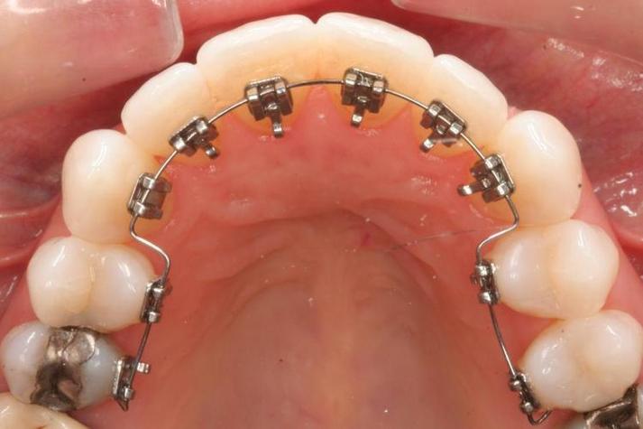
舌侧正畸作为一种将托槽和弓丝粘贴在牙齿舌侧面(靠近舌头的一侧)的正畸技术,因其在矫正牙齿的同时兼顾美观性,成为越来越多成人和追求美观的青少年的选择,不少患者在选择舌侧正畸前会有一个共同的疑问:舌侧正畸能说话吗?舌侧正畸确实可能对发音产生暂时性影响,但这种影响通常是可逆的,且通过科学适应和训练可逐渐改善,最终不会对日常说话造成永久障碍。
舌侧正畸对说话的影响:分阶段解析
舌侧正畸对发音的影响并非一成不变,而是随着矫正进程和舌头的适应能力变化,可分为三个阶段,每个阶段的影响程度和持续时间因人而异。

初期阶段(安装后1-2周):发音模糊,主要影响齿音和舌齿音
舌侧托槽作为牙齿舌侧面新增的“异物”,会直接改变舌头与牙齿的接触关系,尤其是发音时需要舌尖或舌面与牙齿内侧紧密配合的音节,如“z、c、s、d、t、l、n”等齿音和舌齿音,可能会出现模糊、不清晰的情况,部分患者会感觉“大舌头”“说话漏风”,这是因为舌头尚未适应托槽的存在,在发音过程中会不自觉地与托槽碰撞或摩擦,导致气流受阻或舌位偏移。
这一阶段的不适感最明显,但持续时间较短,对于语言表达能力较强、需要频繁公开说话的人群(如教师、主播、销售),可能会对工作产生一定干扰,但通常属于暂时现象。
中期阶段(安装后2周-1个月):逐渐适应,复杂发音仍需专注
随着舌头开始接触托槽,大脑和口腔肌肉会逐渐建立新的“记忆”,患者会下意识地调整发音时的舌位、气流角度和肌肉力度,发“z”音时,舌尖可能会略微上抬或后缩,避开托槽的阻碍;发“l”音时,舌侧与牙齿的接触方式也会发生细微变化。
这一阶段,简单的日常对话(如“你好”“吃饭”“谢谢”)基本可以恢复正常发音,但快速说话、朗读长句子或发音复杂的词语(如“知识”“道德”“三思”)时,仍可能偶尔出现卡顿或模糊,部分患者会因为担心发音不准而说话变慢,但这其实是主动适应的表现,有助于进一步巩固发音习惯。

后期阶段(安装1个月后):基本适应,发音恢复正常
经过1-2个月的适应,舌头已完全熟悉托槽的位置和形态,口腔肌肉形成了新的协调模式,绝大多数患者的发音可恢复到正畸前的水平,与他人的交流无明显差异,甚至部分患者因舌肌在矫正过程中得到了更充分的锻炼,发音清晰度较之前还有所提升。
需要注意的是,后期阶段的恢复依赖于个体差异:若患者舌体灵活度高、口腔敏感度低,适应速度可能更快(2-3周即可恢复);反之,若舌体较僵硬、对异物感敏感,可能需要1-2个月的时间。
影响发音的关键因素
舌侧正畸对发音的影响程度并非绝对,而是受到多种因素的综合作用,了解这些因素有助于患者更好地预判和适应。
托槽的位置和大小
托槽粘贴在牙齿的舌侧面,不同牙齿的托槽对发音的影响不同:

- 前牙区托槽(上下门牙、尖牙):靠近舌尖活动区域,对发音的影响最直接,尤其是齿音和舌齿音;
- 后牙区托槽(前磨牙、磨牙):距离舌头活动中心较远,对发音的影响较小,主要影响需要舌后部参与的音节(如“g、k、h”),但较为罕见。
托槽的体积和边缘处理也会影响异物感:若托槽过大或边缘粗糙,舌头在发音时更容易产生抵触,延长适应时间。
个体差异:舌体灵活度和口腔敏感度
- 舌体灵活度:舌部肌肉发达、活动范围大的人,能更快调整舌位以适应托槽,适应期较短;反之,舌体僵硬、活动受限者适应较慢。
- 口腔敏感度:对异物敏感的人,初期可能会因托槽的存在产生恶心、抵触感,进而影响说话;敏感度低者则更容易适应。
是否主动进行发音训练
主动练习是缩短适应期的关键,若患者在安装托槽后刻意进行发音训练(如绕口令、慢速朗读),舌头能更快建立新的肌肉记忆,减少发音障碍;反之,若因担心发音不准而减少说话,反而会延长适应过程。
矫正方案的设计
不同的矫正方案(如是否使用片段弓、是否需要拔牙)会影响托槽的数量和位置,进而对发音产生不同程度的影响,若矫正方案中需要在前牙区增加更多附件(如牵引钩),可能会加大舌头的异物感,延长适应期。
如何缓解舌侧正畸初期的发音障碍?
针对初期可能出现的发音问题,患者可通过以下方法主动缓解,加速适应过程:
针对性练习:重点攻克“困难音节”
选择包含“z、c、s、d、t、l、n”等易受影响音节的绕口令或词语,每天练习10-15分钟。
- “四是四,十是十,十四是十四,四十是四十”(练习“s”“sh”音);
- “老龙恼怒闹老农,老农恼怒闹老龙”(练习“l”“n”音);
- “字纸、狮子、寺子”等词语(练习“z”“s”音)。
练习时注意放慢语速,感受舌尖与托槽的接触位置,逐渐调整舌位,找到避开托槽的发音方式。
调整说话习惯:放慢语速,减少紧张情绪
初期说话时,刻意放慢语速,避免急促或含糊不清的表达,紧张情绪会导致舌头肌肉僵硬,加重发音障碍,可通过深呼吸、放松肩颈肌肉等方式缓解,日常交流中,若对方表示“没听清”,可自然地重复一遍,不必因尴尬而减少说话。
保持口腔清洁,避免托槽刺激
若托槽边缘粘接剂残留或托槽脱落,可能划伤舌头或加剧异物感,进而影响发音,需严格按照医生指导使用正畸专用牙刷、牙线等工具清洁口腔,定期复诊检查托槽状态,确保其位置稳定、边缘光滑。
必要时寻求医生帮助
若安装托槽2周后,发音障碍仍未缓解,或出现持续疼痛、恶心等不适,应及时联系医生,医生可能会检查托槽位置是否合适,对尖锐边缘进行打磨,或在必要时调整矫正方案,减少对发音的影响。
舌侧正畸不会永久影响说话能力,初期因托槽导致的发音模糊、大舌头等不适,是舌头适应新结构的正常过程,多数患者在1-2个月内可恢复清晰发音,其短暂的影响与美观优势相比,对追求“隐形矫正”的患者而言仍是值得的选择,关键在于保持耐心,主动进行发音训练,并配合医生调整,最终在实现牙齿整齐的同时,不影响正常的语言交流。
相关问答FAQs
Q1:舌侧正畸初期说话“大舌头”,会影响工作和社交吗?
A1:初期“大舌头”主要表现为部分齿音发音模糊,但不会导致完全无法说话,日常交流基本不受影响,建议在重要场合(如会议、演讲)前适当增加练习量,或提前沟通自己正在适应正畸,多数人会理解,通常1-2周后影响会显著减轻,无需过度担忧。
Q2:舌侧正畸和唇侧正畸相比,哪个对发音的影响更大?
A2:舌侧正畸初期对发音的影响可能略大于唇侧正畸,因为唇侧托槽位于牙齿外侧,舌头在发音时主要与牙齿内侧接触,初期异物感较小;而舌侧托槽直接接触舌头,需要舌头重新适应,但两者均属于暂时性影响,适应后发音均可恢复正常,选择时可根据美观需求和个人敏感度决定。
