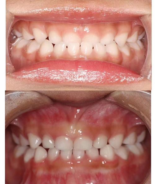
地包天在医学上称为“反颌”,是一种常见的错颌畸形,表现为下前牙咬合在上前牙的外侧,正畸治疗是矫正地包天的核心手段,而“拔上牙”并非所有地包天的常规方案,仅在特定情况下需要,这种选择需结合患者的骨性畸形程度、牙列拥挤情况、咬合关系及面部软组织状态综合判断,目的是通过有限的牙齿移动重建咬合平衡,改善面部美观与功能。
什么情况下地包天正畸需要拔上牙?
地包天的成因复杂,包括遗传、不良习惯(如咬唇、口呼吸)、替牙障碍等,分为牙性、骨性和功能性三类,拔上牙主要适用于以下情况:

上颌前牙严重拥挤或前突
部分患者上颌牙弓空间不足,导致前牙排列拥挤或过度前突,与下前牙形成“锁结”反颌,此时拔除1-2颗上颌前磨牙(通常为第一前磨牙),可释放牙弓长度,为拥挤牙齿提供排齐空间,同时通过内收上前牙,解除反颌并改善“凸面型”倾向。
上下牙量不匹配(上颌牙量相对过多)
通过牙模型测量,若上颌总牙量大于下颌,且反颌伴随前牙区深覆颌或深覆盖,拔除上颌牙齿可减少牙量差异,建立中性咬合关系,上颌牙弓比下颌宽2-4mm时,拔除双侧上颌第一前磨牙可协调上下牙弓宽度。
骨性反颌的代偿性治疗
对于轻度骨性反颌(上颌发育不足、下颌发育过度),且患者拒绝或不符合正颌手术指征时,可通过拔上牙为“代偿治疗”创造条件,拔牙后,通过正畸力将上前牙向舌侧移动、下前牙向唇侧移动,在有限范围内改善反颌,但需严格评估骨性畸形程度,避免过度代偿导致牙根吸收等问题。
功能性反颌伴咬合干扰
因个别牙齿早接触或锁结引起的功能性反颌,若伴随上颌前牙区拥挤,拔除干扰牙所在区域的牙齿(如上颌第二前磨牙),可解除咬合锁结,引导下颌回到正常位置。

拔上牙的选择与治疗流程
拔哪颗上牙?
最常选择拔除上颌第一前磨牙(4号牙),原因包括:
- 位置对称,拔除后对牙弓形态影响小;
- 牙根较短,邻牙移动阻力低;
- 为前牙内收和后牙前移提供均衡空间,利于咬合调整。
少数单侧反颌或牙列不对称患者,可能拔除单侧上颌牙齿。
治疗流程
- 全面检查:通过口腔曲面断层片、头影测量、CBCT评估骨性结构、牙根位置、牙槽骨条件;
- 方案设计:明确拔牙数量、位置,制定排齐、内收、保持的分阶段计划;
- 拔牙与矫治器安装:拔牙后1-2周安装矫治器(如传统托槽、隐形矫治器),通过弓丝、橡皮筋等力量移动牙齿;
- 间隙关闭与精细调整:内收上前牙,调整后牙咬合关系,确保尖窝相对;
- 保持:拆除矫治器后佩戴保持器(如 Hawley 保持器、透明保持器),防止复发。
拔上牙的注意事项
- 支抗控制:拔牙后需防止后牙过度前移,可采用种植支抗钉、腭杆等加强支抗;
- 牙根吸收风险:内收上前牙时力量需轻柔,定期拍摄根尖片监测牙根长度;
- 复发预防:骨性反颌患者需延长保持时间,配合不良习惯纠正(如破除夜磨牙、舌习惯)。
地包天正畸拔上牙的适应症与禁忌症
| 类别 | |
|---|---|
| 适应症 | 上颌前牙严重拥挤(拥挤度>5mm);2. 上下牙量不匹配(上颌牙量多);3. 轻中度骨性反颌需代偿;4. 功能性反颌伴咬合干扰。 |
| 禁忌症 | 严重骨性反颌(需正颌手术);2. 上颌牙量不足;3. 牙周炎未控制;4. 全身性疾病(如未控制的糖尿病、凝血功能障碍)。 |
FAQs
Q1:地包天正畸一定要拔上牙吗?
A1:并非所有地包天都需要拔上牙,牙性反颌、轻度骨性反颌可通过扩弓、推磨牙后移等非拔牙方式矫正;是否拔牙需结合患者年龄、畸形类型、面部软组织状态等综合评估,专业正畸医生会通过头影测量、模型分析制定个性化方案。
Q2:拔上牙后会影响面型吗?
A2:合理拔牙可改善面型:通过内收上前牙减少“凸嘴”,协调上下唇关系;但若过度内收或支抗控制不当,可能导致面中份凹陷,因此需选择经验丰富的正畸医生,严格设计治疗方案,并在治疗中动态调整,确保功能与美观的平衡。

