植牙作为修复缺失牙齿的有效方式,通常依赖于牙槽骨的支撑,当牙槽骨骨量充足时,种植体可以稳定植入并获得良好的长期效果,部分患者因牙槽骨严重萎缩、吸收或存在其他解剖结构异常(如上颌窦过低),导致传统牙槽骨植牙难以实施,颧骨植牙作为一种替代方案逐渐进入大众视野,那么植牙是否可以植在颧骨上呢?本文将围绕这一问题展开详细探讨。
颧骨植牙的可行性:从解剖结构到技术原理
颧骨是面中部的一对扁平骨骼,位于上颌骨的外上方,参与构成眼眶的外壁、颞窝的前壁和面部的侧壁,从解剖结构看,颧骨骨质致密、骨量充足,且位置相对固定,具备为种植体提供稳定支撑的潜力,传统植牙主要依赖牙槽骨,而上颌后牙区(磨牙区域)的牙槽骨因咀嚼力长期刺激,可能因牙齿缺失后缺乏生理性刺激而逐渐萎缩,尤其是长期缺牙的患者,牙槽骨骨量可能严重不足,甚至无法容纳常规种植体(长度通常为8-12mm),颧骨因其足够的骨量和强度,成为替代种植部位的潜在选择。

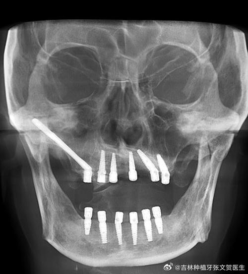
颧骨植牙的技术原理是通过外科手术,将特制的长种植体(长度通常可达30-55mm)从口腔前庭切口进入,穿过上颌骨,最终植入颧骨主体内,种植体的头部(基台)仍位于牙槽嵴顶,用于连接牙冠,而尾部则固定在颧骨内,通过颧骨的支撑力分散咀嚼力,从而恢复牙齿功能,这种种植方式也被称为“颧骨支抗种植”,其核心优势在于无需依赖上颌后牙区的牙槽骨,避免了复杂的骨增量手术(如骨移植、上颌窦提升等)。
哪些患者需要考虑颧骨植牙?
颧骨植牙并非常规选择,仅适用于特定患者群体,需严格经过口腔专科医生的评估,其适应症主要包括以下几类:
- 严重牙槽骨吸收患者:上颌后牙区因长期缺牙、牙周病或外伤导致牙槽骨严重萎缩,剩余骨高度不足5mm,且无法通过骨增量手术改善者。
- 上颌窦解剖异常者:上颌窦气化过度(窦腔过大、窦壁低位),常规上颌窦内提升或外提升手术无法获得足够骨量,或患者曾接受上颌窦手术导致黏膜受损,无法再进行骨增量。
- 全口或半口无牙颌患者:上颌无牙且牙槽骨普遍萎缩,传统全口种植需大量骨移植,而患者因身体状况(如糖尿病、骨质疏松)或经济原因不愿/不能接受复杂骨手术。
- 种植失败二次修复者:上颌后牙区曾尝试种植失败,且局部骨条件极差,剩余骨量无法支持再次种植。
需要注意的是,颧骨植牙对患者的全身健康状况也有要求,如未控制严重的糖尿病、凝血功能障碍、严重的心脑血管疾病或头颈部放疗史患者,需谨慎评估手术风险。
颧骨植牙的手术过程与关键步骤
颧骨植牙是一项技术难度较高的口腔外科手术,需由经验丰富的种植外科团队完成,通常分为以下阶段:

术前评估与规划
术前需进行详细的影像学检查,如锥形束CT(CBCT)和三维重建,明确颧骨的骨量、密度、解剖结构(如颧牙槽嵴、上颌窦位置),以及周围重要神经血管(如眶下神经、上颌动脉)的走行,结合口腔模型和咬合关系,设计种植体的植入位置、角度和长度,确保种植体能获得初期稳定性,且不影响后期修复体的美观与功能。
麻醉与手术切口
通常采用全身麻醉,确保患者术中无痛苦,手术切口位于口腔前庭沟顶部,相当于上颌尖牙到第一磨牙的区域,切开黏膜和骨膜,暴露上颌骨前壁和颧牙槽嵴(颧骨与上颌骨的连接处)。
种植体植入
通过专用种植机,将特制的长种植体(表面通常采用钛或钛合金涂层,以促进骨结合)从上颌骨前壁穿入,沿着预设的角度和深度,植入颧骨主体内,术中需实时监测种植体的位置,避免损伤上颌窦或周围神经血管,植入后,通过扭矩测试确认种植体的初期稳定性(通常要求植入扭矩超过35N·cm)。
临时修复体连接与缝合
若患者条件允许(如骨量充足、无明显感染风险),可在术中同期连接临时牙冠,实现“即刻负重”,缩短治疗周期,随后分层缝合切口,术后给予抗生素和止痛药物预防感染和疼痛。

术后随访与永久修复
术后需定期复查(术后1周、1个月、3个月、6个月),观察种植体周围软组织愈合情况和骨结合状态(通过CBCT检查),通常3-6个月后,若骨结合良好,可拆除临时修复体,制作并安装永久性牙冠(如全瓷冠),恢复牙齿形态与功能。
颧骨植牙的优势与潜在风险
优势:
- 避免骨增量手术:对于牙槽骨严重不足的患者,无需接受骨移植、上颌窦提升等复杂手术,减少手术创伤和恢复时间。
- 缩短治疗周期:传统植牙常需3-6个月的骨愈合期,而颧骨植牙可同期或早期负重,部分患者可实现当天戴牙,显著缩短治疗时间。
- 适用范围广:为常规植牙失败或骨条件极差的患者提供了修复可能,避免佩戴活动义齿的不便。
风险与局限:
- 手术难度高:颧骨周围解剖结构复杂,毗邻眶下神经、上颌窦等重要结构,手术需精准控制种植体位置,误操作可能导致神经损伤、出血或上颌窦穿孔。
- 并发症风险:术后可能出现感染、种植体松动、面部软组织肿胀、感觉异常(如颧部麻木)等并发症,远期成功率略低于常规植牙(文献报道5年成功率约80%-90%,常规植牙可达95%以上)。
- 费用较高:由于手术技术复杂、需使用特制种植体,颧骨植牙的费用通常高于传统植牙,可能增加患者经济负担。
- 对医生技术依赖性强:需由具备丰富颧骨植牙经验的医生操作,基层医院可能因技术限制无法开展。
颧骨植牙与常规植牙的对比
为更直观理解颧骨植牙的特点,以下通过表格对比其与常规牙槽骨植牙的差异:
| 对比项目 | 颧骨植牙 | 常规牙槽骨植牙 |
|---|---|---|
| 适应症 | 牙槽骨严重萎缩、上颌窦异常等 | 牙槽骨骨量充足(高度≥10mm,宽度≥5mm) |
| 骨量要求 | 依赖颧骨骨量,无需牙槽骨支撑 | 依赖牙槽骨,需充足骨量 |
| 手术复杂度 | 高,需精准避开重要解剖结构 | 低至中等,技术成熟 |
| 治疗周期 | 短(可即刻负重,3-6个月完成修复) | 长(需3-6个月骨结合,再行修复) |
| 5年成功率 | 80%-90% | 95%-98% |
| 费用 | 较高(约3-5万元/颗) | 中等(约1-3万元/颗) |
| 适用人群 | 特殊骨条件患者 | 大多数缺牙患者 |
术后护理与长期维护
颧骨植牙的长期效果离不开科学的术后护理和定期维护:
- 饮食控制:术后1周内进食流质或半流质食物,避免过硬、过黏食物;3个月内避免用种植牙咀嚼硬物(如坚果、骨头),防止种植体松动。
- 口腔卫生:使用软毛牙刷、冲牙器清洁种植牙及周围牙龈,必要时配合牙线,预防种植体周围炎(主要表现为牙龈红肿、出血、种植体松动)。
- 定期复查:术后每6个月进行一次专业检查,包括CBCT评估骨结合情况、临床检查牙周健康,及时处理潜在问题(如修复体磨损、基台松动)。
- 避免不良习惯:戒烟(吸烟影响骨结合)、避免夜磨牙(可佩戴夜磨牙垫),减少种植体机械疲劳。
相关问答FAQs
Q1:颧骨植牙和传统植牙哪个更好?如何选择?
A:颧骨植牙和传统植牙各有优劣,选择需基于患者的牙槽骨条件、全身健康状况、经济预算及治疗需求,传统植牙技术成熟、成功率高、费用较低,是大多数患者的首选;颧骨植牙则是针对“无牙槽骨可用”患者的“补救方案”,虽能避免骨增量手术,但创伤更大、费用更高、风险略高,具体选择需经口腔专科医生通过CBCT、模型检查等综合评估,制定个性化治疗方案。
Q2:颧骨植牙能用多久?会影响面部美观吗?
A:颧骨植牙的长期效果与患者自身条件、术后维护及医生技术密切相关,文献报道,颧骨植牙的5年成功率约80%-90%,10年成功率约70%-80%,若患者保持良好的口腔卫生和定期复查,种植体可使用10年以上甚至更久,关于美观性,颧骨植牙的种植体植入位置较深,不会直接影响面部外观,且修复体(牙冠)可根据患者邻牙颜色、形态定制,兼顾美观与功能,但需注意,若术后出现软组织萎缩或修复体设计不当,可能影响前牙区的美观效果,需通过修复体调整改善。
植牙可以植在颧骨上,但仅适用于特定牙槽骨条件极差的患者,是一项技术要求高、风险与收益并存的替代方案,患者在选择前需充分了解其适应症、风险及术后维护要求,与医生充分沟通,制定最适合自己的治疗计划。
