allon4种植牙作为一种针对半口或全口牙缺失的高效修复方案,其核心优势在于通过4颗种植体即刻恢复咀嚼功能,而取模环节作为连接外科手术与最终修复体的关键步骤,直接决定了种植体位置的精准度、修复体的密合度以及长期的咬合稳定性,这一环节不仅需要医生具备精细的操作技巧,还需依托合适的材料与设备,确保从口腔到技工室的“信息传递”准确无误。
allon4种植牙取模的核心流程与操作细节
allon4种植牙的取模通常在种植体植入手术后3-6周进行,此时种植体与牙槽骨达到初步稳定(骨结合初期),取模前需完成严格的术前评估:通过CBCT检查种植体的位置、角度、深度是否符合allon4的生物力学设计要求,同时观察牙龈愈合情况,确保牙龈袖口形态稳定,无红肿或溢脓,取模过程需严格遵循无菌原则,避免交叉感染。

取模前准备
- 设备与材料:准备种植体替代体(与植入的种植体型号匹配)、转移杆(用于连接替代体与取模桩)、取模桩(不同高度和角度,适配牙龈袖口)、硅橡胶取模材料(高精度加成型硅橡胶为主,如3M ESPE的聚醚硅橡胶或A硅橡胶)、藻酸盐印模材(用于初步取模或辅助定位)、模型灌制材料(超硬石膏或树脂模型材料)、咬合记录材料(硅橡胶或蜡片)。
- 患者准备:术前用漱口水含漱,清洁口腔;对敏感患者可局部涂抹表面麻醉凝胶,降低不适感;调整患者体位,头部与地面平行,取模时保持放松,避免头部移动。
取模操作步骤
- 安装取模桩与转移杆:选择与种植体平台匹配的转移杆,通过扭矩扳手将其固定在种植体上(扭矩需与种植体植入时一致,通常为30-35N·cm),确保连接稳固无旋转,随后根据牙龈袖口深度选择合适的取模桩,安装在转移杆上,取模桩顶端需略低于牙龈边缘,避免压迫牙龈导致变形。
- 初印模(可选):对于牙龈较薄或形态复杂的患者,可先用藻酸盐印模材制作初印模,记录牙龈表面的细微纹理,辅助后续硅橡胶取模时定位,避免材料溢出或气泡产生。
- 硅橡胶取模:将高精度硅橡胶材料(A组分与B组分按比例混合)注入取模托盘,轻柔放入口腔,确保取模桩完全被材料包裹,同时对牙龈施加轻微压力,使材料流入牙龈袖口,复制种植体周围的软组织形态,等待材料凝固(通常5-10分钟,具体时间根据产品说明),期间嘱患者保持静止,避免移动导致印模变形。
- 卸取印模与检查:待硅橡胶完全凝固后,沿种植体长轴方向轻柔旋转取模托盘,确保转移杆与取模桩无松动脱出,取出印模后,立即检查取模桩是否完整复制,牙龈袖口形态是否清晰,有无气泡或材料缺损,若发现缺陷,需重新取模。
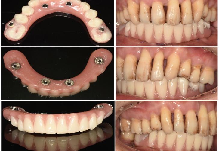
- 模型灌制:将合格的印模模型固定在模型振荡器上,用超硬石膏或树脂材料缓慢注入,避免产生气泡,待材料完全凝固(约2小时)后,小心去除印模材料,得到带有种植体替代体的石膏模型,此时种植体的三维位置已精准复制到模型上。
取模材料与技术的选择:精准度与效率的平衡
取模材料的性能直接影响最终修复体的质量,allon4种植牙对取模精度要求极高(误差需控制在50μm以内),因此材料选择需兼顾流动性、细节复制能力和尺寸稳定性,以下是常用取模材料的对比:
| 材料类型 | 优点 | 缺点 | 适用场景 |
|---|---|---|---|
| 加成型硅橡胶 | 流动性好,细节复制精准(可复制10μm以下结构),尺寸稳定,收缩率极低(<0.1%) | 成本较高,操作时间较长(需混合后等待凝固) | allon4等高精度种植取模,对牙龈形态要求高的病例 |
| 聚醚硅橡胶 | 尺寸稳定性更佳,硬度高,适合复杂修复体取模 | 材料较硬,患者舒适度低,价格昂贵 | 多单位种植取模或需要多次灌制的复杂病例 |
| 藻酸盐印模材 | 成本低,操作简便,凝固快 | 尺寸稳定性差,细节复制能力弱(精度约100μm) | 初步取模或临时修复体取模 |
近年来,数字化取模技术(口内扫描)逐渐应用于allon4种植修复,通过口内扫描仪(如iTero、3M True Definition)直接获取口腔内三维数据,无需传统取模材料,其优势在于:① 减少患者不适感,避免材料过敏;② 10分钟内完成扫描,效率高;③ 数据可实时传输至技工室,缩短修复周期;④ 通过AI辅助设计,提升种植体位置精准度,但数字化取模对设备要求高,且对于牙龈出血或湿润环境下的细节复制能力仍需提升,目前常与传统取模联合使用,确保精度。
取模过程中的常见问题与解决方案
- 气泡或材料缺损:多因硅橡胶混合不均匀或托盘放入时未完全覆盖取模桩导致,解决方案:取模前充分调拌硅橡胶,避免产生气泡;托盘选择略大于牙弓的尺寸,确保材料有足够流动性填充间隙。
- 取模桩松动或脱出:转移杆扭矩不足或取模时旋转用力过大,解决方案:严格按照种植体厂商推荐的扭矩固定转移杆;取模时沿种植体长轴方向轻柔卸取,避免侧向用力。
- 牙龈形态复制不清晰:牙龈袖口受压不足或材料流动性差,解决方案:选择流动性好的硅橡胶,取模时对牙龈施加均匀压力,或使用个别托盘(根据初印模制作的个性化托盘)提升贴合度。
取模对allon4长期修复效果的影响
取模的精准度直接影响allon4修复体的远期效果:若取模偏差导致种植体替代体位置偏移,技工室制作的基台与种植体无法完全密合,可能导致基台松动、细菌渗漏,进而引发种植体周围炎;若牙龈形态复制不清晰,修复体边缘与牙龈的贴合度差,易导致食物嵌塞、牙龈萎缩,影响美观和咀嚼功能,研究显示,高精度取模可使allon4修复体的10年成功率提升至95%以上,而取模误差超过100μm时,种植体周围骨吸收风险增加3倍。
相关问答FAQs
Q1:allon4种植牙取模过程会疼吗?
A1:allon4取模通常在种植体植入后牙龈愈合良好时进行,此时牙龈已无明显创伤,操作前医生会使用表面麻醉凝胶或局部麻醉(若患者敏感),整个过程中患者仅可能感受到轻微的托盘压力和材料凝固时的异物感,疼痛感极低,无需过度紧张。

Q2:数字化取模和传统取模哪个更适合allon4?
A2:两者各有优势:传统取模技术成熟,成本较低,对牙龈湿润环境的适应性好,适合复杂病例;数字化取模效率高、患者体验佳,且数据可永久保存,便于后续调整,对于allon4种植牙,若牙龈条件良好(无出血、形态规则),数字化取模是更优选择;若牙龈形态复杂或需多次取模,可结合传统取模确保精度,具体选择需根据医生技术和患者口腔条件综合判断。

