拔完牙后能否立即种牙,是很多患者关心的问题,拔牙后是否可以种植牙、何时种植,需要根据拔牙创的愈合情况、牙槽骨条件、口腔健康状况及全身因素综合判断,并非一概而论。
拔牙后种植牙的等待时间:即刻种植与延期种植
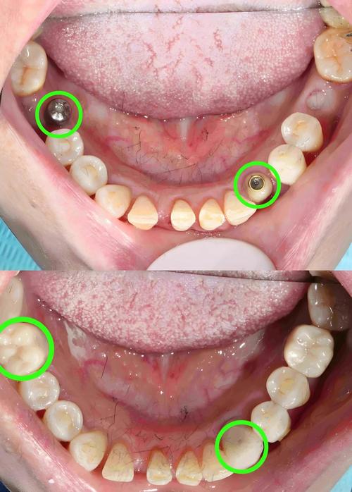
拔牙后,牙槽窝内会形成血凝块,随后逐渐被肉芽组织替代,最终形成成熟的骨组织,这一过程需要时间,因此种植牙可分为即刻种植和延期种植两种方式。

即刻种植是指在拔牙后立即植入种植体,适用于拔牙窝无严重感染、骨量充足、牙槽骨无明显吸收的情况,其优势在于缩短治疗周期(避免等待3-6个月的愈合期)、减少手术次数,且能更好地维持牙槽骨形态,防止骨吸收,但即刻种植对技术要求较高,若拔牙窝骨壁缺损过大或存在炎症,可能导致种植体失败。
延期种植则是在拔牙后等待3-6个月,待拔牙窝完全愈合、骨组织稳定后再进行种植,这种方式更稳妥,尤其适用于拔牙窝有感染、骨量不足或需要植骨的患者,此时牙槽骨已充分改建,种植体植入后的骨结合成功率更高,但治疗周期较长。
以下是两种种植方式的对比:
| 类型 | 等待时间 | 适用情况 | 优势 | 风险 |
|---|---|---|---|---|
| 即刻种植 | 拔牙后立即 | 无感染、骨量充足、牙槽骨无明显吸收 | 缩短疗程、减少手术次数、维持骨量 | 对技术要求高,失败风险略增 |
| 延期种植 | 3-6个月 | 拔牙窝感染、骨量不足、需植骨 | 骨结合稳定,成功率更高 | 治疗周期长,可能伴随骨吸收 |
种植牙的核心条件:骨量与口腔健康
无论选择哪种种植方式,牙槽骨条件都是关键,拔牙后牙槽骨会自然吸收,若骨量不足(如牙槽骨宽度、高度不够),可能需要进行植骨或骨增量手术,为种植体提供足够的支撑,患者需满足以下条件:

- 口腔健康:无未控制的牙周炎、根尖周炎等炎症,牙龈健康状况良好;
- 全身健康:无严重系统性疾病(如未控制糖尿病、心脏病、骨质疏松等),或病情稳定可耐受手术;
- 良好生活习惯:无吸烟、酗酒等影响骨结合的习惯。
种植牙的基本流程
若符合条件,种植牙通常包括以下步骤:
- 术前检查:通过口腔CT、曲面断层片等评估骨量、神经血管位置;
- 植入种植体:在局部麻醉下将种植体(人工牙根)植入牙槽骨;
- 骨结合期:种植体与骨组织融合,需3-6个月(即刻种植可能适当缩短);
- 安装基台与牙冠:骨结合后,安装基台(连接种植体与牙冠),再制作并戴入牙冠,完成修复。
注意事项
拔牙后无论是否立即种植,都需注意口腔卫生,避免用患侧咀嚼,遵医嘱使用抗生素和漱口水,预防感染,种植后定期复查,维护牙冠和种植体的使用寿命。
相关问答FAQs
Q1:拔牙后多久种牙最好?
A:拔牙后3-6个月是传统延期种植的“黄金时间”,此时牙槽骨已基本愈合,骨量稳定,种植体植入后骨结合成功率较高,若骨条件好且无感染,即刻种植可缩短周期,但需医生严格评估。
Q2:所有人拔牙后都能种牙吗?
A:并非所有人,需满足骨量充足、无严重口腔/全身疾病等条件,若拔牙后骨吸收过多、存在未控制的糖尿病或严重牙周病,可能需先植骨或治疗基础病,才能考虑种植。

