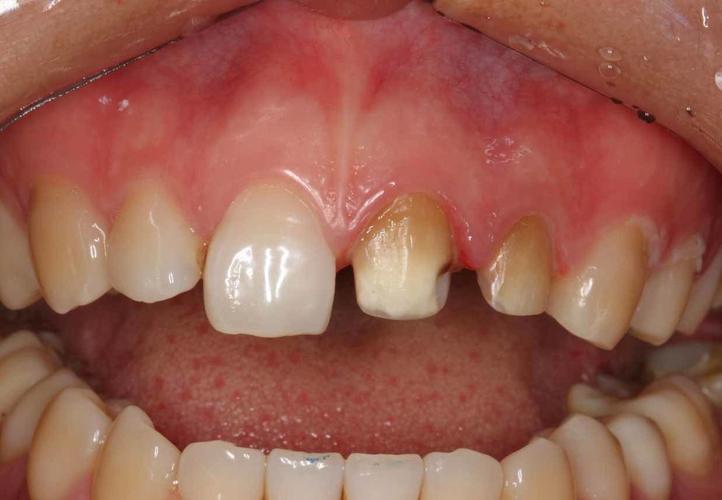
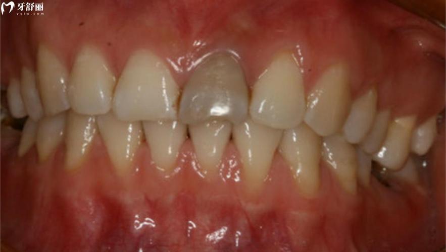
死髓牙是指因龋坏、外伤、牙周病等原因导致牙髓(包含神经、血管、淋巴管等组织)坏死,经过根管治疗后失去血液供应和代谢活力的牙齿,由于缺乏营养供给,死髓牙的牙体组织会逐渐脱水、变脆,强度下降,这也是大众对“死髓牙能否正畸”的核心担忧——正畸治疗需要牙齿在持续、轻柔的力作用下移动,变脆的牙齿会不会在移动中折裂?或者根管治疗后牙齿本身就不具备移动能力?死髓牙并非绝对的正畸禁忌,其能否进行正畸治疗,关键在于严格的术前评估、规范的治疗操作以及多学科协作的综合管理。
死髓牙正畸的可行性:核心结论与前提条件
从生理机制上看,牙齿移动的核心动力是牙周膜中的成纤维细胞在机械力作用下发生改建,牵引牙槽骨吸收、骨沉积,这一过程依赖于牙周膜的健康,而非牙髓的活力,牙髓主要负责营养牙体组织、形成牙本质以及感受外界刺激,但在根管治疗后,牙髓功能丧失,但牙周膜仍可正常响应正畸力。死髓牙具备正畸移动的生物学基础,并非“不能正畸”,而是需要满足特定前提条件,并规避潜在风险。

死髓牙正畸的三大前提条件
-
根管治疗质量必须达标
根管治疗是死髓牙保存的基础,其质量直接影响正畸安全性,理想的根管治疗需满足:根管系统预备彻底(无残留感染物质)、根充材料致密封闭(无微渗漏)、根尖孔封闭良好(无根尖周炎症),若根管治疗存在遗漏根管、根充超填/欠填、根尖周阴影未消除等问题,正畸过程中牙齿受力可能刺激根尖周组织,导致炎症加重、根管再感染,甚至引发牙根吸收,正畸前需拍摄根尖片、曲面断层片,必要时进行CBCT检查,确认根管治疗完善度;若存在根尖周炎症,需先完善根管治疗或根尖手术,待炎症消退后再开始正畸。 -
牙体组织保留量需充足
死髓牙因失去牙髓的营养,牙本质会发生“硬化性变”,脆性增加,且长期咀嚼可能导致牙体隐裂或缺损,若剩余牙体组织过少(如大面积龋坏、缺损未修复),正畸过程中牙齿受力时,极易发生牙冠折裂或牙根折断,正畸前需评估牙体缺损情况:对于缺损范围较大的死髓牙,应先进行桩核修复(如纤维桩、金属桩),恢复牙体外形和抗力;若牙体组织仅剩薄壁弱尖,需先进行牙体预备,制作临时冠保护,避免移动中折裂。 -
牙周健康状况需稳定
牙周是牙齿移动的“土壤”,死髓牙因缺乏神经血管,对炎症的抵抗力较弱,若存在牙周炎(如牙龈红肿、牙周袋深≥5mm、牙槽骨吸收),正畸过程中机械力可能加剧牙周破坏,导致牙齿松动甚至脱落,正畸前需进行系统牙周治疗(如洁治、刮治、根面平整),控制菌斑和炎症,确保牙周探诊出血指数(BI)≤1、牙周袋深度≤3mm;正畸期间需加强口腔卫生维护,每3个月进行一次牙周复查,预防牙周问题复发。
死髓牙正畸的潜在风险及应对策略
尽管死髓牙可正畸,但相较于活髓牙,其风险更高,需提前识别并制定应对方案。

牙体折裂(最常见风险)
风险表现:正畸过程中或去除矫治器后,死髓牙出现牙冠纵裂、牙根折裂,表现为咬合痛、牙龈肿胀,严重时需拔除患牙。
应对策略:
- 牙体强化:正畸前对缺损牙体进行桩核+全冠修复(如全瓷冠、金属烤瓷冠),覆盖牙体表面,分散咬合力,避免应力集中;对于前牙死髓牙,若牙体缺损较小,可先进行树脂美学修复,移动后再更换全冠。
- 轻柔加力:采用“低摩擦轻力矫治系统”(如自锁托槽、镍钛丝),避免使用过大的正畸力(一般每颗牙施加50-100g的力),减少牙体承受的机械刺激。
- 动态监测:正畸每3-6个月拍摄根尖片,观察牙体有无裂纹;若出现咬合不适,及时进行牙髓活力测试(尽管牙髓已坏死,但可排除根尖周炎导致的疼痛)、牙片CT检查,早期发现隐裂。
牙根吸收
风险表现:正畸过程中牙根尖端或侧方发生吸收,表现为牙根变短,严重时影响牙齿稳定性。
应对策略:
- 术前评估:通过CBCT测量牙根长度,对于已有牙根吸收(如根尖圆钝、根管内吸收)的死髓牙,需谨慎选择正畸;若吸收量超过根长1/3,可能需放弃正畸或调整治疗方案。
- 控制加力时间:避免长时间、持续的力作用,采用间歇性加力(每次加力后间隔4-6周复查),给牙周膜和牙根恢复时间。
- 药物辅助:对于高风险病例(如牙根弯曲、既往有根吸收史),可在正畸局部使用双膦酸盐类药物(如阿仑膦酸钠),抑制破骨细胞活性,减少牙根吸收。
根尖周炎症复发
风险表现:正畸中牙齿松动、根尖区牙龈反复肿胀、咬合痛,X线显示根尖周骨质破坏。
应对策略:
- 根管再治疗:若根尖周炎症由根管治疗不完善导致(如根管遗漏、根充不密),需及时拆除原充填物,重新进行根管治疗,待炎症消退后再继续正畸。
- 调整加力方向:避免对患牙施加过大的侧向力或扭转力,减少根尖周组织的机械刺激;对于后牙死髓牙,可先移动邻牙,避免直接施加垂直向力。
不同类型死髓牙的正畸处理差异
前牙死髓牙(切牙、尖牙)
前牙主要功能为美观和切割,承受咬合力较小,正畸风险相对较低,常见情况为外伤导致的冠折行根管治疗,或龋坏导致的牙髓坏死,处理要点:

- 若牙体缺损≤1/3,可先进行树脂修复,正畸移动后更换全冠;
- 若牙体缺损>1/3,正畸前先完成桩核+临时冠,移动后更换全瓷冠(兼顾美观与强度);
- 对于扭转、拥挤的前牙死髓牙,可采用片段弓或微种植体支抗,精准控制移动方向,避免牙根损伤。
后牙死髓牙(前磨牙、磨牙)
后牙承担主要咀嚼功能,受力大,牙根形态复杂(如上颌磨牙三根、下颌磨牙分根),正畸风险较高,处理要点:
- 优先完善根管治疗和桩核修复,恢复牙体抗力;
- 正畸中避免使用颌间牵引(可能增加后牙垂直向力),采用片段弓或微种植体移动后牙;
- 移动后需及时进行全冠修复,防止牙体折裂,同时恢复咬合功能。
多颗死髓牙正畸
若口腔内存在多颗死髓牙(如因长期龋坏、外伤导致),需综合评估:
- 优先处理根尖周炎症明显、牙体缺损严重的牙齿,先完成根管治疗和修复;
- 正畸中采用分阶段移动,先移动健康牙或轻度问题牙,再处理死髓牙,避免多颗牙同时受力增加风险;
- 全局设计咬合方案,确保正畸后死髓牙不作为主要受力牙,减少远期折裂风险。
死髓牙正畸的临床操作关键点
- 矫治器选择:优先选择自锁托槽(摩擦力小,加力轻)或隐形矫治器(力量均匀,可精准控制牙齿移动),避免传统方丝弓托槽的结扎丝对牙体造成刮伤。
- 加力时机:根管治疗后至少等待3个月,待根尖周骨质修复、牙体强度稳定后再开始正畸;对于桩核修复的牙齿,需等待桩核粘固剂完全固化(通常1周)。
- 口腔卫生维护:死髓牙牙龈退缩风险较高,正畸中需使用正畸专用牙刷、水线、冲牙器,清洁托槽周围食物残渣;定期进行牙周上药(如米诺环霉素凝胶),预防牙龈炎和牙周炎。
- 正畸后修复:去除矫治器后,死髓牙需及时进行全冠保护,避免因牙体脆性增加导致折裂;对于后牙死髓牙,建议选择全金属冠或全瓷冠(强度高于烤瓷冠)。
死髓牙并非正畸治疗的“禁区”,其能否成功正畸,取决于“根管治疗质量、牙体组织保留量、牙周健康状况”三大前提,以及正畸过程中的精细化管理(轻力加力、动态监测、强化修复),通过多学科协作(正畸科、牙体牙髓科、修复科、牙周科)的综合治疗,死髓牙可实现安全有效的移动,最终达到功能与美观的统一,但需明确,死髓牙正畸对医生技术和患者配合度要求更高,治疗周期可能较活髓牙延长,患者需有充分的心理预期和依从性。
相关问答FAQs
问题1:死髓牙正畸后需要戴保持器吗?戴多久?
解答:需要,正畸后牙齿位置稳定需要依赖牙周膜的改建和牙槽骨的重建,而死髓牙因缺乏牙髓营养,牙周改建能力可能稍弱,牙齿复发的风险更高,建议正畸结束后全天佩戴保持器(如透明保持器、 Hawley保持器)至少1年,期间每3个月复查一次;1年后改为夜间佩戴,至少持续2-3年,直至牙齿位置稳定,需每年拍摄一次牙片,保持器若有损坏或变形需及时更换,避免复发。
问题2:死髓牙正畸后能用多久?会不会比正常牙更容易坏?
解答:死髓牙正畸后的使用寿命与正常牙差异不大,关键在于后续维护,若根管治疗完善、牙冠保护良好、口腔卫生到位,死髓牙可正常使用10-20年甚至更久,但因牙体脆性增加,需避免咬硬物(如坚果、螃蟹壳),防止牙冠或牙根折裂;每年需进行一次口腔检查(包括牙片、牙周检查),及时发现并处理根尖周炎症、牙冠边缘渗漏等问题,相较于正常牙,死髓牙更易发生继发龋和牙冠折裂,因此维护要求更高,但并非“更容易坏”,而是需更精细的长期管理。
