植牙中的即拔即种,作为一种先进的牙齿缺失修复技术,近年来在口腔医学领域得到了广泛应用,它打破了传统植牙“拔牙后等待3-6个月再种植”的局限,实现了“拔牙即植牙”的即时修复,为患者缩短了治疗周期,减少了手术次数,同时更好地保存了牙槽骨的形态和功能,以下将从技术原理、适用人群、操作流程、优势与风险等方面进行详细阐述。
即拔即种的核心原理是在拔除患牙的同时,利用拔牙窝立即植入人工牙根(即种植体),通过外科手术将种植体植入到牙槽骨内,待其与骨组织结合(骨结合)后,再安装基台和牙冠,最终恢复牙齿的形态与功能,这一技术的关键在于拔牙窝的条件是否符合种植要求,包括牙槽骨的骨量、密度、形态以及周围软组织的健康状况,与传统植牙相比,即拔即种省去了拔牙后等待创口愈合、牙槽骨改建的漫长过程,但并非所有缺牙情况都适用,需通过严格的术前评估确定。

适用人群与禁忌症
即拔即种并非“万能”,其适用人群需满足特定条件。适用人群主要包括:单颗牙或多颗牙缺失,且拔牙窝骨量充足(高度、宽度足够)、无明显骨缺损;患牙因严重龋坏、根尖周炎、牙周病等无法保留,但拔牙窝周围无急性感染;全身健康状况良好,无未控制的糖尿病、严重心血管疾病、骨质疏松等影响骨愈合的疾病;口腔卫生良好,无严重牙周病。禁忌症则包括:拔牙窝骨量严重不足,需大量植骨;拔牙窝存在急性感染(如脓肿、蜂窝织炎);牙槽骨骨折或骨壁缺损过大;长期吸烟、酗酒等影响骨愈合的生活习惯;患有免疫系统疾病或长期服用抗凝药物且无法调整者。
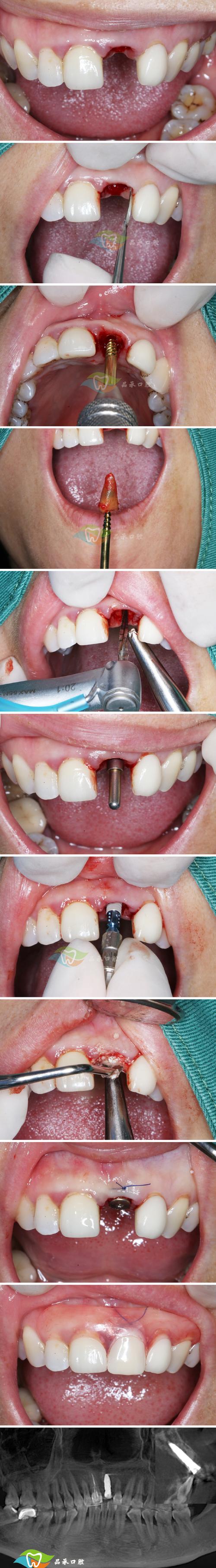
操作流程与技术要点
即拔即种的操作流程严格遵循无菌原则,需由经验丰富的口腔种植医生完成,具体步骤如下(可通过表格清晰呈现):
| 步骤 | 关键要点 | |
|---|---|---|
| 术前评估 | 口腔检查(视诊、叩诊、牙周探诊)、影像学检查(CBCT、曲面断层片)、全身健康评估 | 明确患牙拔除指征,测量牙槽骨骨量(高度≥10mm,宽度≥6mm),判断骨密度,排除禁忌症 |
| 拔牙与窝洞预备 | 拔除患牙,彻底清创拔牙窝,去除炎症组织,修整骨壁 | 尽量保护牙槽骨壁完整性,避免过度搔刮,保留牙槽间隔,为种植体提供初期稳定性 |
| 种植体植入 | 选择合适直径、长度的种植体,植入拔牙窝,确保种植体尖端位于牙槽骨 cortical 下3-5mm | 种植体与骨壁紧密贴合,初期稳定性良好(扭矩≥35N·cm),避免邻牙损伤 |
| GBR(引导骨再生) | 若骨量轻微不足,可植入骨粉、骨膜,促进骨再生 | 严格隔湿,防止骨粉移位,确保生物膜覆盖骨缺损区 |
| 缝合与术后处理 | 无张力缝合拔牙创口,术后拍摄X光片确认种植体位置 | 嘱患者术后24小时内避免刷牙、漱口,服用抗生素预防感染,避免患侧咀嚼 |
术后需定期复查(术后1周、1个月、3个月),观察骨结合情况,一般3-6个月后,若种植体与骨组织结合良好(通过X光片或动度检测确认),可进行二期手术安装基台,再制作并佩戴牙冠,完成最终修复。
即拔即种的优势
- 缩短治疗周期:传统植牙需等待拔牙创愈合(3-4周)+骨改建(3-6个月),即拔即种将拔牙与种植同期完成,总治疗时间缩短至3-6个月,部分患者甚至可当天戴临时牙冠(即刻负重)。
- 减少手术次数:传统植牙需分“拔牙-种植-戴冠”多次手术,即拔即种将拔牙与种植合并,患者只需经历一次手术,创伤更小,恢复更快。
- 保存牙槽骨:拔牙后牙槽骨会逐渐吸收(3-6个月内吸收可达30%-50%),即拔即种在拔牙后立即植入种植体,可刺激骨组织再生,延缓骨吸收,维持牙槽骨形态和丰满度,为牙冠提供良好的支撑。
- 快速恢复功能:即刻负重技术下,患者可在术后当天或短期内佩戴临时牙冠,基本恢复咀嚼功能,避免缺牙期间的生活不便。
风险与注意事项
即拔即种虽优势显著,但也存在一定风险,需严格把控适应症和操作规范。常见风险包括:种植体初期稳定性不足导致失败(发生率约5%-10%)、术后感染(如种植体周围炎)、骨吸收导致种植体暴露、邻牙损伤等。降低风险的措施包括:术前精准评估骨量(CBCT三维成像)、选择合适的种植体(直径、长度匹配拔牙窝)、术中保证种植体初期稳定性、术后严格口腔卫生指导、定期复查,患者需戒烟(吸烟会增加骨结合失败风险2-3倍),避免咀嚼过硬食物,遵医嘱服用抗生素和止痛药。

相关问答FAQs
Q1:即拔即种后能立即使用新牙吃东西吗?
A:是否立即使用(即刻负重)需根据患者具体情况决定,若拔牙窝骨条件极佳、种植体初期稳定性强(扭矩≥50N·cm),且患者咬合力需求较低,可在术后当天佩戴临时牙冠,用于美观和轻度咀嚼,但多数患者建议术后3个月内避免患侧咀嚼,待骨结合完成后(3-6个月),再安装永久牙冠,以确保种植体长期稳定,过早负重可能导致种植体松动、骨吸收,影响修复效果。
Q2:即拔即种比传统植牙更容易失败吗?
A:并非如此,临床研究显示,在严格筛选适应症(骨量充足、无感染)和规范操作的前提下,即拔即种的成功率与传统植牙相当(5年成功率可达90%-95%),失败风险主要与骨量不足、种植体初期稳定性差、术后感染或患者不良习惯(如吸烟)相关,选择正规医疗机构和经验丰富的种植医生,严格遵循术前评估和术后护理要求,可显著降低失败风险。

