正畸,在很多人看来是牙齿的“排列组合”,但若将其置于“整容”的范畴审视,会发现它远非简单的美学调整——它是一场以年为单位的漫长修行,是医美领域里最考验耐心与毅力的“整容工程”,普通整容或许能在数周内改头换面,但正畸却需要用时间雕刻细节,用配合沉淀结果,最终实现的不仅是外貌的蜕变,更是功能与心理的双重重塑。
时间维度的“马拉松”:从等待到见证的漫长煎熬
普通医美项目如双眼皮手术、隆鼻等,通常术后1-3个月即可看到稳定效果,而正畸的周期则以“年”为单位计算,根据牙齿移动的生物学规律,每月牙齿移动速度约为1-2毫米,简单的牙齿排齐可能需要1-2年,涉及骨性调整(如扩弓、推磨牙向后)或复杂咬合关系的矫正,甚至需要3年以上,这期间,患者需经历“漫长等待期”:初戴牙套的酸胀不适、复诊调整时的紧张期待、牙齿移动缓慢时的焦虑自我怀疑……每一个阶段都是对耐心的考验。

更关键的是,正畸的“漫长”不仅在于治疗时长,更在于“终身维护”,拆除牙套后,必须佩戴保持器2年以上,部分患者甚至需要终身佩戴,否则牙齿极易复发,相比之下,普通整容虽可能需要定期修复(如玻尿酸补打、假体更换),但无需如此长期的“绑定式”维护,正畸就像一场没有终点的马拉松,冲过治疗终点线只是开始,后续的保持才是对成果的真正守护。
过程维度的“精细活”:从被动接受到主动配合的深度参与
普通整容多是医生主导的“单向操作”,患者只需术后遵医嘱护理;但正畸是一场医患共同完成的“双向协作”,医生负责方案设计与技术把控,患者则需要每日进行口腔清洁(刷牙、使用牙线、冲牙器)、避免过硬食物、按时佩戴橡皮筋、头帽等辅助装置——甚至复诊时间的调整、突发情况(如托槽脱落)的处理,都需要患者主动参与。
这种“深度参与”让正畸过程充满琐碎与挑战,戴固定托槽后,每餐后必须彻底清洁食物残渣,否则易引发龋齿和牙周炎;隐形牙套需每日佩戴20小时以上,每副牙套使用2周,中途偷懒一天都可能影响整体进度,正畸的“漫长”还体现在“反复调整”上:牙齿移动并非匀速,医生需根据复诊时的变化不断优化方案,就像在一张动态的“地图”上修正路线,每一次调整都是对最终效果的再打磨。
结果维度的“复合型”:从外貌到功能的全方位升级
普通整容多聚焦于单一部位的美学改善(如双眼皮、下巴),而正畸的结果却是“复合型”的——它既改变面部轮廓,又重建咬合功能,甚至影响长期健康。

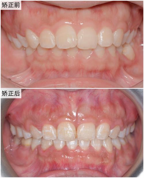
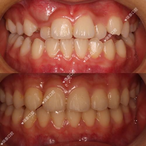
外貌层面,正畸通过调整牙齿位置,间接改善面部软组织形态:龅牙患者内收牙齿后,嘴唇不再前凸,侧脸线条更流畅;地包天患者纠正咬合后,下巴不再后缩,面部比例更协调;牙齿拥挤排齐后,微笑时露出的牙齿更整齐,提升自信,这种改变是“自然生长式”的,不同于整容手术的“突兀感”,更像是让面部回归到应有的和谐状态。
功能层面,正畸的核心价值在于恢复咬合功能,牙齿排列整齐后,咀嚼效率提升,食物被充分研磨,减轻胃肠负担;咬合关系稳定后,可避免颞下颌关节紊乱(如关节弹响、疼痛);牙齿排列整齐还便于清洁,降低牙周病、龋齿风险,从长远看守护了口腔健康,普通整容虽能提升颜值,但难以实现这种“功能与美学”的双重统一。
心理维度的“蜕变记”:从焦虑自卑到从容自信的内心重建
正畸的“漫长”还在于心理层面的“二次成长”,许多患者因牙齿问题(如龅牙、地包天)从小遭受嘲笑,形成自卑心理,甚至不敢大笑、拒绝社交,正畸过程中,随着牙齿逐渐排齐、面型改善,患者的自信心也在悄然重建:摘下牙套的那一刻,不仅是对外貌的满意,更是对“坚持了这么多年”的自我认可。
这种心理蜕变是普通整容难以比拟的,因为正畸的成果是用时间“熬”出来的,患者在漫长的等待中学会了接纳与忍耐,在主动配合中培养了自律与责任感,当最终看到镜中整齐的牙齿和协调的面容时,这份自信源于“亲手参与塑造自己”的成就感,而非单纯依赖医生技术的“被动变美”。

正畸与普通整容的核心差异对比
| 对比维度 | 普通整容 | 正畸 |
|---|---|---|
| 时间周期 | 数周至数月 | 1-3年治疗+2年以上保持 |
| 参与方式 | 被动接受治疗,术后护理 | 主动配合日常护理,复诊调整 |
| 作用范围 | 单一部位美学改善 | 外貌+咬合功能+长期健康 |
| 结果稳定性 | 需定期修复,可能复发 | 长期稳定,依赖保持器 |
| 心理体验 | 快速见效,依赖医生技术 | 漫长蜕变,自我成就感强 |
正畸之所以被称为“最漫长的整容”,不仅因为它耗时数年、过程繁琐,更因为它超越了“变美”本身——它是用时间打磨细节,用配合沉淀结果,最终实现从“牙齿健康”到“面型和谐”,再到“心理自信”的全方位蜕变,这场漫长的修行,或许没有立竿见影的惊艳,却有一日一日的踏实改变:当牙齿在岁月中慢慢移动,当面型在等待中逐渐优化,当自信在坚持中悄然生长,你会发现,这场“整容”带来的,远不止一张更美的脸,更是一个更自律、更从容、更懂得珍惜的自己。
FAQs
Q1:正畸过程中会有哪些不适?如何缓解?
A:初戴牙套后的1-2周,牙齿可能出现酸胀、疼痛,尤其是咬合时明显,这是牙齿移动的正常反应,可服用非处方止痛药(如布洛芬)缓解;口腔黏膜可能被托槽摩擦溃疡,可使用正畸蜡覆盖托槽边缘,避免刺激,日常饮食需避免过硬、黏性食物(如坚果、口香糖),减少托槽脱落风险,若疼痛持续超过2周或出现明显肿胀,需及时复诊。
Q2:正畸后牙齿会反弹吗?如何保持效果?
A:正畸后牙齿有复发趋势,尤其是未佩戴保持器时,因为牙齿周围的牙槽骨和牙龈组织需要时间稳定(通常需1-2年),因此拆除牙套后必须佩戴保持器:前6个月需全天佩戴(进食除外),之后逐渐过渡到夜间佩戴,保持器有透明压膜式和固定式(如舌侧丝),医生会根据牙齿情况推荐类型,需定期复查(每3-6个月),以便医生及时发现复发迹象并调整方案。
