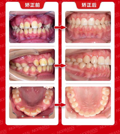
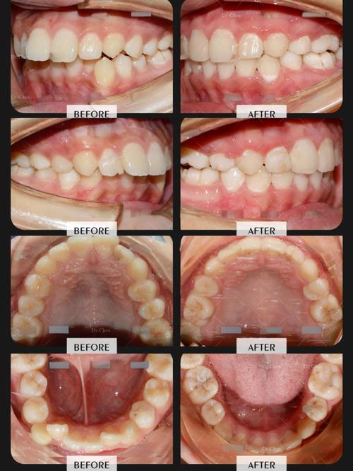
凸嘴是常见的口腔颌面问题,不仅影响面部美观,还可能伴随咬合异常、发音障碍等,正畸治疗作为改善凸嘴的主要手段,其效果一直是患者关注的焦点,本文将从凸嘴类型、正畸改善机制、不同情况下的改善幅度及影响因素等方面展开详细说明,帮助读者全面了解正畸改善凸嘴的具体效果。
凸嘴的形成主要分为牙性、骨性和混合型三种类型,牙性凸嘴主要由牙齿前突导致,上下颌骨位置正常,常见于替牙期不良习惯(如咬嘴唇、口呼吸)或乳牙早失等;骨性凸嘴则与颌骨发育异常有关,表现为上下颌骨前突或上下颌骨比例不调,单纯正畸改善有限;混合型凸嘴则兼有牙性和骨性因素,正畸治疗主要针对牙性凸嘴及混合型凸嘴的牙性部分,通过牙齿移动改善嘴唇突度,而严重骨性凸嘴通常需结合正颌手术。

正畸改善凸嘴的核心机制是通过牙齿的整体移动调整牙弓形态和牙齿位置,具体而言,通过拔牙(如拔除前磨牙)为前牙内收提供空间,利用支抗控制(如微种植体支抗、颌内支抗)将前牙向舌侧移动,同时调整后牙位置以维持咬合稳定,牙齿内收后,其前方的牙槽骨也会发生改建,嘴唇因失去牙齿支撑而向内回缩,从而改善凸嘴外观,通过纠正扭转、倾斜的牙齿,调整牙轴倾斜度,进一步优化唇齿关系,使嘴唇与牙齿的协调性提升。
不同类型的凸嘴,正畸改善幅度存在显著差异,临床数据显示,牙性凸嘴的改善效果最为理想:若前牙前突量为2-4mm,通过规范正畸治疗(通常拔除4颗前磨牙),上颌前牙可内收2-3mm,嘴唇随之内收1.5-2.5mm,凸嘴外观得到明显改善;若前牙前突量达4-6mm,需结合强支抗(如微种植体),前牙内收量可达3-5mm,嘴唇改善2-3mm,面部侧貌轮廓更柔和,对于混合型凸嘴,若骨性因素较轻(如下颌骨轻微前突),正畸可改善牙性部分1-2mm,结合轻度代偿性治疗,总改善幅度约1.5-3mm;但若骨性因素突出(如下颌前突超过5mm),单纯正畸改善有限,需联合正颌手术才能达到理想效果。
骨性凸嘴的正畸改善幅度较小,通常仅为0.5-1mm,通过正畸调整牙齿代偿(如将前牙略微舌倾、后牙伸长),可在一定程度上掩饰骨骼突度,但无法从根本上改变颌骨位置,此类患者需经正畸医生评估,明确是否需要手术干预。
以下是不同类型凸嘴的正畸改善幅度总结:

| 凸嘴类型 | 典型前突量(mm) | 正畸改善幅度(mm) | 备注 |
|---|---|---|---|
| 牙性凸嘴 | 2-4 | 5-2.5 | 需拔牙或强支抗 |
| 牙性凸嘴 | 4-6 | 5-3.5 | 需微种植体支抗 |
| 混合型(轻度骨性) | 3-5 | 5-3 | 需结合代偿性治疗 |
| 骨性凸嘴 | >5 | 5-1 | 需联合正颌手术 |
影响正畸改善凸嘴效果的因素众多,需综合评估。年龄是关键因素之一:青少年患者处于生长发育期,颌骨和牙齿改建能力强,正畸效果更显著;成年患者骨骼已稳定,牙齿移动范围有限,但通过精细治疗仍可达到改善目标。正畸方案设计直接影响改善效果,如是否拔牙、支抗选择(传统支抗vs微种植体)、矫治器类型(传统托槽vs隐形矫治)等,需根据患者具体情况个性化制定。患者配合度同样重要,佩戴橡皮筋、保持器,避免咬硬物、口呼吸等不良习惯,可确保牙齿按计划移动,维持治疗效果。医生技术和治疗时间(通常1.3-2.5年)也会影响最终效果,经验丰富的医生能更精准控制牙齿移动方向,最大限度改善凸嘴。
需注意,正畸改善凸嘴并非“越大越好”,需以面部协调性为核心目标,过度内收可能导致“瘪嘴”、侧貌凹陷等问题,因此治疗前需通过头影测量、面部扫描等数据综合评估,制定兼顾功能与美学的方案。
相关问答FAQs
Q1:正畸改善凸嘴的效果能维持多久?
A:正畸效果的维持依赖终身保持治疗,牙齿移动后,牙槽骨和牙周组织需要时间改建稳定,通常需全天佩戴保持器6-12个月,之后夜间长期佩戴,若患者保持良好的口腔习惯(如避免用牙开瓶、咬硬物),定期复查调整,效果可长期维持,若出现牙齿复发前移(如未戴保持器、不良习惯未纠正),可能需二次正畸治疗。
Q2:凸嘴一定要拔牙才能改善吗?
A:并非所有凸嘴都需要拔牙,对于轻度牙性前突(前突量<2mm)、牙弓狭窄或存在严重拥挤的患者,拔牙可为前牙内收提供空间,改善效果更稳定;而对于轻度前突、牙弓充足的患者,可通过扩展牙弓、磨改牙齿等方式非拔牙矫正,但改善幅度相对有限(通常1-2mm),是否拔牙需经正畸医生通过模型分析、头影测量等综合评估,以面部美观和咬合功能为最终判断标准。

