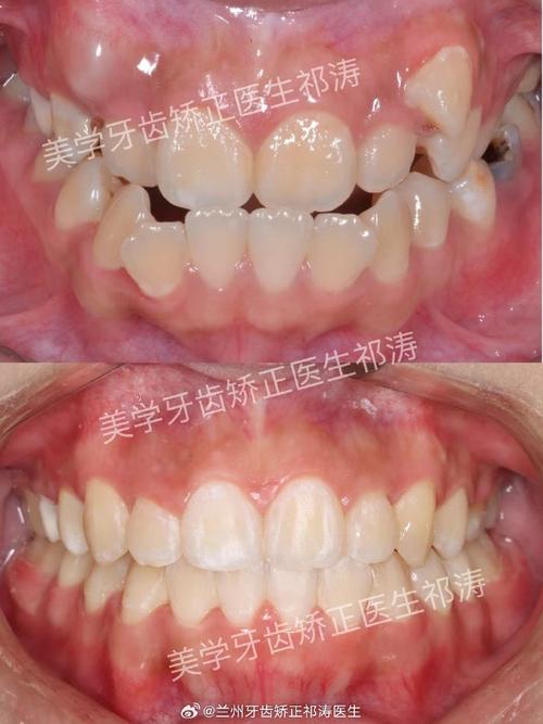
牙齿不齐是口腔科常见的错畸形问题,不仅影响美观,还可能导致咀嚼功能下降、牙周健康受损等问题,在正畸治疗中,拔牙是一种常用的手段,通过拔除部分牙齿为剩余牙齿的移动创造空间,从而实现排列整齐、咬合协调的目标,但许多患者对拔牙正畸存在疑虑:哪些情况需要拔牙?拔牙后矫正效果如何?会对口腔健康造成影响吗?本文将围绕“牙齿不齐拔除后正畸”展开详细说明。
为什么牙齿不齐可能需要拔牙?
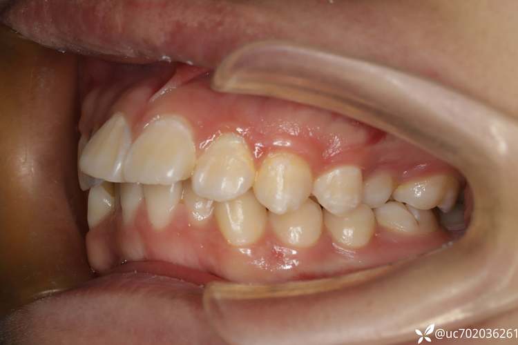
牙齿不齐的核心问题往往在于“空间不足”——当颌骨空间无法容纳所有牙齿时,就会出现拥挤、排列混乱;或者当牙齿咬合关系异常(如前牙前突、深覆合等),拔牙可以通过“减数”为牙齿移动提供必要空间,同时改善咬合功能和面部美观,并非所有牙齿不齐都需要拔牙,具体需结合以下因素综合判断:

牙列拥挤度
若牙齿总宽度大于牙弓 available space(可用空间),且拥挤度达到III度(拥挤度超过8mm),通常需要拔牙解除拥挤,否则勉强排齐可能导致牙齿前突、嘴唇过厚,或牙根吸收、牙龈萎缩等风险。
咬合关系异常
如前牙深覆盖(“龅牙”)、深覆合(上牙过度覆盖下牙)、反合(“地包天”)等,若存在骨骼性因素或牙齿代偿性移位,拔牙可调整上下牙弓的长度和位置,建立稳定的咬合关系。
面型改善需求
对于存在凸面型(嘴突)、颏部后缩的患者,拔除前磨牙(通常为第一或第二前磨牙)可回收前牙,改善软组织侧貌,使面部轮廓更协调。
口腔健康因素
若存在严重龋坏、牙周病或智齿阻生,且无法保留的牙齿,正畸时可同步拔除,既解决了病灶,又为矫正提供空间。

拔牙正畸的适应症与非适应症
并非所有牙齿不齐都适合拔牙,需严格把握适应症,以下表格对比了常见拔牙与非拔牙的情况:
| 评估指标 | 建议拔牙的情况 | 通常不建议拔牙的情况 |
|---|---|---|
| 牙列拥挤度 | III度拥挤(拥挤度>8mm)或II度拥挤伴前突 | I-II度拥挤,牙弓形态正常 |
| 前牙覆盖/覆合 | 覆盖超过7mm,深覆合超过下牙唇面的1/3 | 覆盖<4mm,覆合正常 |
| 面型 | 凸面型明显,上下牙弓前突不协调 | 面型正常或直面型 |
| 牙齿大小与牙弓比例 | 牙齿总宽度明显大于牙弓长度 | 牙齿大小与牙弓比例匹配 |
| 口腔健康状况 | 存在无法保留的残根、严重龋坏或牙周病患牙 | 牙齿健康,无病灶 |
拔牙后的正畸流程与关键阶段
拔牙正畸并非“拔完牙就完事”,而是系统的治疗过程,通常分为以下几个阶段:
术前评估与方案设计
拔牙前需进行全面的口腔检查,包括:
- 口腔模型:测量牙齿大小、拥挤度;
- X光片:评估牙根发育、牙槽骨状况、埋伏牙情况;
- 头影测量:分析骨骼关系、牙齿角度、软组织面型;
- 口内口外照:记录治疗前基线状态。
医生会结合患者年龄、主诉、美观需求制定个性化方案,明确拔牙数量、位置(通常为第一前磨牙,对咀嚼功能影响较小)及矫正目标。
拔牙与分牙阶段
拔牙一般在分牙前或分牙后进行,采用微创拔牙技术,创伤小、恢复快(通常3-5天消肿),拔牙后1-2周开始分牙(放置分牙圈或分牙橡皮圈),为戴固定矫治器(如托槽)做准备。

排齐与整平阶段(约6-12个月)
戴入矫治器后,通过弓丝和托槽的作用,将拥挤错乱的牙齿排列整齐,调整牙弓曲线,解除牙齿扭转、高低不等问题,此阶段需注意口腔卫生,避免托槽周围食物残留导致龋坏或牙龈炎。
关闭拔牙间隙阶段(约6-12个月)
这是拔牙正畸的核心阶段,通过滑动法或关闭曲法,将后牙前移,逐步关闭拔牙留下的间隙,医生会根据牙齿移动情况调整弓丝力度,确保间隙均匀关闭,同时维持咬合稳定。
精细调整与保持阶段(约6-12个月)
当牙齿排列整齐、咬合关系基本稳定后,进入精细调整阶段,通过小范围移动牙齿改善咬合接触点、调整中线等,拆除矫治器后,需佩戴保持器(通常为透明压膜保持器或 Hawley 保持器),前6个月需全天佩戴,之后逐渐过渡到夜间长期佩戴,防止复发。
拔牙正畸的常见误区解答
误区1:“拔牙会伤元气,影响健康”
解答:拔牙正畸是规范的医疗行为,拔除的牙齿多为前磨牙(非功能牙),且采用微创技术,术后反应(如肿胀、疼痛)轻微,通常1周内恢复,从长远看,拔牙矫正可避免因牙齿拥挤导致的牙周病、龋坏等问题,反而有利于口腔健康。
误区2:“拔牙后牙齿会松动,老了更容易掉”
解答:矫正过程中牙齿会出现生理性松动(这是牙齿移动的正常表现),但矫正完成后,牙槽骨会改建稳定,牙齿会重新稳固,若保持器佩戴规范、口腔卫生良好,矫正后的牙齿不会比正常牙齿更容易脱落,反而因排列整齐更利于清洁,能降低牙周病风险。
拔牙正畸的注意事项
- 口腔卫生维护:戴矫治器后需使用正畸专用牙刷、牙线、冲牙器,每天至少刷牙3次,彻底清洁托槽周围,避免“白斑脱矿”(龋坏前兆)。
- 饮食调整:避免过硬(如坚果、骨头)、黏性(如口香糖、年糕)食物,防止托槽脱落或弓丝变形;减少高糖饮食,降低龋坏风险。
- 定期复诊:一般每4-6周复诊一次,医生会调整矫治力、检查牙齿移动情况,若出现托槽脱落、弓丝刺嘴等需及时处理。
- 保持器佩戴:矫正完成后牙齿有复发的趋势,保持器是维持效果的关键,务必遵医嘱佩戴,不可自行停戴。
相关问答FAQs
Q1:拔牙正畸需要多长时间?会影响工作生活吗?
A1:拔牙正畸的总时间因人而异,通常为2-3年,初期(戴矫治器后1-2周)可能出现口腔溃疡、酸痛等不适,但可适应;治疗期间需注意饮食和口腔卫生,但不影响正常工作和生活,定期复诊即可。
Q2:拔牙正畸后脸型一定会变吗?能改善“龅牙”吗?
A2:是否改变脸型取决于原始面型和矫正目标,对于前牙前突、凸面型明显的患者,拔牙矫正可回收前牙,改善嘴突、使侧脸轮廓更协调;若面型原本正常,矫正主要目标是排齐牙齿,对脸型影响较小,但“龅牙”的改善效果通常较为显著,可有效改善唇部突度。
