,适合骨条件良好者 |
需要注意的是,若患者存在牙槽骨骨量不足、需要进行植骨或上颌窦提升术,费用会增加5000-15000元不等;数字化导板技术、即刻种植等技术也会额外收费(约2000-5000元),种植牙暂未纳入医保报销范围,但部分口腔机构会推出分期付款、节假日优惠等活动,患者可根据自身经济能力选择。
医院与医生选择:资质与经验是关键
在太仓陆渡地区,选择正规的口腔机构和经验丰富的医生是种植牙成功的核心保障,正规机构应具备《医疗机构执业许可证》,且设有独立的种植手术室和严格的消毒流程;医生则需具备口腔外科专业背景,且有5年以上的种植临床经验,能够熟练处理各类复杂病例(如骨量不足、上颌窦穿孔等)。
建议患者优先选择连锁口腔品牌或当地公立医院的口腔科,这些机构通常拥有先进的诊疗设备(如CBCT、口内扫描仪),且医生团队定期参与国内外学术交流,技术更新较快,可通过查看患者的术后评价、案例对比等方式,了解医生的美学理念和操作水平,对于前牙种植,不仅要考虑功能恢复,还需兼顾牙龈形态和微笑线设计,这需要医生具备丰富的美学修复经验。
术后护理与常见问题:延长种植牙寿命的细节
种植牙术后,患者可能会出现轻微肿胀、疼痛或出血,通常在3-5天内缓解,可通过冰敷、服用止痛药缓解;若肿胀加剧或持续出血,需及时复诊,饮食方面,术后1周内以温凉、软食为主(如粥、面条),避免用种植牙咀嚼硬物;术后1个月内避免吸烟,尼古丁会影响骨结合,导致种植失败。
长期来看,种植牙的寿命与口腔卫生习惯密切相关,若种植牙周围出现牙龈红肿、出血或异味,可能是种植体周围炎的征兆,需及时治疗,否则可能导致种植体松动脱落,数据显示,良好的维护下,种植牙的10年成功率可达90%以上,甚至能伴随终身。
相关问答FAQs
Q1:种植牙能用多久?需要定期更换吗?
A:种植牙的寿命受多种因素影响,若患者骨条件良好、医生技术规范且术后维护到位,种植体可使用终身,牙冠部分则可能因磨损需要10-15年更换一次,全瓷牙冠的硬度接近天然牙,正常使用下不易损坏,但需避免咬硬物(如开酒瓶、啃骨头),定期复查(每6个月1次)和良好的口腔卫生是延长种植牙寿命的关键。
Q2:所有缺牙患者都能做种植牙吗?有哪些禁忌症?
A:并非所有缺牙患者都适合种植牙,绝对禁忌症包括:未控制的严重全身性疾病(如心脏病、肝肾衰竭)、放射性治疗史、严重骨质疏松(且长期服用双膦酸盐类药物)、妊娠期女性等;相对禁忌症包括:牙槽骨骨量严重不足(需先植骨)、重度牙周炎(需先治疗)、长期吸烟(建议戒烟后再种植),具体能否种植,需通过术前检查由医生综合评估。
