拔牙后重新种牙是现代口腔修复中常见的治疗方式,主要用于解决因严重牙病、外伤或正畸等原因导致的牙齿缺失问题,相比活动假牙和传统固定桥,种植牙凭借其接近天然牙的功能和美观度,成为越来越多缺牙患者的首选,但拔牙后能否直接种牙、种牙的具体流程及术后护理等问题,常让患者感到困惑,下面将详细解析这一过程。
拔牙后种牙的必要性
牙齿缺失后,牙槽骨会因失去咀嚼刺激而逐渐萎缩,如同“用进废退”的肌肉,长期缺牙可能导致邻牙倾斜、对颌牙伸长,甚至引发颞下颌关节紊乱,拔牙后及时种牙,不仅能恢复咀嚼功能,还能通过种植体刺激牙槽骨,防止骨量流失,维持口腔结构稳定,需要注意的是,并非所有拔牙后都能立即种牙,需根据拔牙创口愈合情况、牙槽骨条件等综合判断。

种牙前的全面评估
拔牙后通常需等待3-6个月,待拔牙窝完全愈合、牙槽骨稳定后再进行种牙,期间医生会通过以下评估确定是否具备种牙条件:
- 牙槽骨状况:通过CBCT(锥形束CT)检查牙槽骨的高度、宽度和密度,若骨量不足,可能需先进行植骨手术(如自骨移植、人工骨粉填充),等待3-6个月骨结合后再种牙。
- 全身健康:排除未控制的糖尿病、严重心血管疾病、骨质疏松等禁忌症,吸烟患者需提前戒烟(吸烟会影响骨结合,增加种植失败风险)。
- 口腔卫生:需确保口腔内无炎症(如牙周炎、根尖周炎),若有需先治疗,避免种植体周围感染。
种牙手术的详细步骤
种植牙手术通常分为“一期手术”和“二期手术”,具体流程如下(可参考下表):
| 步骤 | 时间周期 | 注意事项 | |
|---|---|---|---|
| 术前准备 | 局部麻醉,消毒口腔,必要时植入骨粉 | 手术当天 | 空腹禁食(若需静脉麻醉),停用抗凝药物 |
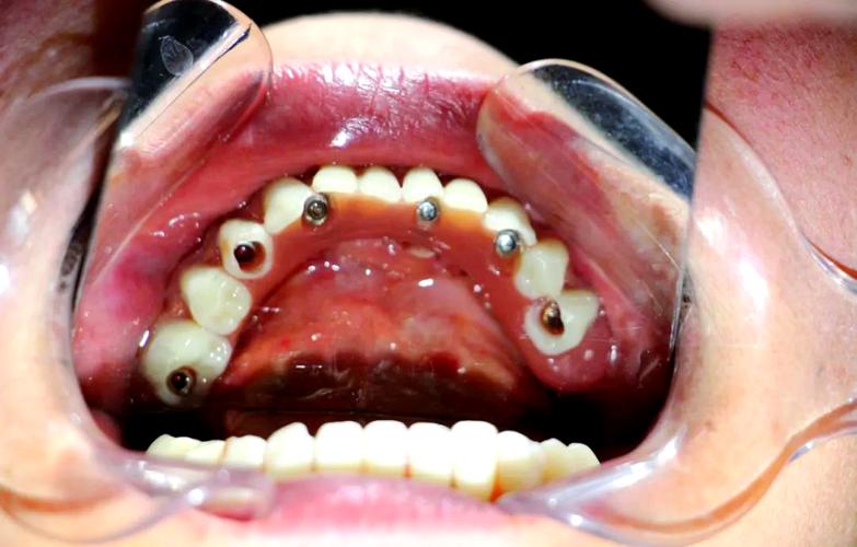
| 一期手术(植入种植体) | 切开牙龈,暴露牙槽骨,逐级备洞后植入种植体,缝合牙龈 | 1-2小时 | 避免损伤下牙槽神经等解剖结构,术后24小时内不刷牙、不漱口 |
| 骨结合期 | 种植体与牙槽骨融合,形成稳定的“骨整合” | 3-6个月(骨量不足时需延长) | 避免种植体承受过大咬合力,定期复查愈合情况 |
| 二期手术(安装基台) | 切开牙龈,连接愈合基台,取模制作牙冠 | 30分钟-1小时 | 确保基台与种植体密合,避免牙龈增生 |
| 牙冠修复 | 根据取模数据制作牙冠(全瓷冠、烤瓷冠等),佩戴并调整咬合 | 1-2周(包括牙冠制作时间) | 选择与邻牙颜色、形态匹配的牙冠,避免咬合过高 |
种牙后的护理与注意事项
种植牙的成功与否,术后护理至关重要,术后1-2周内,需注意:
- 饮食:避免过硬、过烫、辛辣食物,建议食用温凉流质或半流质食物(如粥、酸奶),减少对创口的刺激。
- 口腔卫生:术后24小时可轻轻刷牙,使用漱口水(如氯己定漱口液)清洁口腔,避免种植体周围感染;拆线后需使用牙线、冲牙器清洁种植体邻面,防止牙菌斑堆积。
- 生活习惯:戒烟限酒,避免剧烈运动和碰撞种植部位,遵医嘱服用抗生素(如阿莫西林)预防感染。
长期来看,需每6个月进行一次口腔检查和专业洁牙,及时发现并处理种植体周围炎(表现为牙龈红肿、出血、种植体松动等),确保种植牙使用寿命。

种牙的优势与风险
优势:
- 功能媲美天然牙:种植体与牙槽骨结合后,咀嚼效率可达90%以上,接近天然牙。
- 不损伤邻牙:无需磨削健康邻牙,保留更多牙体组织。
- 美观自然:牙冠可根据邻牙颜色、形态定制,达到以假乱真的效果。
- 预防骨流失:种植体模拟牙根功能,有效刺激牙槽骨,避免骨量吸收。
风险:
- 感染:术后护理不当可能导致种植体周围炎,严重时需取出种植体。
- 种植体失败:与骨结合不良(如吸烟、糖尿病控制不佳)、手术创伤过大等有关,发生率约5%-10%。
- 神经损伤:下颌后牙区种植时可能损伤下牙槽神经,导致下唇麻木,但概率较低(<1%)。
相关问答FAQs
Q1:拔牙后多久可以种牙?所有情况都需要等待3个月吗?
A1:拔牙后种牙的时机需根据拔牙创口愈合和牙槽骨条件决定,简单拔牙(如正畸拔牙、松动牙拔除)后,若牙槽骨条件良好,3个月左右即可种牙;复杂拔牙(如阻生智齿拔除、拔牙时伴有骨缺损)可能需等待6个月以上;若骨量不足需植骨,则需等待3-6个月骨结合完成后才能种牙,医生会通过CBCT评估后给出个性化建议。
Q2:种牙会很痛吗?术后恢复需要多久?
A2:种植牙手术在局部麻醉下进行,术中基本无痛,仅有轻微的压迫感,术后24小时内,麻醉效果消退后可能出现轻微肿胀、疼痛,类似拔牙后的反应,通常3-5天缓解,可通过冰敷和遵医嘱服用止痛药(如布洛芬)缓解,术后1周左右拆线,若未出现感染等并发症,1-2周即可恢复正常饮食和工作。

