牙齿缺失是许多成年人面临的困扰,它不仅会影响咀嚼功能,还可能引发邻牙倾斜、牙槽骨萎缩、面部轮廓改变等问题,甚至因发音不清、笑容缺失而降低社交自信,在这样的背景下,种植牙技术以其“功能与美观兼具”的优势,成为缺牙患者重获“口腔新生”的重要选择,它并非简单的“假牙”,而是通过外科手术将生物相容性极高的种植体植入牙槽骨,作为人工牙根,再在其上安装基台和牙冠,最终实现媲美自然牙的修复效果。
种植牙的核心在于“骨结合”——种植体与牙槽骨之间形成牢固的生物学连接,这种连接不仅能提供强大的咀嚼力,还能刺激牙槽骨避免萎缩,从而维持口腔健康的基础,与活动假牙、固定桥等传统修复方式相比,种植牙的优势尤为突出:它不需要磨损邻牙,支持力更强,使用寿命更长,且外观、触感与自然牙高度相似,真正实现了“以假乱真”的效果。

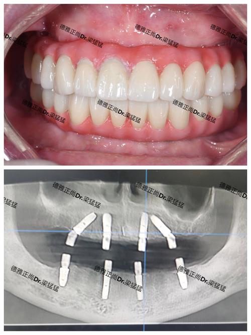
并非所有缺牙者都适合种植牙,其适应症需严格评估,单颗牙缺失、多颗牙缺失、全口牙缺失的患者,以及因外伤、牙周病等原因导致牙齿缺失,且牙槽骨条件良好、无严重系统性疾病(如未控制的糖尿病、心脏病)的成年人,均可考虑种植,若患者牙槽骨骨量不足,可能需要先进行植骨手术,待骨量达标后再进行种植,这会增加治疗周期,但能有效提高种植成功率。
种植牙的治疗流程通常分为几个关键阶段,每个阶段都需要医患密切配合,以下是详细的治疗步骤及注意事项:
| 治疗阶段 | 时长 | 注意事项 | |
|---|---|---|---|
| 术前评估 | 包括口腔检查(CBCT、全景片)、全身健康状况评估、口腔模型制作等,以制定个性化方案 | 1-2周 | 需如实告知医生病史(如高血压、糖尿病、出血性疾病等),糖尿病患者需将血糖控制在稳定范围内 |
| 种植体植入 | 在局部麻醉下切开牙龈,暴露牙槽骨,逐级备洞后植入种植体,缝合伤口 | 30分钟-2小时 | 术后24小时内避免刷牙漱口,遵医嘱服用抗生素和止痛药,避免术区咀嚼 |
| 骨结合期 | 等待种植体与牙槽骨融合,期间可佩戴临时修复体过渡 | 3-6个月 | 避免吸烟(尼古丁会抑制骨结合),避免种植体受力,定期复查骨愈合情况 |
| 基台与牙冠安装 | 取模制作牙冠,安装基台,试戴调整咬合,确认无误后粘固牙冠 | 2-3次就诊 | 初期避免食用过硬、黏性食物,逐渐适应咀嚼力,如有不适及时复诊 |
| 术后维护 | 定期复查(3个月/6个月/1年),进行专业洁牙和口腔检查 | 长期 | 每日正确刷牙(使用软毛牙刷)、使用牙线或冲牙器清洁种植牙周围,避免牙周炎 |
种植牙的材料选择直接关系到其安全性和使用寿命,种植体多采用纯钛或钛合金,这两种材料具有极佳的生物相容性,能与人体骨骼组织无缝融合,不会产生排异反应;牙冠则以全瓷材料为主,其色泽、通透度和硬度接近天然牙,且不含金属,不会导致牙龈黑线或过敏,美观度和安全性兼顾,随着材料技术的进步,部分高端种植体还采用了表面处理技术(如喷砂酸蚀、阳极氧化),可增加种植体与骨组织的接触面积,促进骨结合,缩短愈合时间。
“获得新生”是种植牙带给缺牙患者的最大感受,功能上,种植牙的咀嚼效率可达90%以上,能轻松咀嚼坚果、肉类等硬物,让患者重新享受美食的乐趣;美观上,牙冠可根据邻牙的形态、颜色定制,修复后笑容自然,不会暴露金属边缘,彻底告别“缺牙尴尬”;健康上,种植体独立存在于牙槽骨中,不磨损邻牙,同时通过生理性刺激维持牙槽骨密度,避免面部塌陷;心理上,摆脱了活动假牙的异物感、脱落风险和发音障碍,患者能更自信地参与社交活动,生活质量显著提升。

种植牙并非“一劳永逸”,术后的科学维护是延长其使用寿命的关键,与自然牙一样,种植牙也需要每日清洁,包括刷牙、使用牙线或冲牙器清洁种植牙周围,避免食物残渣堆积;同时需定期到口腔医院进行专业洁牙和复查,医生会检查种植体周围是否有炎症、牙冠是否有磨损等问题,并及时处理,吸烟、咬硬物、患有牙周炎等不良习惯或疾病,都可能影响种植牙的使用寿命,患者需加以避免。
FAQs
-
种植牙手术会很疼吗?
种植牙手术通常在局部麻醉下进行,术中不会有明显疼痛感,术后麻醉消退后,可能会有轻微肿胀、疼痛或不适,类似于拔牙后的反应,一般可通过医生开具的止痛药缓解,症状会在3-5天内逐渐消失,现代微创种植技术的应用,进一步减小了手术创伤,术后恢复更快,疼痛感也更轻。 -
种植牙能用多久?需要定期更换吗?
种植牙的使用寿命受多种因素影响,若患者口腔卫生良好、定期复查、避免咬硬物,且种植体与牙槽骨结合良好,理论上可使用20年以上,甚至伴随终身,临床数据显示,种植牙10年成功率在95%以上,远高于传统修复方式,虽然种植体本身很少需要更换,但牙冠可能会因长期使用出现磨损或损坏,届时可根据情况更换牙冠,无需重新植入种植体。
(图片来源网络,侵删)
