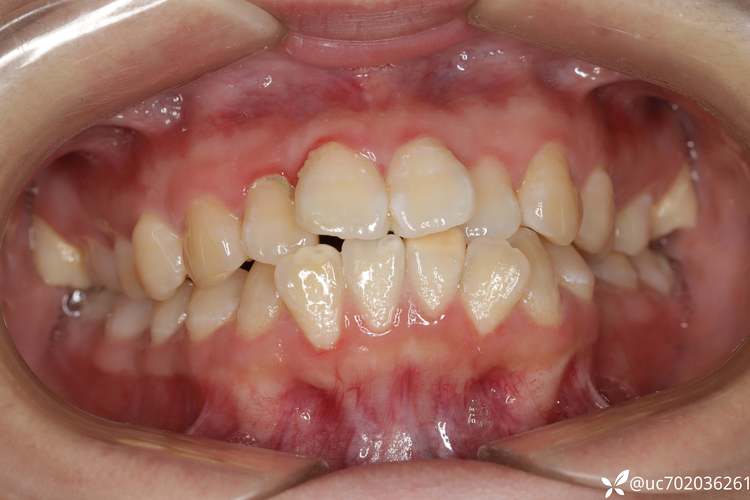
安氏三类错颌畸形,俗称“地包天”,是临床上较为复杂的错颌类型,主要表现为下颌前突、上颌后缩或两者并存,前牙呈反颌关系(下前牙咬在上前牙唇侧),磨牙关系为近中关系(下颌第一磨牙的近中颊尖咬合于上颌第一磨牙的近中沟),对于此类错颌,正畸治疗是核心手段,而拔牙矫治则是部分病例的关键策略,其目的是通过解除牙列拥挤、调整颌骨位置关系、改善面部美观及咬合功能。
安氏三类错颌的正拔牙矫治背景
安氏三类错颌的病因复杂,包括遗传因素(如下颌骨发育过度、上颌骨发育不足)、环境因素(如儿童期不良习惯,如咬上唇、口呼吸、长期吮指等)、替牙障碍(如下颌乳牙早致下颌前移、上颌乳牙滞留导致上颌前牙萌出不足)及局部因素(如上颌前牙缺失、下颌前牙多生牙等),根据病因和骨骼表现,可分为牙性III类(仅牙齿位置异常,无明显骨骼问题)、骨性III类(上下颌骨发育不协调,常伴面部畸形)和功能性III类(由咬合干扰或下颌前伸习惯导致,下颌可后退至中性关系)。

正畸拔牙并非“首选”,而是当非拔牙治疗无法达到理想效果时的选择,对于安氏三类错颌,拔牙矫治的核心理念是通过减少牙量,为牙齿移动提供空间,从而协调上下颌牙弓长度、解除拥挤、内收下颌前牙或前移上颌后牙,最终改善前牙覆盖、磨牙关系及面部凸度,但需明确,拔牙不能解决所有骨性问题,严重骨性III类患者往往需联合正颌手术。
安氏三类正畸拔牙的适应症
判断是否需要拔牙,需综合分析患者的骨骼类型、牙列拥挤度、面部软组织形态、咬合功能及生长发育潜力,以下是主要适应症:
牙列严重拥挤
若上下颌牙弓总拥挤度超过10mm(尤其下颌牙弓),或单颌拥挤度超过8mm,且无足够间隙通过扩弓、邻面去釉等方法解决时,拔牙是解除拥挤、排齐牙列的必要手段,下颌牙列拥挤导致前牙反颌且无法通过唇向移动上前牙改善时,需拔除下颌前磨牙为牙齿提供移动空间。
上下颌牙量不调(Bolton指数异常)
Bolton指数指上下颌牙量比例(前牙比、全牙比),若上颌牙量相对不足(前牙比<77.2%或全牙比<91.5%),单纯内收下颌前牙会导致覆盖过小或反颌加重;反之,若下颌牙量相对过多,拔除下颌牙齿可协调上下颌牙量,建立正常覆盖关系。

骨性III类倾向的牙性代偿
对于轻度骨性III类(如下颌轻度前突,ANB角<-2°,但无明显面部畸形),或存在严重的下颌前牙代偿性舌倾(为覆盖反颌,下前牙长期舌倾导致牙根吸收风险),拔除下颌前磨牙可通过前牙唇向移动、下颌整体后移,改善骨骼关系,同时减少牙根吸收风险。
面部软组织形态需求
对于凹面型明显的患者(如下唇后缩、颏部前突),若希望改善面部凸度,拔牙后通过内收下颌前牙、后移下颌,可使软组织轮廓更协调,尤其对于成年患者,面部美观需求是拔牙的重要考量因素。
功能性咬合紊乱
伴有关节症状(如颞下颌关节弹响、疼痛)或长期下颌前伸习惯导致的III类错颌,拔牙可解除咬合干扰,通过调整牙齿位置引导下颌后退至中性关系,恢复关节功能。
安氏三类正畸拔牙的常见模式设计
拔牙模式需根据错颌类型、拥挤程度及咬合关系个性化设计,以下为临床常用方案,可通过表格对比:

| 拔牙模式 | 适用情况 | 优势 | 注意事项 |
|---|---|---|---|
| 拔除下颌第一前磨牙(34、44) | 下颌中度-重度拥挤(>8mm)、磨牙近中关系、上颌牙弓基本正常或轻度拥挤 | 解除下颌拥挤,允许下颌后移,改善前牙覆盖和磨牙关系;操作简单,临床应用广泛 | 需加强上颌支抗(如种植钉),避免上颌前牙唇倾;若上颌牙弓狭窄,需配合扩弓 |
| 拔除上颌第一前磨牙(14、24) | 上颌牙弓狭窄、前牙反颌伴上颌前牙代偿性唇倾、下颌牙列基本整齐或轻度拥挤 | 内收上前牙,改善覆盖;解除上颌拥挤,协调上下颌牙弓长度 | 需注意下颌支抗控制,避免下颌磨牙前移;适用于上颌发育不足为主的病例 |
| 拔除上下颌第一前磨牙(14、24、34、44) | 上下颌均中度-重度拥挤、Bolton指数不调、面部凹面型明显 | 全面协调上下颌牙弓,最大限度改善拥挤和覆盖;面部改善效果显著 | 治疗时间长,支抗要求高,需密切监控磨牙关系;适用于复杂III类错颌 |
| 拔除下颌第二前磨牙(35、45) | 下颌第一前磨牙已存在严重龋坏、根尖病变或形态异常,需拔除;或下颌需要大量后移 | 避免拔除健康的第一前磨牙;利用第二前磨牙的形态特点调整咬合 | 第二前磨牙牙根常有分叉,移动难度稍大;需确保拔牙间隙能有效利用 |
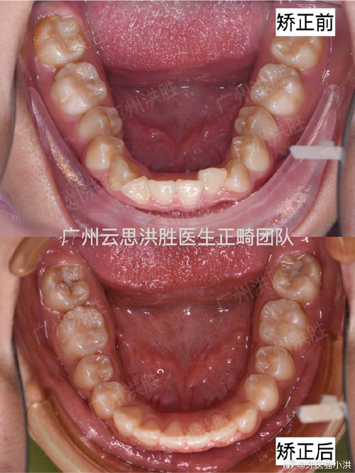
拔牙后的治疗流程与关键环节
拔牙矫治需分阶段精细控制,确保牙齿、颌骨及软组织协调移动:
术前准备与拔牙时机
治疗前需完成X线头影测量(分析骨骼类型、牙根角度、拥挤度)、模型分析(计算Bolton指数、拥挤度)、面部及口腔检查,拔牙时机通常在排齐阶段前(即未开始弓丝入槽时),避免牙齿移动后拔牙导致间隙关闭困难;对于生长发育期患者,可利用生长潜力(如替牙晚期)先进行矫治(如上颌扩弓、功能性矫治器),待拥挤度改善后再拔牙。
排齐整平阶段
拔牙后,先用细圆丝(如0.012-0.016英寸镍钛丝)排齐牙列,解除扭转和拥挤,建立正常 Spee 曲线,此阶段需注意轻力移动,避免牙根吸收;对于下颌前牙舌倾者,可使用摇椅弓整平牙弓,为前牙内收创造条件。
关闭拔牙间隙阶段
这是拔牙矫治的核心,需通过“滑动法”或“关闭曲法”内收前牙、后移磨牙,拔除下颌第一前磨牙后,使用0.019×0.025英寸不锈钢丝配合滑动托槽,在种植钉支抗辅助下,将下颌前牙整体后移,改善覆盖,此阶段需精确控制支抗(如使用微种植钉、腭杆),避免磨牙前移导致间隙关闭不足。
咬合精细调整阶段
间隙关闭后,需调整磨牙关系至中性或中性偏近中(为下颌后退留出空间),精细调整前牙覆颌覆盖、尖窝关系及中线,可使用颌间牵引(如III类牵引,上颌颌间牵引至下颌),引导下颌后退,同时改善面部凸度。
保持阶段
安氏三类错颌复发风险较高,尤其是骨性倾向者,需佩戴保持器(如 Hawley 保持器、透明保持器),下颌保持器需延长佩戴时间(至少2年),夜间终身佩戴;对于成年患者,可考虑永久性保持(如下颌舌侧丝)。
拔牙矫治的风险与应对
复发风险
骨性III类患者若骨骼问题未解决,拔牙后易复发;牙性III类若保持不当(如未纠正不良习惯),也可能复发,应对:治疗中纠正不良习惯,术后保持器佩戴规范,必要时进行长期随访。
支抗丧失
若支抗控制不足,关闭间隙时磨牙前移,导致磨牙关系改善不佳,应对:加强支抗(如种植钉、腭杆),避免使用过大力量移动牙齿。
牙根吸收
正畸移动过程中,牙齿牙根可能出现吸收,尤其下颌前牙舌倾者,应对:治疗中定期拍摄根尖片,控制移动力度和时间,避免过度加力。
相关问答FAQs
Q1:安氏三类正畸拔牙后,脸型一定会改善吗?
A1:是否改善取决于原始错颌类型和矫治效果,牙性III类(仅牙齿反颌)拔牙后,通过下颌后移、前牙内收,凹面型可明显改善;轻度骨性III类(如下颌轻度前突)拔牙后有一定改善空间,但严重骨性III类(如下颌明显前突、ANB角<-4°)需联合正颌手术,单纯拔牙无法显著改变脸型,面部改善还与软组织厚度、肌肉张力等因素相关,需在治疗前与医生充分沟通预期。
Q2:拔牙后牙齿会松动吗?多久能稳定?
A2:正畸治疗中牙齿移动会出现生理性松动,这是正常现象,因为牙齿需在牙槽骨中重新定位,拔牙后关闭间隙时,牙齿松动度会暂时增加,但通过保持器固定后(通常治疗结束后3-6个月),牙槽骨会改建完成,牙齿逐渐稳定,若治疗后仍感觉牙齿松动,需及时复查,排除牙周炎、保持器佩戴不当等问题。
