活动牙是指牙齿出现不同程度的松动,轻者咬合时有轻微不适,重者可能影响咀嚼甚至脱落,其常见病因包括牙周病导致的牙槽骨吸收、外力撞击造成的牙槽骨骨折、根尖周炎引发的牙根周围骨质破坏等,植骨粉作为一种生物材料,主要用于修复牙槽骨缺损、促进骨组织再生,那么活动牙是否可以通过植骨粉来改善呢?这需要根据牙齿活动的具体原因、松动程度、牙槽骨吸收情况以及患者的全身健康状况综合判断。
活动牙植骨的前提:明确病因与评估条件
并非所有活动牙都适合植骨,关键在于判断牙齿松动的根源是否可逆、牙槽骨缺损的程度以及是否有足够的支持组织基础。

牙周病导致的活动牙:需先控制炎症再植骨
牙周病是最常见的牙齿松动原因,由于牙菌斑堆积引发牙龈炎,进一步发展为牙周炎,导致牙周袋形成、牙槽骨吸收,牙齿失去骨支持而松动,对于此类情况,植骨粉的应用需满足以下条件:
- 炎症控制:需先完成系统的牙周基础治疗(如龈上洁治、龈下刮治、根面平整),控制牙龈出血、牙周袋溢脓等急性炎症,使牙周处于稳定期(通常治疗后3-6个月)。
- 骨吸收程度:牙槽骨吸收未超过根尖1/3,且牙齿松动度在Ⅱ度以内(即牙齿颊舌向松动幅度小于1mm,近远中向松动幅度1-2mm),若吸收超过根尖1/3或牙齿Ⅲ度松动(松动幅度大于2mm),说明牙根周围支持组织严重不足,植骨效果有限,可能需拔牙后植骨。
- 口腔卫生维护:患者需具备良好的口腔卫生习惯,菌斑指数(PLI)小于20%,否则植骨后易发生感染导致失败。
外伤导致的活动牙:结合固定与骨缺损评估
牙齿受到外力撞击后,可能出现牙震荡、牙脱位或牙槽骨骨折,若伴随牙槽骨缺损(如牙槽壁骨折、骨质碎片移位),可在固定患牙的同时植入骨粉,促进骨愈合,但需注意:
- 牙根状态:牙根无折断、无吸收,且牙周膜无广泛损伤(通过X线片或CBCT评估)。
- 固定时间:外伤后需先进行牙齿固定(如牙弓夹板固定),固定期间观察牙齿血运状况(牙髓活力测试),若牙髓坏死需先进行根管治疗,再考虑植骨。
根尖周炎导致的活动牙:需根管治疗后植骨
根尖周炎多由牙髓感染扩散至根尖周组织,形成根尖脓肿或肉芽肿,破坏根尖周围骨质,导致牙齿浮起、松动,此类情况需先进行完善的根管治疗,彻底清除根管内感染物质,待根尖炎症消退(通常根管治疗后1-3个月),X线片显示根尖暗影缩小后,方可植骨修复根尖骨缺损。
植骨粉的选择与手术流程
植骨粉的材料选择和手术操作规范直接影响治疗效果,需根据患者具体情况制定个性化方案。

植骨粉材料的选择
目前临床常用的植骨粉可分为三类,各有优缺点:
- 自体骨:取自患者自身(如拔牙窝、颏部、髂骨),骨诱导性强、无排异反应,但需额外取骨,增加手术创伤,适合骨缺损较大或对材料要求高的患者。
- 异种骨:来源为牛骨、猪骨等(如Bio-Oss),经过脱蛋白、去抗原处理,具有良好的骨引导性和生物相容性,临床应用广泛,但吸收速度较慢,可能存在轻微免疫反应。
- 人工骨:主要为磷酸三钙(TCP)、羟基磷灰石(HA)等,可降解,可塑性好,但骨诱导性较弱,常与自体骨或异种骨联合使用。
| 材料类型 | 优点 | 缺点 | 适用情况 |
|---|---|---|---|
| 自体骨 | 骨诱导性强、无排异 | 需额外取骨、创伤大 | 大范围骨缺损、对生物相容性要求高者 |
| 异种骨 | 来源广泛、临床成熟 | 吸收慢、可能轻微免疫 | 中小范围骨缺损、常规植骨需求 |
| 人工骨 | 可塑性好、可降解 | 骨诱导性弱 | 需联合其他材料、填充小缺损 |
手术基本流程
植骨手术需在局部麻醉下进行,具体步骤包括:
- 术前准备:拍摄CBCT评估牙槽骨厚度、高度及缺损范围,制定植骨方案;口腔清洁(含漱氯己定),预防性使用抗生素(如阿莫西林)。
- 切口与暴露:沿牙槽嵴顶做梯形切口,翻开黏骨膜瓣,暴露骨缺损区域。
- 清创与植骨:彻底清除炎性肉芽组织,用生理盐水冲洗;将植骨粉与自体血混合后,紧密填入骨缺损区,避免留有空隙。
- 覆盖屏障膜:可吸收胶原膜(如Bio-Gide)覆盖植骨区,防止软组织长入,促进骨组织生长。
- 缝合与术后护理:黏骨膜瓣复位后缝合,术后1周拆线;避免术区咀嚼,保持口腔卫生,使用漱口水(如复方氯己含漱液),定期复查(术后1、3、6个月拍摄X线片评估骨愈合情况)。
植骨后的效果与风险
预期效果
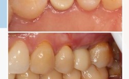
植骨成功后,牙槽骨高度和厚度可得到一定恢复,牙齿松动度减轻,咀嚼功能改善,对于计划后续种植牙的患者,植骨可为种植体提供足够的骨支持,提高种植成功率(成功率可提升80%-90%),但需注意,植骨无法完全恢复牙齿原有的牙周结构,若原始骨吸收严重,牙齿松动度可能无法完全恢复正常。
潜在风险
- 感染:术后口腔卫生维护不当或术中无菌操作不严格,可能导致植骨区感染,表现为红肿、溢脓,需及时抗感染治疗,严重时需取出植骨粉。
- 骨吸收:植骨粉可能被部分吸收,导致骨量不足,与患者自身骨条件、材料选择及术后护理有关。
- 牙齿脱落:若牙根周围支持组织破坏过重,或植骨失败,牙齿仍可能松动脱落,最终需拔牙后修复。
不同原因活动牙植骨要点总结
| 病因 | 是否可植骨 | 关键步骤 | 预后评估 |
|---|---|---|---|
| 牙周病(炎症控制后,骨吸收<根尖1/3) | 可 | 牙周基础治疗→植骨→定期维护 | 松动度改善,骨量部分恢复,需长期牙周维护 |
| 外伤(牙根无折断,伴骨缺损) | 可 | 牙齿固定→根管治疗(若需)→植骨 | 骨愈合后牙齿稳固,功能恢复良好 |
| 根尖周炎(根管治疗后,根尖暗影缩小) | 可 | 根管治疗→观察炎症消退→植骨 | 根尖骨质修复,牙齿浮起症状缓解 |
相关问答FAQs
Q1:活动牙植骨后牙齿一定会保住吗?
A:不一定,植骨能否成功保留牙齿,取决于牙齿松动的原始病因、骨缺损程度、术后护理及全身健康状况,若牙周炎症未控制、牙根折断或骨吸收过重,即使植骨也可能因支持组织不足导致牙齿脱落,术后口腔卫生差、吸烟或患有糖尿病等全身性疾病,也会增加失败风险,建议植骨后定期复查,遵医嘱进行牙周维护,提高牙齿保留率。

Q2:植骨粉会被身体完全吸收吗?
A:不同类型的植骨粉吸收速度不同,自体骨可逐渐被新生骨替代,最终完全吸收;异种骨(如牛骨)吸收较慢,部分材料可能长期存留,起到骨支撑作用;人工骨(如磷酸三钙)可降解,吸收速度与新生骨生长速度相匹配,植骨后3-6个月,通过X线片可见新生骨形成,植骨粉逐渐被骨组织替代,最终形成稳定的骨结构,但具体吸收情况需根据材料类型及个体差异而定。
