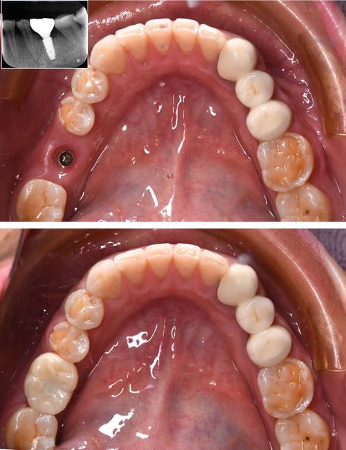
种牙是修复缺失牙的重要方式,而磨牙环节是确保种植牙长期稳定使用的关键步骤之一,涉及术前骨条件评估、术中骨修整及术后咬合调整等多个阶段,通过图片可直观展示磨牙的操作细节与效果,帮助患者更清晰理解治疗过程。
种牙前的磨牙通常指对牙槽骨的修整,当患者因长期缺牙、牙周病或外伤导致牙槽骨出现吸收、骨突或形态不规则时,种植体难以理想植入,此时需通过磨骨(骨修整)改善骨条件,术前医生会借助CBCT(锥形束CT)获取口腔三维影像,通过图片可清晰观察到牙槽骨的厚度、高度及神经管位置,若存在骨量不足或尖锐骨突,需设计磨骨方案,CBCT图片中可见牙槽嵴顶有明显倒凹,或邻牙牙根靠近缺牙区导致骨量不足,此时术中需用高速手机或超声骨刀去除多余骨质,修整出平整的骨面,为种植体提供“扎根”的理想空间,这一过程的图片可记录磨骨前后的骨形态变化,直观展示骨修整的效果。

修复阶段的磨牙则针对种植牙的牙冠及咬合关系,种植体植入后3-6个月,当牙槽骨与种植体形成骨结合,即可安装基台和牙冠,此时需通过调磨确保种植牙与邻牙、对颌牙的咬合关系协调,避免早接触或创伤,医生会让患者做正中咬合、前伸及侧方运动,用咬合纸标记接触点,通过图片可清晰看到牙冠上蓝色印记的分布——若印记集中在牙尖某一点,说明存在早接触,需用高速车针精准调磨该区域,直至咬合力分布均匀,调磨后的牙冠图片会显示咬合面呈平滑的窝沟形态,与对颌牙的牙尖窝吻合,避免因咬合异常导致种植体过载松动或颞下颌关节紊乱。
磨牙操作的精准性直接影响种植牙的成功率,因此医生需严格遵循“少量多次”原则,过度磨除骨组织或牙冠会影响长期效果,术前通过影像学图片评估骨条件,术中实时监控磨骨深度,术后通过咬合图片验证调磨效果,是确保磨牙安全有效的关键,患者可通过这些图片直观了解治疗进展,缓解对未知操作的焦虑。
相关问答FAQs
Q1:种牙磨牙过程会痛吗?
A:种牙磨牙通常在局部麻醉下进行,术中基本无疼痛感,麻醉后医生会先确认牙龈及骨组织的感觉丧失,再开始磨骨或调磨牙冠,术后麻药消退后,部分患者可能出现轻微胀痛或不适,一般持续1-3天,可通过冰敷和遵医嘱服用止痛药缓解,疼痛程度远低于拔牙等操作。

Q2:磨牙后多久能正常吃饭?
A:磨骨后需等待创口愈合,一般术后2小时内避免进食,24小时内吃温凉流质或半流质食物(如粥、酸奶),避免用患侧咀嚼;术后1周内避免辛辣、过硬食物,待牙龈完全愈合(约7-10天)可恢复正常饮食,牙冠调磨后若无明显不适,即可正常使用,但建议初期避免啃咬硬物(如坚果、螃蟹壳),保护种植牙及周围组织。

