正畸是通过施加持续、轻柔的生物力,引导牙齿在牙槽骨内缓慢移动,最终实现排列整齐、咬合功能正常的治疗过程,在这一过程中,牙齿周围的牙周组织(包括牙周膜、牙槽骨、牙龈等)会发生一系列生理性改建——牙槽骨一侧被吸收,另一侧增生,如同树木移植后土壤的重新适应,这种改建必然伴随牙齿的轻微松动,通常是暂时且可控的,若出现“发炎”(牙龈红肿、疼痛、出血甚至化脓),则可能是病理性信号,需及时干预,否则可能影响矫正效果或损害长期牙周健康。
正畸后牙齿松动与发炎的原因
1 生理性松动:正畸的“必经之路”
牙齿并非“钉死”在牙槽骨中,而是通过牙周膜连接,正畸中,医生施加的力会使牙周膜内的纤维被拉伸、重组,牙槽骨也会相应改建,这种改建过程中,牙齿会出现轻微松动(松动度Ⅰ度,即牙齿唇舌向动度小于1mm),属于正常现象,随着牙槽骨改建完成,牙齿会在新位置上重新稳固,通常无需特殊处理。

2 病理性发炎:需要警惕的“异常信号”
发炎多与以下因素相关:
- 正畸力过大:若医生未根据患者牙槽骨条件调整力值,或患者自行加力(如频繁更换橡皮筋、使用暴力咬胶),可能导致牙周组织过度受压,引发炎症反应。
- 口腔卫生不佳:矫治器托槽、弓丝等附件容易藏匿食物残渣,若刷牙不彻底,菌斑堆积会刺激牙龈,导致牙龈炎(表现为牙龈红肿、刷牙出血),严重时发展为牙周炎,牙齿支持组织破坏,松动加剧。
- 矫治器刺激:托槽边缘粗糙、弓丝末端刺伤牙龈,或隐形矫治器边缘贴合不紧密,长期摩擦可能导致牙龈机械性损伤,引发局部炎症。
- 个体差异:本身有牙周基础病(如牙周炎、牙龈增生)、激素水平变化(青春期、孕期、经期)或糖尿病等全身性疾病,会降低牙龈抵抗力,更易发炎。
如何区分正常松动与异常发炎?
1 正常松动的特点
- 时间:加力后3-5天出现,随时间推移逐渐减轻(2周内基本稳定)。
- 程度:仅轻微松动(Ⅰ度),无疼痛或仅有轻微酸胀感,咬合不受影响。
- 牙龈状态:牙龈颜色粉红,质地坚韧,刷牙或吃东西时无出血。
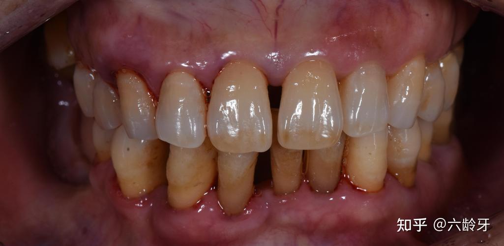
2 异常发炎的信号
- 疼痛:牙齿持续自发痛,或咬合、触碰时疼痛加剧。
- 牙龈改变:牙龈明显红肿、增生,覆盖部分牙齿,刷牙或进食时出血,甚至有脓液。
- 松动异常:松动度≥Ⅱ度(大于1mm),或牙齿出现倾斜、移位(如向颊侧、舌侧偏斜)。
- 全身症状:严重时可伴有口腔异味、发热、淋巴结肿大等。
不同情况的处理方法
针对不同程度的松动和发炎,需采取针对性措施,具体可参考下表:
| 分级 | 临床表现 | 处理措施 | 就医时机 |
|---|---|---|---|
| 轻度 | Ⅰ度松动,牙龈轻微红肿,刷牙少量出血 | ① 加强口腔卫生:采用“巴氏刷牙法”,每天2次,每次3分钟;使用牙线清洁邻面,冲牙器冲刷托槽周围; ② 饮食调整:避免过硬、黏性食物(如坚果、口香糖); ③ 局部护理:用温盐水(37℃左右)漱口,每天3次,每次1分钟。 |
观察1周,若无缓解需就医。 |
| 中度 | Ⅱ度松动,牙龈红肿明显,疼痛,出血较多 | ① 及时就诊:医生进行牙周洁治(洗牙),去除菌斑和牙结石; ② 调整矫治器:打磨托槽尖锐边缘,调整弓丝末端或更换更柔和的加力方式; ③ 药物辅助:遵医嘱使用抗炎漱口水(如复方氯己定含漱液)或局部涂抹碘甘油。 |
3-5天内必须就医,避免加重。 |
| 重度 | Ⅲ度松动或牙齿移位异常,剧烈疼痛,牙龈肿胀/脓液 | ① 紧急就医:可能需要暂停加力,拆除部分矫治器以解除刺激; ② 系性治疗:进行龈下刮治、根面平整等牙周治疗,必要时使用抗生素(如甲硝唑、阿莫西林); ③ 密切随访:每周复诊,评估炎症控制情况,待稳定后再调整矫正方案。 |
24小时内紧急就医,防止牙齿脱落。 |
预防措施:从源头减少风险
1 口腔卫生是“核心防线”
- 工具选择:使用正畸专用软毛牙刷(如小头牙刷)、正畸牙刷(中间有凹槽,可清洁托槽周围)、牙线牵引器(辅助牙线穿过弓丝)、冲牙器(高压水流清洁死角)。
- 清洁频率:饭后立即漱口,早晚刷牙,睡前必须彻底清洁(建议使用含氟牙膏,预防龋齿)。
2 定期复诊与沟通
- 严格遵医嘱复诊(一般4-6周一次),医生会检查牙齿移动情况、调整矫治力,及时发现并处理潜在问题。
- 若出现疼痛、出血等不适,不要自行调整矫治器,需及时与医生沟通。
3 饮食与生活习惯调整
- 避免啃咬硬物(如骨头、螃蟹壳)、黏性食物(如麦芽糖、年糕),减少托槽脱落和食物嵌塞。
- 戒烟限酒,烟草中的尼古丁会破坏牙周组织,酒精可能加重炎症。
正畸后牙齿松动是牙齿移动过程中的“正常反应”,但发炎则是“警报信号”,科学区分生理与病理变化,掌握正确的护理方法,及时就医干预,才能在矫正牙齿的同时,守护牙周健康,矫正是一场“持久战”,耐心与细心缺一不可,与医生紧密配合,才能收获整齐的牙齿和健康的牙周。
相关问答FAQs
问题1:正畸后牙齿松动多久能恢复正常?
解答:生理性松动通常在加力停止后2-4周逐渐稳定,这是因为牙齿移动后,牙槽骨需要时间完成改建——吸收侧形成新骨,增生侧形成新纤维,牙齿会在新位置上重新稳固,若松动持续超过1个月,或伴随疼痛、出血等症状,则可能是病理性因素(如牙周炎、正畸力过大),需及时就医排查。

问题2:正畸期间牙龈发炎可以自行用漱口水缓解吗?
解答:轻度牙龈发炎(如刷牙少量出血、牙龈轻微红肿)可短期使用含氯己定的漱口水(如复方氯己定含漱液)缓解,但需注意:① 使用不超过1周,长期使用可能导致牙齿染色、口腔菌群失调;② 若伴有疼痛、脓液或牙龈增生,需先就医进行牙周治疗(如洁治、上药),单纯漱口水无法解决根本问题;③ 隐形矫治者若因矫治器边缘刺激发炎,可尝试用指甲锉打磨尖锐处,若无效需联系医生调整矫治器。

