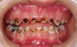
正畸治疗过程中,牙齿在持续外力作用下发生移动,牙槽骨随之改建,这是牙齿排列整齐的生理基础,但若在此期间出现龋齿(俗称蛀牙),牙齿松动的风险会显著增加,不仅影响正畸效果,还可能对牙齿健康造成长期损害,龋齿与正畸性松动的叠加效应,需要患者和医生共同关注,及时干预。
龋齿导致正畸牙齿松动的原因复杂,涉及龋齿本身进展、正畸力学作用及口腔卫生状态等多重因素,具体可通过以下表格分析:

| 原因类别 | 具体机制 | 临床影响 |
|---|---|---|
| 龋齿本身因素 | 龋齿破坏牙体组织,从釉质深入牙本质、牙髓,导致牙齿抗力结构减弱;若发展为根面龋,还会破坏牙槽骨附着 | 牙齿承受咬合力时,薄弱部位易出现裂纹或松动,正畸外力进一步加剧风险 |
| 正畸治疗因素 | 牙齿移动时,牙槽骨处于改建活跃期(破骨细胞与成骨细胞动态平衡),若龋齿导致局部牙槽骨吸收,稳定性下降 | 牙齿移动方向偏离正常轨道,出现过度松动,甚至移位,延长正畸周期 |
| 口腔卫生因素 | 正畸装置(托槽、弓丝)易存留食物残渣,清洁难度大,若龋齿未及时处理,菌斑堆积加速龋齿进展,引发牙槽骨炎 | 牙周支持组织破坏,牙龈红肿出血,牙齿松动度增加,伴发口臭,严重时需暂停正畸 |
龋齿引起的牙齿松动若不及时干预,会引发一系列连锁反应,首先是疼痛与功能障碍:松动牙齿咀嚼时酸痛明显,甚至不敢咬合,影响进食;其次是感染扩散风险,龋齿深达牙髓时,细菌可通过根尖孔扩散至牙根周围,引发根尖周炎,导致面部肿胀、发热;正畸进程也会受阻,松动度过高时,医生需暂停加力,待牙齿稳定后再继续,延长治疗周期;最严重的是牙齿脱落风险,若龋齿导致牙根吸收超过1/3,牙齿可能无法保留,影响正畸整体效果。
针对龋齿松动的情况,处理需结合龋齿程度、松动度及正畸阶段综合判断,轻度龋齿(浅龋、中龋)伴Ⅰ度松动(牙齿轻微晃动,幅度<1mm):首先去除腐质,用玻璃离子水门汀或树脂充填修复,医生同时调整正畸力大小和方向,避免对患牙施加过大压力;中度龋齿(深龋未穿髓)伴Ⅱ度松动(晃动幅度1-2mm):需先完善根管治疗,控制感染后暂时停止正畸加力,待牙体修复稳定(通常2-3周)再继续;重度龋齿(穿髓、根尖病变)伴Ⅲ度松动(晃动幅度>2mm)或牙根吸收:若牙根吸收严重,患牙无法保留,需拔除后重新评估正畸方案,必要时通过种植修复或正畸关闭间隙,无论何种情况,均需加强口腔卫生维护,使用正畸专用牙刷(如U型刷、正畸小头牙刷)、牙线牵引器、冲牙器,每日至少刷牙3次(每次3分钟),配合含氟漱口水,抑制菌斑堆积。
预防正畸期间龋齿松动,关键在于“提前干预+全程监控”,正畸前需进行全面口腔检查,包括曲面断层片、牙片及牙周探诊,治疗现有龋齿和牙周炎;正畸中选择光滑托槽、圆丝等减少食物滞留的装置,医生需定期调整力值,避免“暴力加力”;患者需严格控制饮食,避免黏性食物(奶糖、口香糖)、高糖零食及碳酸饮料,餐后及时漱口;每3个月复查龋齿和牙周状况,每年做一次专业洁牙,必要时在医生指导下使用含氟凝胶或涂氟,增强牙齿抗龋能力。
相关问答FAQs
正畸过程中发现牙齿松动,但没感觉疼痛,需要处理吗?
答:需要,即使无痛,松动可能提示龋齿早期或牙槽骨吸收,此时牙齿结构已受损,若不及时处理,随着正畸力持续作用,松动可能加重,甚至导致牙根吸收或移位,建议尽快复诊,通过X线片检查龋齿深度、牙槽骨状况及牙根吸收情况,针对性处理(如补牙、调整正畸力),避免延误最佳干预时机。

正畸结束后龋齿引起的松动能恢复吗?
答:部分可恢复,若龋齿较轻,及时补牙并拆除正畸装置后,牙槽骨会逐渐改建,牙齿稳定性可能恢复;若龋齿严重导致牙根吸收,松动可能不可逆,需结合修复治疗(如桩核冠)改善牙齿功能;若伴有牙周支持组织丧失,可能需要牙周手术或修复治疗(如种植牙)维持咀嚼功能,正畸结束后仍需定期复查,监测牙齿健康状态。
