口腔正畸前拍摄照片是整个矫正过程中不可或缺的关键环节,其不仅是医生诊断分析、方案设计的核心依据,也是治疗过程中监控疗效、结束后总结效果的重要参考,这些看似简单的“拍照”实则是连接患者需求与医学专业实践的桥梁,通过多角度、全方位的影像记录,为精准正畸奠定坚实基础。
拍摄口腔正畸前照片的核心目的
正畸治疗的本质是通过牙齿移动、颌骨改建及软组织调整,实现功能与美观的协调,而正畸前的照片拍摄,首要目的是实现“可视化诊断”,医生需通过照片观察患者的面部软组织轮廓(如面部对称性、凸度、比例关系)、口内硬组织情况(牙齿排列、咬合关系、牙根位置)以及口腔功能状态(如颞下颌关节活动、唇部张力),从而明确错颌畸形的类型、成因及严重程度,通过正面照可判断面部中线是否与牙齿中线一致,侧面照可评估“凸面型”“凹面型”或“直面型”,为制定拔牙方案、选择矫正器类型提供直接依据,照片是医患沟通的“共同语言”,患者往往难以理解X光片或专业术语,而直观的照片能让其清晰看到自身问题(如牙列拥挤、深覆颌),理解治疗目标(如改善侧貌、排齐牙齿),增强治疗依从性,治疗前照片还具有重要的法律与学术价值,可作为医疗纠纷的证据支持,也为后续学术研究或病例总结提供完整资料。

正畸前照片的类型及拍摄规范
为全面覆盖诊断需求,正畸前照片通常分为面部照片与口内照片两大类,每类又包含多个角度,拍摄需严格遵循规范以确保准确性。
面部照片
面部照片主要记录软组织形态,拍摄时需使用头部定位仪固定,确保眶耳平面(眼外角与耳屏上缘的连线)与地面平行,避免头部倾斜导致的角度失真,常见类型包括:
- 面部正面照:患者自然放松,双眼平视,唇部自然闭合,牙齿轻触,不刻意露笑或皱眉,重点观察面部对称性(如两侧眼、鼻、唇是否对称)、中线位置(面部中线与牙齿中线是否一致)、比例关系(如面下1/3高度是否协调)。
- 面部侧面照:分为左侧位与右侧位,头部固定后,患者自然放松,唇部闭合,重点评估侧貌凸度(鼻唇颏关系是否协调)、下颌平面角(面部垂直生长型)、颏部形态(颏唇沟深度)。
- 面部45度侧面照:介于正面与侧面之间,头部微侧转,显露鼻唇颏轮廓,用于观察微笑曲线、鼻翼基底形态等细节,对改善微笑美观性尤为重要。
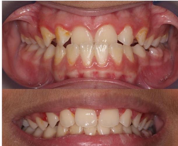
口内照片
口内照片需使用口腔专用相机,配合环形闪光灯避免阴影,拉钩拉开口角,棉球吸唾液保持视野干燥,常见类型包括:
- 口内正面照:患者张口至最大,上下牙列完全暴露,咬合平面与地面平行,重点观察牙齿排列(拥挤、间隙、扭转)、覆覆盖关系(上前牙覆盖下前牙的距离)、牙龈形态(是否有炎症、增生)。
- 口内右侧/左侧照:患者头部向对侧偏转,牙齿颊侧完全可见,用于检查后牙咬合关系(如锁颌、反颌)、颊管位置、龋坏或修复体情况。
- 上颌咬合照/下颌咬合照:分别拍摄上颌牙列的腭侧与下颌牙列的舌侧,患者上抬或下颌放松,观察牙弓形态、腭穹窿高度、后牙牙尖交错关系。
- 微笑照:患者自然微笑,唇部自然显露,评估微笑时牙龈暴露量(露龈笑)、牙齿对称性、唇部张力与牙齿排列的协调性。
为更直观展示,以下表格总结了正畸前常见照片类型及用途:

| 照片类型 | 拍摄部位/体位 | 主要用途 |
|---|---|---|
| 面部正面照 | 面部正面,自然闭合唇 | 分析面部对称性、中线协调性、面下1/3比例 |
| 面部侧面照 | 左侧/右侧,眶耳平面平行地面 | 评估侧貌凸度、下颌平面角、颏唇沟深度 |
| 面部45度侧面照 | 左45度/右45度,微侧转头部 | 观察鼻唇颏协调性、微笑曲线 |
| 口内正面照 | 上下牙列,咬合平面平行地面 | 显示牙齿拥挤度、扭转、覆覆盖关系 |
| 口内右侧/左侧照 | 头部偏转,颊侧牙齿暴露 | 检查后牙咬合、颊管位置、龋坏或修复体 |
| 上颌/下颌咬合照 | 腭侧/舌侧牙列 | 观察牙弓形态、腭穹窿高度、后牙牙尖交错关系 |
| 微笑照 | 自然微笑,唇部自然显露 | 评估露龈笑程度、牙齿对称性、微笑美观性 |
拍摄流程与质量控制
规范的拍摄流程是确保照片准确性的前提,患者需提前做好准备工作:拍摄前24小时避免饮用深色饮料(如咖啡、茶),以免色素影响牙齿颜色;拍摄前清洁口腔,去除食物残渣,必要时用牙线清洁牙缝;拍摄时取下活动义齿、正畸附件(如有旧矫正器)及面部饰品,医生操作时,需先调整相机参数(焦距、光圈、曝光),确保照片清晰无模糊;拍摄顺序遵循“先面部后口内,先整体后局部”,避免遗漏关键角度;每张照片需标注患者信息、拍摄日期及角度,便于后续对比分析,若某张照片因患者移动或光线问题不清晰,需立即重拍,尤其是侧貌照、咬合照等核心照片,任何细节偏差都可能影响诊断结果。
照片在正畸各阶段的应用
正畸前照片的价值贯穿治疗全程,治疗前,医生需将照片与X光片(如全景片、头颅侧位片)、模型结合进行综合分析,例如通过侧位片测量SNA、SNB角(反映颌骨位置),结合面部侧面照判断软组织代偿情况,最终制定“功能与美学兼顾”的方案,治疗中(如每3-6个月复诊时),需拍摄对比照,监控牙齿移动是否按计划进行——若初期照片显示牙列严重拥挤,治疗中期照片应观察到牙齿逐渐排齐,若出现移动异常可及时调整方案,治疗后,治疗前后的照片对比是疗效展示的最佳方式:患者可通过直观看到牙齿整齐度、面部侧貌改善(如下巴前凸减轻、唇部形态自然)感受到治疗价值;医生则可通过照片总结经验,优化后续治疗方案,在数字化正畸时代,照片还可与口扫数据、3D模型融合,模拟矫正后面部变化,进一步提升方案精准度。
注意事项
患者方面,需理解照片拍摄的必要性,积极配合医生调整体位,避免因紧张导致肌肉僵硬影响拍摄效果;拍摄时保持自然状态,不要刻意模仿“理想表情”,以免掩盖真实问题,医生方面,需熟练掌握拍摄技巧,确保每张照片角度标准、清晰可辨;同时注意保护患者隐私,照片仅用于医疗目的,加密存储避免泄露,对于儿童或特殊患者(如颞下颌关节紊乱者),拍摄需更耐心,必要时分次完成,避免因不适导致抗拒。
相关问答FAQs
问:正畸前拍的照片会一直保留吗?保留多久?
答:正畸前的照片属于病历资料的重要组成部分,医疗机构会按照《医疗机构病历管理规定》进行保存,根据规定,门急诊病历保存时间不少于15年,住院病历保存时间不少于30年,正畸病历通常包含照片、模型、X光片等,一般会保存至治疗结束后5-10年,部分机构为便于长期随访或学术研究,可能会更久保存,照片会加密存储,仅授权医护人员查阅,严格保护患者隐私,不会用于非医疗用途。

问:如果对某张照片不满意(比如表情僵硬、角度偏差),可以重拍吗?
答:完全可以,正畸照片是诊断和治疗的重要依据,任何一张关键照片不清晰、角度不正确都可能影响方案设计和疗效评估,如果您发现某张照片不满意(如正面照时头部歪斜、侧面照时唇部未自然闭合),应及时告知医生,医生会根据照片的重要性决定是否重拍,面部侧貌照、咬合照等核心照片必须重拍直至符合要求;而部分辅助照片(如微笑照)若仅有轻微偏差,医生可能会结合其他照片综合判断,重拍不会额外收费,无需担心,确保照片质量是保障治疗效果的前提。
