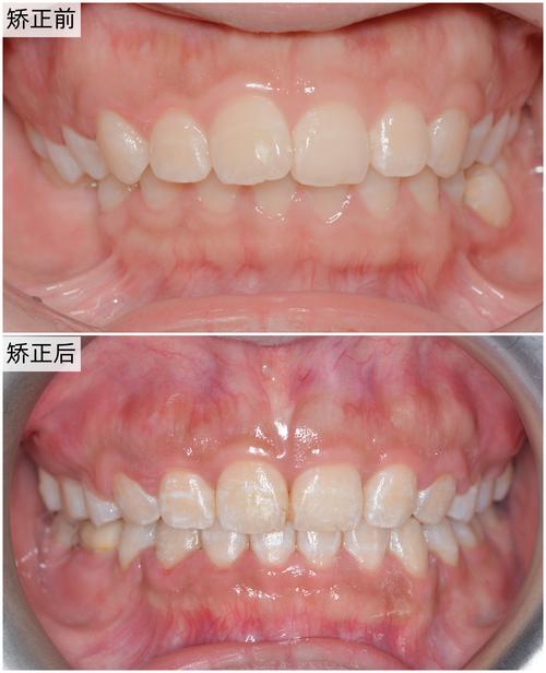
正畸两颗牙齿反合,在口腔医学中被称为“个别牙齿反颌”,是指上下颌牙齿在咬合时,出现个别牙齿的咬合关系异常,具体表现为上颌前牙舌向倾斜或下颌前牙唇向倾斜,导致个别下前牙位于上前牙的唇侧,或个别上前牙位于下前牙的舌侧,这种咬合异常虽然涉及的牙齿数量较少,但可能对口腔功能、美观及长期健康产生潜在影响,需要通过正畸治疗进行干预。
两颗牙齿反合的常见原因
两颗牙齿反合的形成并非单一因素导致,通常与先天遗传、后天习惯及局部环境等多方面因素相关,以下是具体原因分类及临床特点:

| 因素类别 | 具体原因 | 临床特点 |
|---|---|---|
| 先天因素 | 遗传因素(父母有反颌史) | 多表现为家族性聚集,可能伴有颌骨发育异常,但两颗牙齿反合可能仅为局部表现。 |
| 上颌骨发育不足或下颌骨发育过度(局部) | 可能仅影响个别牙齿的萌出空间,导致反合,而非全颌骨发育异常。 | |
| 牙齿萌出位置异常(乳牙滞留、恒牙胚位置偏移) | 乳牙未按时脱落,占据恒牙萌出空间,导致恒牙萌出方向异常,形成局部反合。 | |
| 后天因素 | 不良口腔习惯(咬上唇、咬物、吐舌) | 长期咬上唇可能导致上前牙舌倾;咬物(如咬笔、咬指甲)可能使下前牙唇向移动。 |
| 替牙期障碍(乳牙早失、邻牙移位) | 乳牙早失后邻牙向缺隙移动,导致恒牙萌出空间不足,反合;或乳牙滞留阻碍恒牙萌出。 | |
| 乳牙龋坏或早失后未及时干预 | 乳牙因龋坏过早脱落,邻牙倾斜,恒牙萌出时方向偏离,形成局部反合。 |
两颗牙齿反合的危害
尽管两颗牙齿反合涉及的牙齿数量少,但其危害可能随时间推移逐渐显现,主要表现在以下几个方面:
功能影响
个别牙齿反合会导致咬合接触面积减小,咀嚼效率降低,长期单侧咀嚼或咬合异常,可能引发颞下颌关节紊乱(TMD),表现为关节弹响、疼痛、张口受限等问题,反合牙齿可能与对颌牙齿形成早接触点,导致咬合创伤,引起牙齿敏感、松动甚至牙周组织损伤。
美观与心理影响
前牙区是笑容的核心区域,两颗牙齿反合(尤其是下前牙唇向倾斜)可能导致“地包天”的局部表现,影响面部美观,部分患者可能因牙齿外观问题产生自卑心理,不敢大笑或与人交流,甚至影响社交和心理健康。
邻牙移位与咬合紊乱
反合牙齿可能挤压邻牙,导致牙齿排列拥挤、中线偏斜等问题,下前牙反合可能推动下颌牙弓向唇侧扩展,进而影响上颌牙弓的稳定性,引发全口咬合紊乱,长期咬合异常还可能导致牙齿磨耗加剧,牙本质暴露。

发育风险(儿童及青少年)
对于处于生长发育期的患者,两颗牙齿反合若不及时干预,可能影响颌骨的正常发育,下前牙反合可能刺激下颌骨过度向前生长,加重反合程度;上前牙反合则可能限制上颌骨发育,形成“凹面型”面容。
两颗牙齿反合的治疗方法
两颗牙齿反合的治疗需根据患者的年龄、反合类型(上前牙反合或下前牙反合)、病因及颌骨发育情况制定个性化方案,以下是不同年龄段的治疗方法及特点:
| 年龄段 | 常用矫治器 | 治疗周期 | 注意事项 |
|---|---|---|---|
| 替牙期儿童(6-12岁) | 上颌活动矫治器(附唇挡、舌簧) 下颌颌垫式矫治器 功能矫治器(如FRⅢ型) |
6-12个月 | 利用生长发育潜力,通过矫治器引导牙齿向正常位置萌出;需纠正不良习惯(如咬唇、吐舌)。 |
| 恒牙期青少年(12岁以上) | 固定矫治器(方丝弓/直丝弓矫治器) 配合颌间牵引(III类牵引) |
12-18个月 | 通过托槽和弓丝精确移动牙齿;若伴有轻度颌骨异常,可联合功能矫治器调整颌骨关系。 |
| 成年人 | 固定矫治器或隐形矫治器(如隐形牙套) 严重者需联合正畸-正颌治疗 |
18-24个月(正畸正颌更长) | 成年人骨改建速度慢,治疗周期较长;需评估牙周健康状况,若有牙周炎需先控制炎症再矫治。 |
具体治疗步骤
- 口腔检查与诊断:通过口腔检查、X光片(曲面断层片、头颅侧位片)、模型分析等明确反合类型、病因及牙齿位置关系。
- 方案设计:根据诊断结果选择矫治器,确定拔牙与否(两颗牙齿反合通常无需拔牙,仅通过移动牙齿调整咬合)。
- 矫治器佩戴与调整:替牙期儿童可佩戴活动矫治器,每4-6周复诊调整;恒牙期患者需粘接托槽,通过弓丝换序逐步移动牙齿,每4-6周复诊加力。
- 保持阶段:拆除矫治器后需佩戴保持器(如透明保持器、 Hawley保持器),至少保持2年,防止复发。
治疗过程中的注意事项
- 口腔卫生维护:戴固定矫治器时,牙齿清洁难度增加,需使用正畸专用牙刷、牙线、冲牙器,避免食物残渣堆积引发龋齿或牙周炎。
- 饮食控制:避免过硬(如坚果、骨头)、粘性(如口香糖、奶糖)食物,防止矫治器脱落或损坏。
- 定期复诊:严格按照医生时间复诊,若出现矫治器松动、疼痛加剧等情况,需及时就医处理。
- 不良习惯纠正:若反合由咬唇、吐舌等习惯导致,治疗期间及完成后需彻底纠正习惯,否则易复发。
相关问答FAQs
Q1:两颗牙齿反合一定要矫正吗?如果不矫正会有什么后果?
A1:即使只有两颗牙齿反合,也建议及时矫正,短期看,反合可能影响美观和咀嚼功能;长期看,可能导致邻牙移位、咬合紊乱、颞下颌关节问题,甚至加重颌骨发育异常(尤其是儿童),早期干预可利用生长发育潜力简化治疗,降低并发症风险。
Q2:矫正两颗牙齿反合过程中,牙齿疼痛正常吗?如何缓解?
A2:矫正初期及每次加力后,牙齿出现轻微酸胀、疼痛是正常现象,是牙齿移动过程中的生理反应,通常持续3-5天可缓解,可通过以下方法改善:① 饮食选择温凉、软食,避免咀嚼过硬食物;② 用冰袋冷敷面部对应区域(每次15分钟,间隔1小时);③ 遵医嘱服用非处方止痛药(如布洛芬),若疼痛剧烈或持续加重,需及时复诊检查矫治力是否过大。
