正畸牙齿,即通过矫正装置调整牙齿排列和咬合关系,是口腔医学中常见的治疗方式,其主要目的是解决牙齿拥挤、错位、咬合异常等问题,同时改善面部美观和咀嚼功能,近年来,有部分人群在正畸后发现鼻梁似乎“变高”或更挺拔,这一现象引发了广泛关注,正畸牙齿与鼻梁高度的变化之间可能存在一定的关联,但这种关联并非直接“增高”鼻骨,而是通过牙齿、颌骨及软组织的协同调整,间接影响面部轮廓的立体感,从而在视觉或实际结构上产生鼻梁更挺的观感。
正畸牙齿如何影响面部结构,进而关联鼻梁形态?
要理解正畸牙齿与鼻梁变化的关系,需先明确牙齿、颌骨与鼻部的解剖联系,人类的面部骨骼是一个整体,上颌骨(俗称“上牙床”)作为面部中部的骨骼基础,不仅支撑着牙齿,还与鼻骨、颧骨、泪骨等相邻结构紧密相连,鼻梁的高度主要由鼻骨的形态决定,而上颌骨的位置和形态会间接影响鼻骨的支撑角度和周围软组织的分布,正畸治疗通过施加持续、轻柔的力量,引导牙齿在牙槽骨内移动,同时刺激牙槽骨改建(即破骨细胞与成骨细胞共同作用,使牙齿移动区域的骨质吸收和新生),这一过程可能进一步影响上颌骨的位置和形态,从而波及鼻部区域。

牙齿位置调整改变上颌骨姿态,间接影响鼻梁角度
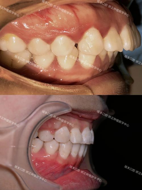
牙齿与上颌骨的关系密不可分:牙齿的牙根深埋于牙槽骨中,而牙槽骨属于上颌骨的一部分,当牙齿存在前突(如“龅牙”)或排列拥挤时,上颌骨可能会因牙齿的异常力量而出现轻微前移或形态代偿性改变,上前牙过度前突时,上颌骨的前部可能随之向前突出,导致鼻骨的基底位置相对靠前,鼻梁与面部的夹角减小,视觉上鼻梁显得“塌”或不够立体。
正畸治疗通过内收前突的牙齿(如使用拔牙矫正、隐形矫正的“推磨牙向后”等技术),减少上前牙对上颌骨前部的牵引力,随着牙齿逐渐向舌侧移动,上颌骨可能发生轻微的逆时针旋转(即前部略微后移、后部略微上抬),这一变化会改变鼻骨基底的倾斜角度,当鼻骨基底位置相对后移且角度更垂直时,鼻梁在视觉上会显得更挺拔,高度“增加”,这种变化并非鼻骨本身变长或变高,而是鼻骨与面部其他骨骼的相对位置调整带来的轮廓优化。
牙槽骨改建重塑鼻基底支撑,改善鼻梁立体感
鼻基底是指鼻部与上唇之间的软组织区域,其饱满度受下方上颌骨前牙区牙槽骨的高度和厚度的直接影响,部分人群因牙齿拥挤或先天发育问题,上颌前牙区牙槽骨发育不足,导致鼻基底凹陷,即使鼻骨本身高度正常,也会因缺乏支撑而显得鼻梁“低平”。
正畸治疗中,通过牙齿移动和牙槽骨改建,可刺激上颌前牙区牙槽骨的新生,在关闭拔牙间隙或内收牙齿时,牙槽骨的唇侧(外侧)可能发生吸收,舌侧(内侧)则发生增生,这一过程不仅调整了牙齿位置,还可能改善牙槽骨的形态,若牙槽骨舌侧增生后,对鼻基底区域的支撑增强,可使鼻基底更饱满,鼻梁与上唇的过渡更自然,从而强化鼻梁的立体感,牙槽骨高度的提升还能间接影响鼻翼软骨的支撑力,使鼻尖表现更突出,进一步衬托鼻梁的“高度”。
软组织协同调整:嘴唇内收与面部轮廓优化
牙齿矫正不仅改变骨骼和牙齿结构,还会影响覆盖其上的软组织(嘴唇、脸颊等),尤其是上前牙前突的患者,其嘴唇常因牙齿的支撑力不足而显得前突(“凸嘴”),正畸治疗后,牙齿内收、嘴唇向内回缩,原本被嘴唇覆盖的鼻基底区域得以显露,鼻梁与上唇的轮廓线更清晰,这种软组织的变化会产生“鼻梁显高”的视觉效果——原本因嘴唇前突而显得“埋没”的鼻梁,在嘴唇回缩后更突出,面部侧面轮廓从“突面型”变为“直面型”,鼻梁的立体感自然增强。
需要注意的是,软组织的变化存在“滞后性”:牙齿移动后,软组织的调整速度较慢,通常需要6个月到1年才能达到稳定状态,部分患者可能在矫正初期未察觉鼻梁变化,而在拆除矫正器后逐渐显现。
不同正畸方式对鼻梁影响的差异
正畸方式的选择可能影响鼻梁变化的程度和表现。

- 拔牙矫正:对于牙齿严重前突、需要大量内收的患者,拔牙(通常拔除第一前磨牙)可为牙齿后移提供空间,上颌骨逆时针旋转更明显,鼻基底支撑和鼻梁立体感的改善可能更显著。
- 不拔牙矫正:对于轻度拥挤或骨性问题的患者,通过扩展牙弓、少量移动牙齿改善排列,对上颌骨位置的影响较小,鼻梁变化可能以视觉优化为主。
- 功能性矫正:针对儿童青少年,通过矫正装置引导颌骨发育(如促进上颌骨后缩或下颌骨前移),可能从根本上改善面部骨骼关系,鼻梁的形态调整也更彻底。
成年人与青少年的差异也需注意:成年人颌骨已发育完成,正畸主要通过牙齿移动和牙槽骨改建影响面部,变化相对有限;青少年因颌骨仍处于生长期,正畸可能同时引导颌骨生长,鼻梁形态的调整空间更大。
正畸牙齿与鼻梁变化的关系总结(表格)
| 影响机制 | 具体表现 | 常见情况 |
|---|---|---|
| 上颌骨位置调整 | 牙齿内收→上颌骨轻微后移→鼻骨基底角度更垂直→鼻梁视觉上更挺 | 上前牙前突、凸面型患者 |
| 牙槽骨改建 | 上颌前牙区牙槽骨舌侧增生→鼻基底支撑增强→鼻梁立体感提升 | 牙槽骨发育不足、鼻基底凹陷患者 |
| 软组织协同变化 | 嘴唇内收→鼻基底显露→鼻梁轮廓线更清晰→视觉上“显高” | 嘴唇前突、牙齿覆盖嘴唇过多的患者 |
| 功能性矫正(青少年) | 引导颌骨生长→调整鼻骨与周围骨骼的相对位置→鼻梁形态优化 | 颌骨发育异常(如上颌骨前突不足)的青少年 |
相关问答FAQs
Q1:正畸牙齿真的能让鼻梁骨变高吗?
A1:不能,鼻梁的高度主要由鼻骨的长度、厚度和形态决定,正畸牙齿无法直接改变鼻骨的解剖结构,所谓的“鼻梁变高”是通过牙齿、颌骨位置的调整及软组织的变化,间接优化鼻梁与面部其他轮廓的相对关系,从而产生视觉或实际立体感的提升,并非鼻骨本身“长高”。
Q2:为什么有些人正畸后感觉鼻梁变高,有些人却没有明显变化?
A2:这主要与个体的牙齿问题、面部骨骼基础和矫正方式有关,若患者本身存在上前牙前突、鼻基底凹陷或颌骨位置异常,正畸通过调整牙齿和颌骨,改善鼻部支撑和轮廓,鼻梁变化会更明显;而对于牙齿排列基本正常、面部骨骼协调的人群,正畸对鼻梁的影响则较小,矫正方式(如拔牙与否)、年龄(青少年比成年人更易通过颌骨调整改善形态)以及软组织厚度(厚嘴唇可能掩盖部分变化)也会导致个体差异。
