在上海,随着居民口腔健康意识的提升和牙齿修复需求的多样化,“种满口牙”已成为许多中老年及多颗牙缺失患者关注的重点,作为国内医疗资源集中的国际化都市,上海的全口牙齿种植技术、服务体系及价格梯度均处于全国领先水平,为不同需求的患者提供了多样化的选择,全口种植不仅能恢复咀嚼功能,更能改善面部美观,提升生活质量,因此了解其技术类型、价格构成、医院选择及术后维护至关重要。
全口牙齿种植的技术类型与适用场景
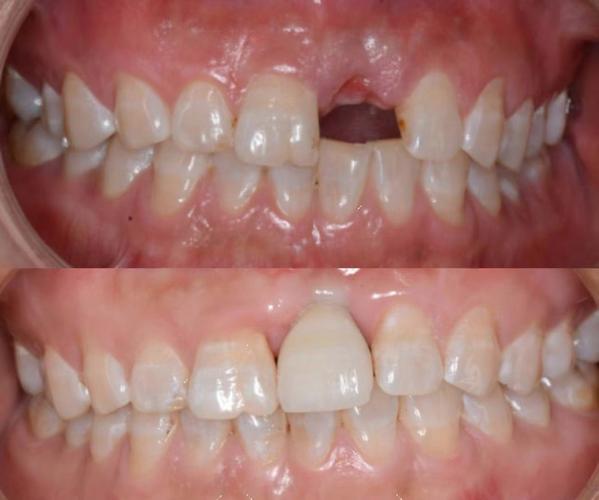
全口牙齿种植并非单一方案,而是根据患者牙槽骨条件、口腔健康状况及经济预算,匹配不同的技术路径,目前上海主流的全口种植技术包括即刻负重技术、传统分阶段种植及数字化导板种植三大类,各有侧重。

即刻负重技术(All-on-4/6) 是针对牙槽骨条件较好(或轻度骨缺损)患者的优选,该技术通过植入4颗或6颗种植体,利用倾斜种植体避开骨量不足区域,实现当天种植、当天戴临时牙冠的“即刻负重”效果,其优势在于缩短治疗周期(传统种植需3-6个月,即刻负重可缩短至1天)、减少手术次数,尤其适合对美观和功能需求迫切的患者,上海九院口腔种植科临床数据显示,All-on-4技术5年成功率可达95%以上,且患者满意度较高。
传统分阶段种植 适用于牙槽骨条件较差(如中度骨吸收、骨质疏松)的患者,治疗需分两阶段:第一阶段植入种植体,等待3-6个月骨结合;二期安装基台和牙冠,虽然周期较长,但能确保种植体在稳定骨环境中生长,降低失败风险,对于伴有严重牙周病或糖尿病的患者,传统种植更安全可控。
数字化导板种植 则借助3D打印、CBCT影像等技术,术前模拟种植位置、角度及深度,制作个性化手术导板,该技术将误差控制在0.1mm以内,避免损伤神经血管,尤其适合解剖结构复杂的全口种植案例,上海瑞金医院口腔科引入的动态导航系统,进一步提升了手术精准度,缩短了手术时间。
全口种植的价格构成与品牌选择
全口种植的总费用主要由种植体、牙冠、手术费及附加项目(如植骨、上颌窦提升)构成,其中种植体品牌是影响价格的核心因素,上海市场上,种植体品牌可分为高端、中端及经济型三类,满足不同预算需求。

| 种植体品牌 | 价格区间(元/颗) | 特点 | 适用人群 |
|---|---|---|---|
| 瑞典Nobel Biocare | 20000-35000 | 全球顶尖品牌,生物相容性极佳,骨结合速度快,终身质保 | 对品质要求高、牙槽骨条件一般的患者 |
| 瑞士Straumann(士卓曼) | 15000-28000 | 纯钛材质,稳定性强,临床应用50年+,10年成功率超98% | 注重长期效果、预算充足的中高端患者 |
| 韩国Osstem(奥齿泰) | 8000-15000 | 性价比高,临床数据成熟,适合亚洲人牙槽骨条件,质保5-10年 | 预算有限、追求性价比的年轻或中年患者 |
| 德国Ankylos(安格斯) | 12000-20000 | 锥形设计,初期稳定性好,适合即刻负重,质保10年 | 需快速恢复咀嚼功能、骨条件尚可的患者 |
牙冠材料方面,全瓷冠(如氧化锆、锆玻璃)因美观度高、生物相容性好,成为全口种植的首选,价格约3000-8000元/颗;烤瓷冠经济性较强(1500-3000元/颗),但金属基底可能引起牙龈黑线,目前已逐渐被全瓷替代,手术费因医院等级(三甲医院比私立机构高20%-30%)及手术复杂度而异,约5000-15000元,若患者存在骨量不足,需植骨(2000-5000元/区域)或上颌窦提升(3000-8000元/侧),总费用将相应增加。
医院与医生选择:专业度决定种植效果
上海全口种植的医疗资源主要集中在公立三甲医院及高端私立口腔机构,两者各有优势,公立医院如上海交通大学医学院附属第九人民医院(九院)、复旦大学附属华山医院口腔科、上海交通大学医学院附属瑞金医院口腔科,拥有权威专家团队和科研背景,尤其擅长复杂病例(如骨量严重不足、合并系统性疾病的患者),但存在挂号难、排队时间长(等待3-6个月)的问题,私立机构如瑞尔齿科、马泷齿科、德贝口腔等,则以服务体验见长,提供预约制就诊、个性化方案设计及分期付款服务,但需注意选择具备正规医疗资质的连锁品牌,避免“低价陷阱”。
医生的专业水平直接影响种植成功率,选择种植医生时,需重点关注其资质:是否具备口腔种植专科认证(如ITI国际种植学会认证、中华口腔医学会种植专科委员)、临床经验(全口种植案例量是否超500例)、患者口碑,九院口腔种植科的林野教授团队在复杂全口种植领域享有盛誉,而私立机构的资深医生多拥有海外培训背景,擅长结合美学设计制定方案。
术后维护:延长种植体寿命的关键
全口种植并非“一劳永逸”,术后维护直接影响种植体的长期使用效果,术后24小时内需避免进食过热食物,用冰敷减轻肿胀;1周内避免刷牙手术区域,使用漱口水保持口腔清洁;1个月内避免咀嚼硬物(如坚果、骨头),防止种植体受力过大,长期维护需做到:每日使用牙线、冲牙器清洁种植体邻面,定期(每3-6个月)复查,检查种植体周围是否有炎症(如牙龈出血、牙周袋加深);戒烟限酒,减少尼古丁对骨结合的干扰;控制血糖、血压等基础疾病,避免影响种植体稳定性,临床数据显示,良好维护的全口种植体10年成功率可达90%以上,部分甚至可终身使用。

相关问答FAQs
Q1:全口种植真的能用一辈子吗?需要定期更换吗?
A:全口种植体的使用寿命受多种因素影响,在材料质量达标、医生技术过硬、患者维护良好的情况下,高端种植体(如Nobel、Straumann)可使用20年以上,甚至伴随终身,但牙冠作为易损耗部件,若出现磨损、崩瓷,通常需5-10年更换一次,定期复查(每年至少1次)能及时发现种植体周围骨吸收、基台松动等问题,通过调整修复方案延长使用寿命。
Q2:牙槽骨严重萎缩,无法种植全口牙怎么办?
A:对于牙槽骨严重萎缩(如下颌牙槽骨高度不足5mm)的患者,可通过骨增量技术解决:①自体骨移植:从髂骨、下颌骨取骨,植入缺损区域,但需二次手术,创伤较大;②骨粉骨膜引导:人工骨粉联合生物膜,引导骨组织再生,周期约6-8个月;③穿颧穿翼种植:针对极端骨缺损 cases,将种植体植入颧骨或翼板,避开牙槽骨区域,实现“无牙颌”的即刻负重,上海九院、瑞金医院等已成熟开展穿颧穿翼技术,为复杂骨缺损患者提供了新选择。
