埋伏牙正畸恢复期是指通过正畸治疗将埋伏牙牵引至正常咬合位置后,牙齿、牙周组织、牙槽骨及周围软组织进入稳定和适应的阶段,这一阶段是决定治疗效果长期稳定性的关键,通常需要6个月至2年不等,具体时间取决于埋伏牙的原始位置、萌出难度、患者年龄及口腔状况,恢复期并非简单的“等待牙齿长好”,而是涉及生物学改建、功能适应和口腔习惯重塑的复杂过程,需要医患双方的密切配合。
术后初期恢复(1-2周):急性期管理
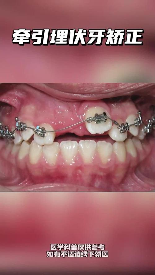
埋伏牙正畸常需结合外科手术(如开窗术、导萌术),术后1-2周属于急性恢复期,核心目标是控制炎症、促进伤口愈合、避免矫正装置移位。

症状管理与药物使用
术后24-48小时内,局部肿胀、疼痛属正常现象,可通过冰敷(每次15分钟,间隔1小时)减轻水肿;若疼痛明显,可在医生指导下服用非甾体抗炎药(如布洛芬),避免使用阿司匹林(可能增加出血风险),术后3天若出现持续性剧痛、肿胀加剧或发热,需警惕感染,应及时复诊,抗生素使用需严格遵循医嘱,通常预防性用药3-5天,不可自行停药或延长疗程。
口腔卫生维护
正畸装置(如托槽、弓丝)和手术创口使得口腔清洁难度增加,若清洁不到位易引发牙龈炎、牙周炎,甚至影响牙齿移动,术后24小时内避免刷牙,可用漱口水(如氯己定含漱液,每日3次,每次30秒)轻轻含漱;24小时后使用正畸专用牙刷(小头、软毛)采用“巴氏刷牙法”,重点清洁牙齿与托槽间隙,避免触碰手术区域;每日配合使用牙缝刷、冲牙器清理邻面和矫正器周围食物残渣,牙线需在医生指导下轻柔使用,避免牵拉伤口。
饮食与生活习惯调整
饮食需遵循“温凉、软质、无渣”原则:术后1周内避免过热(超过40℃)食物,以免刺激伤口或导致出血;避免过硬(坚果、坚果壳)、黏性(口香糖、年糕)、带刺(鱼、排骨)食物,防止矫正装置脱落或刺伤伤口;减少摄入酸性食物(如碳酸饮料、柠檬),以免腐蚀托槽并增加牙齿敏感风险,吸烟会延缓伤口愈合,恢复期需严格戒烟;避免用患侧咀嚼,减少对埋伏牙及周围组织的压力。
复诊与装置检查
术后1周需复诊,检查伤口愈合情况、矫正装置是否稳固,以及埋伏牙牵引方向是否正确,若发现托槽脱落、弓丝变形或牵引钩移位,需及时调整,否则可能影响牙齿移动轨迹,甚至导致治疗失败。

中期恢复(1-6个月):牙齿移动与牙周改建
埋伏牙在牵引力作用下开始缓慢移动,此阶段是牙齿从异位位置调整至正常咬合的关键期,同时牙周膜(连接牙齿与牙槽骨的组织)和牙槽骨需进行改建以适应新位置。
牙齿移动监测与调整
埋伏牙移动速度通常为每月1-2mm,慢于正常萌出牙齿,需定期(4-6周)复诊拍摄X光片(根尖片或曲面断层片),观察牙根位置、牙槽骨吸收情况及牵引装置效果,医生可能根据移动进度调整牵引力(如更换更粗的弓丝、调整橡皮圈牵引方向),若出现牙齿倾斜、扭转或牙根吸收(X光片显示牙根变短),需及时调整方案,避免损伤牙髓。
口腔卫生进阶护理
随着牙齿移动,牙龈形态可能发生变化,易出现牙龈增生或“黑三角”(牙间缝隙),需加强针对性护理:使用含氟牙膏(如氟化钠牙膏)预防龋齿,每日至少刷牙2次,每次3分钟;配合使用正畸专用冲牙器(压力调至中低档)清洁牙龈沟,减少牙菌斑堆积;若牙龈增生明显,医生可能建议进行龈上洁治(洗牙)或牙龈切除术,避免影响美观和口腔健康。
饮食与功能适应
牙齿移动期间可能出现轻微松动、酸胀感,属正常现象,避免用牙齿啃咬硬物(如开酒瓶、咬核桃);可适当进食富含钙质(牛奶、豆制品)和维生素D(深海鱼、蛋黄)的食物,促进牙槽骨改建;随着埋伏牙逐渐萌出,可逐步过渡到正常饮食,但仍需避免咀嚼过硬食物,防止牙根损伤。
心理与习惯调整
部分患者因牙齿移动缓慢、外观变化(如“龅牙”阶段)产生焦虑,需与医生保持沟通,了解治疗进度;同时纠正不良口腔习惯(如咬唇、吐舌、偏侧咀嚼),这些习惯会导致牙齿移动异常,甚至影响咬合功能。
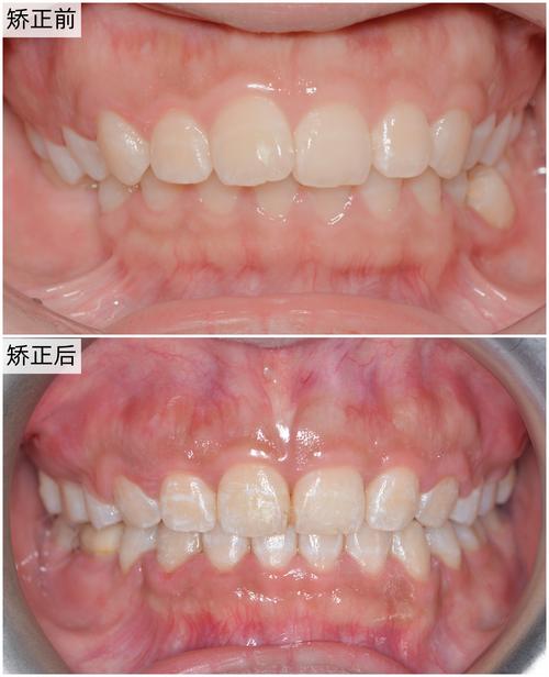
长期恢复(6个月以上):稳定与功能重建
当埋伏牙完全萌出、与邻牙接触关系良好、咬合基本稳定后,进入长期恢复期,核心目标是维持治疗效果,实现功能与美观的长期稳定。
保持器佩戴:防止复发
正畸治疗后牙齿有“回归原位”的倾向,保持器是防止复发的关键,通常分为三个阶段:
- 初期(6-12个月):除进食、刷牙外需全天佩戴保持器(透明压膜保持器或 Hawley 保持器),避免牙齿因肌肉力量或咬合压力移位;
- 中期(1-2年):调整为夜间佩戴,巩固牙齿位置;
- 长期:部分患者(如成年患者、埋伏牙移位严重者)需终身夜间佩戴,定期(每3-6个月)检查保持器松紧度,若出现变形或磨损需及时更换。
咬合功能训练
埋伏牙长期异位可能导致咀嚼肌群力量不均、颞下颌关节紊乱(如张口疼痛、弹响),需进行功能训练:每日进行缓慢、最大幅度的张闭口运动(每次10分钟,每日3次),避免突然张口或过大咬合;可使用咬合纸(医生提供)检查咬合接触点,若有早接触点需医生调磨,避免个别牙齿受力过大而移位。
定期复查与终身维护
即使治疗结束,仍需每6个月复查一次,内容包括:牙齿稳定性检查(有无松动、移位)、牙周健康状况(牙龈出血、牙槽骨高度)、咬合功能评估及口腔卫生指导,坚持每年至少一次洗牙,预防牙周病,为牙齿长期稳定提供健康环境。
异常情况应对
长期恢复期若出现以下情况需及时就医:
- 牙齿疼痛:可能为牙髓炎或根尖周炎,需进行根管治疗;
- 牙龈反复出血:提示牙周炎,需进行龈下刮治等牙周治疗;
- 咬合不适:可能为保持器变形或牙齿移位,需调整或重新制作保持器。
不同阶段恢复重点对比表
| 恢复阶段 | 时间范围 | 核心目标 | 护理重点 |
|---|---|---|---|
| 术后初期 | 1-2周 | 控制炎症、促进伤口愈合 | 冰敷消肿、口腔卫生维护、温软饮食、避免碰撞伤口 |
| 中期 | 1-6个月 | 牙齿移动与牙周改建 | 定期X光监测、加强牙龈清洁、调整不良习惯、补充钙质 |
| 长期 | 6个月以上 | 维持稳定、重建功能 | 规律佩戴保持器、咬合功能训练、定期复查、终身口腔维护 |
相关问答FAQs
Q1:埋伏牙正畸后恢复期一般需要多久?如何判断恢复完成?
A1:埋伏牙正畸恢复期因人而异,通常需要6个月至2年,判断恢复完成需满足以下标准:①埋伏牙完全萌出,与邻牙接触紧密,无倾斜或扭转;②X光片显示牙根位置正常,牙槽骨无吸收;③咬合关系稳定,咀嚼功能无异常;④牙龈形态健康,无红肿或增生;⑤保持器佩戴期间牙齿无移位,具体恢复时间需医生通过临床检查和影像学评估确定。
Q2:恢复期可以正常刷牙吗?使用电动牙刷会不会影响牙齿移动?
A2:恢复期必须坚持刷牙,且需比正畸前更注重清洁,但需注意方法和工具选择,术后1周内建议使用软毛手动牙刷轻柔刷牙,避免触碰伤口;1周后可使用正畸专用电动牙刷(如声波震动型),其高频震动能更有效清除托槽周围菌斑,但需选择“敏感模式”,避免用力过猛导致牙齿松动或托槽脱落,电动牙刷不会影响牙齿移动,反而通过高效清洁可减少牙周炎症,为牙齿移动提供健康环境,但需在医生指导下使用。
