正畸片段弓是一种在口腔正畸治疗中针对局部牙齿问题进行精准矫治的技术,其核心在于通过设计特定的弓丝片段(而非全口弓丝),对目标牙齿施加生物力学力,实现牙齿的位置、角度或咬合关系的调整,与传统全口矫治不同,片段弓更聚焦于“局部干预”,适用于仅需少数牙齿移动的病例,既能简化治疗流程,又能减少对非目标牙齿的干扰,因此在临床中应用广泛。
正畸片段弓的核心原理与设计逻辑
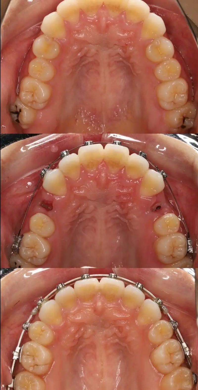
正畸片段弓的原理基于牙齿移动的生物力学机制——通过弓丝的形变产生持续、轻柔的力,作用于目标牙冠或牙根,引导牙齿在牙槽骨中安全移动,其设计逻辑主要体现在“片段化”和“精准化”两个层面:

- 片段化:将传统全口弓丝拆分为独立或连接的片段,每个片段对应1-3颗目标牙齿,针对上颌前牙拥挤的片段弓,可能仅包含中切牙、侧切牙的托槽连接段,而磨牙区域保持独立,避免力量传导至非目标区域。
- 精准化:根据牙齿移动需求(如压低、伸长、扭转、内收/外展等),定制弓丝的形态、材质和尺寸,需压低单颗前牙时,片段弓可设计为“L形”,利用杠杆原理将力量集中在牙冠;需纠正扭转时,则通过弯制“转矩”角度,实现牙根的三维控制。
正畸片段弓的类型与临床应用场景
根据片段连接方式和功能,正畸片段弓可分为多种类型,不同类型适用于不同的牙齿问题,以下通过表格对比常见类型及其特点:
| 类型 | 设计特点 | 适用场景 | 优势 |
|---|---|---|---|
| 连续片段弓 | 多颗目标牙齿通过连续弓丝连接,力量分散 | 2-4颗前牙的拥挤排齐、间隙关闭 | 力量柔和,协同移动效率高,减少牙齿反复调整 |
| 非连续片段弓 | 目标牙齿弓丝独立,通过辅簧或弹性线连接 | 单颗牙齿压低/伸长、扭转纠正 | 精准控制单颗牙齿移动,避免邻牙干扰 |
| 复合片段弓 | 结合连续与非连续设计,联合使用辅件(如支抗钉) | 局部牙齿移动与整体咬合调整(如深覆合矫正) | 兼顾局部精准性与整体稳定性,适应复杂病例 |
| 交互牵引片段弓 | 上下颌片段弓通过弹性圈交互牵引 | 上下颌牙齿咬合关系异常(如反颌、锁颌) | 纠正颌间关系,改善面部功能与美观 |
正畸片段弓的治疗流程与操作要点
正畸片段弓的治疗需严格遵循“诊断-设计-实施-调整”的流程,具体步骤如下:
- 诊断与设计:通过口腔检查、X线片(如曲面断层片、头颅侧位片)、模型分析,明确目标牙齿的移动方向和幅度,设计片段弓的形态、材质(如不锈钢丝的强度高、镍钛丝的柔韧性好)和托槽位置(通常选用方丝弓托槽或直丝弓托槽,便于精细控制)。
- 弓丝弯制与试戴:根据设计图弯制片段弓,临床试戴时检查弓丝与托槽的贴合度,确保力量能准确传递至目标牙齿,纠正前牙拥挤时,弓丝需预成“理想弓形”,通过回弹力推动牙齿向牙槽骨中央移动。
- 粘接与加力:将托槽精准粘接于目标牙齿,片段弓入槽后通过结扎丝固定,首次加力力度控制在50-100g(轻力原则),避免牙齿过度受力导致牙根吸收或疼痛。
- 复诊调整:每4-6周复诊一次,检查牙齿移动进度,调整弓丝形态或更换更粗的弓丝(如从0.014英寸镍钛丝换为0.018英寸不锈钢丝),逐步增强力量直至目标达成。
正畸片段弓的优缺点
优点:
- 精准高效:聚焦局部问题,避免全口矫治的“过度干预”,疗程可缩短30%-50%(如仅排齐前牙时,传统矫治需1.5-2年,片段弓可能仅需6-12个月)。
- 舒适度高:弓丝范围小,对口腔黏膜刺激少,且力量集中在目标区域,非目标牙齿几乎无不适感。
- 费用较低:减少了托槽、弓丝等材料的用量,同时缩短治疗时间,总体费用比全口矫治低20%-30%。
缺点:

- 适应症局限:仅适用于局部牙齿问题(如少数牙拥挤、间隙、个别牙错位),不适用于严重的骨性畸形或全牙列排列紊乱。
- 技术要求高:医生需具备扎实的生物力学知识和精细操作能力,片段弓的设计和加力误差可能导致牙齿移动失败或并发症(如牙根吸收)。
相关问答FAQs
Q1:正畸片段弓和传统全口矫治(如戴钢牙套)有什么区别?
A:区别主要体现在三个方面:① 矫治范围:片段弓仅针对局部牙齿(如前牙),全口矫治覆盖所有牙齿;② 治疗效率:片段弓因聚焦问题,疗程更短,而全口矫治需整体调整,时间较长;③ 舒适度与费用:片段弓弓丝范围小、刺激少,费用更低,全口矫治则需更复杂的弓丝设计和更多复诊调整。
Q2:正畸片段弓治疗过程中需要注意什么?
A:需重点关注三点:① 口腔卫生:因片段弓可能增加清洁难度,需使用正畸牙刷、牙线刷等工具,避免食物残渣堆积导致龋齿或牙龈炎;② 饮食禁忌:避免咬硬物(如坚果、骨头),防止弓丝变形或托槽脱落;③ 定期复诊:严格按照医生约定时间复诊,及时调整弓丝,确保牙齿按计划移动,若出现剧烈疼痛或托槽松动,需立即就医处理。

