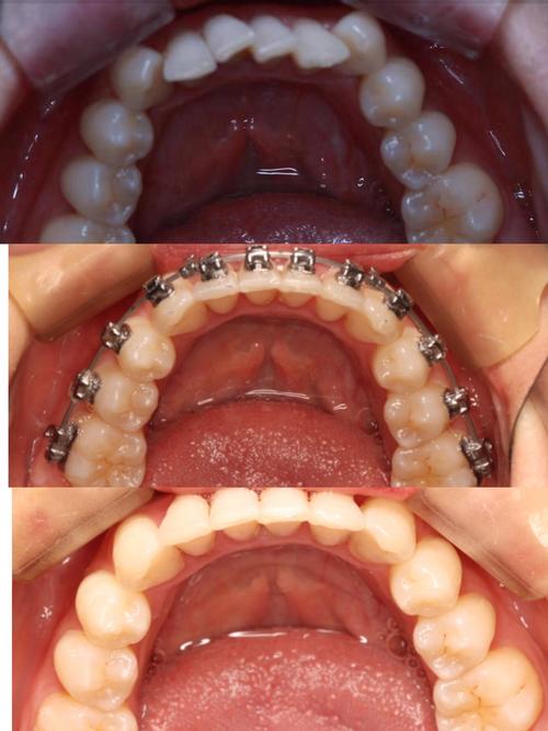
正畸托槽粘结是口腔正畸治疗中的关键起始步骤,其准确性直接影响后续牙齿移动的效率和矫治效果,整个过程需在严格的无菌操作和隔湿环境下进行,涉及多个精细环节,从术前准备到术后护理需规范执行,以确保托槽与牙面粘结牢固、位置精准,为矫治力的有效传递奠定基础。
术前准备阶段
术前准备是托槽粘结成功的基础,需全面评估患者口腔状况并做好充分物资准备。
患者沟通与口腔检查:治疗前需与患者充分沟通,解释粘结过程、可能的不适感及术后注意事项,消除紧张情绪,获得知情同意,同时进行详细口腔检查:评估牙齿龋坏情况(如有龋齿需先充填治疗)、牙周健康状态(牙周炎患者需先进行牙周基础治疗,控制炎症)、牙齿排列与咬合关系(必要时拍摄X线片,观察牙根位置及骨量),确认无粘结禁忌证(如严重牙釉质发育不全、口腔急性炎症等)。
材料与器械准备:根据患者牙齿大小、形态及矫治方案选择合适的托槽(金属托槽、陶瓷托槽或自锁托槽等),不同牙齿的托槽型号需提前确认(如上颌中切牙托槽较宽,下颌前磨牙托槽较小),同时备齐粘结所需器械:高速涡轮机及裂钻(用于牙面处理)、低速手机及杯状刷(用于清洁牙面)、棉卷、吸唾器、橡皮障(必要时使用)、酸蚀剂(通常为37%磷酸凝胶或酸蚀剂)、粘结剂(光固化复合树脂粘结剂或化学固化粘结剂)、光固化灯、探针、镊子、托槽定位器、气水枪等,所有器械需严格消毒,粘结剂需在有效期内使用,并检查其性状(如光固化粘结剂需避光保存,避免提前固化)。
口腔清洁与隔湿训练:粘结前彻底清洁口腔,使用抛光杯及抛光膏清洁牙面,去除菌斑、色素沉着及表面沉积物,但避免过度磨损牙釉质,指导患者练习鼻呼吸或使用橡皮障隔湿,防止唾液污染牙面影响粘结效果,对于唾液分泌量大的患者,可预先使用阿托品等药物抑制唾液分泌。

托槽粘结操作步骤
托槽粘结过程需严格遵循规范,确保每一步精准无误,核心步骤包括牙面处理、粘结剂应用、托槽定位及固化。
隔湿与牙面隔离:粘结时需彻底隔湿,常用方法包括:① 棉卷隔湿:在上下颌颊侧和舌侧放置棉卷,吸收唾液,但需频繁更换;② 橡皮障隔湿:选择合适型号的橡皮障,套在牙齿上,隔离患牙及周围区域,效果更可靠,尤其适用于后牙区或唾液较多的患者;③ 吸唾器配合:使用强吸唾器主动吸除唾液,同时弱吸唾器辅助,保持操作区域干燥,隔湿需贯穿整个粘结过程,一旦唾液污染,需重新酸蚀牙面。
牙面酸蚀处理:酸蚀的目的是通过酸蚀剂溶解牙釉质表层,形成微孔结构,增加粘结剂与牙面的机械嵌合力,是提高粘结强度的关键步骤,使用小毛刷或棉签蘸取适量酸蚀剂(37%磷酸),均匀涂布于需粘结托槽的牙面中部(避开邻接区及牙龈边缘),酸蚀时间一般为30秒至1分钟(时间过短无法形成有效微孔,过长则可能损伤牙釉质),酸蚀过程中需密切观察患者反应,避免酸蚀剂接触牙龈或口腔黏膜(如有接触,立即用大量清水冲洗),酸蚀完成后,用气水枪彻底冲洗牙面15-20秒,去除残留酸蚀剂,冲洗时水雾需均匀,避免压力过大导致牙釉质微孔塌陷;随后用无油无水的压缩空气轻吹牙面,直至牙面呈现均匀的“白垩色”(酸蚀成功的标志),若未出现白垩色,需重新酸蚀。
粘结剂涂布:酸蚀干燥后,立即涂布粘结剂,光固化粘结剂需避光操作,取适量粘结剂(如含填料的树脂粘结剂)均匀涂布于酸蚀牙面及托槽底板,厚度约0.1-0.2mm,避免产生气泡;化学固化粘结剂则需按比例混合A、B糊剂,搅拌均匀后迅速涂布,涂布时需覆盖整个酸蚀区域,确保粘结剂充分渗透牙釉质微孔,形成树脂突。
托槽定位与粘结:托槽位置是决定矫治效果的核心,需根据牙齿类型、牙冠形态及矫治方案精准定位,常用定位方法包括:

- 临床冠中心定位法:以牙冠唇颊面近远中径的中心为基准,托槽底板中心对准临床冠中心,适用于大多数前牙及前磨牙。
- 牙尖/切缘定位法:如上颌尖牙托槽的远中尖对准牙尖顶,下颌中切托槽底板与切缘平齐,上颌第一磨牙托槽的近中槽沟对准颊尖顶等。
- 参考标志线:对于牙齿倾斜或扭转的病例,可先用探针在牙面上划出参考线(如牙齿长轴平行线),辅助托槽定位。
定位时,使用镊子夹住托槽,轻轻放置于牙面预定位置,垂直加压使托槽底板与牙面紧密贴合,避免移位;随后用探针轻轻去除托槽周围溢出的多余粘结剂,避免刺激牙龈,托槽位置确认无误后,进行光照固化:使用光固化灯,光源顶端距离托槽约1mm,分别照射托槽近中、远中、龈方、切方(或咬合方),每个部位照射时间10-20秒(总固化时间不少于40秒),确保粘结剂完全固化,化学固化粘结剂则需等待1-2分钟,待其自然固化,期间避免触碰托槽。
粘结后检查:托槽固化后,进行整体检查:① 观察托槽位置是否准确,有无移位、倾斜;② 检查粘结剂边缘是否密合,有无残留粘结剂压迫牙龈;③ 用探针轻轻探查托槽边缘,确认粘结牢固;④ 嘱患者做正中咬合,检查托槽是否与对颌牙产生早接触,如有需调整咬合面粘结剂厚度。
术后注意事项
托槽粘结完成后,患者需掌握正确的口腔维护方法,避免托槽脱落及并发症发生。
饮食指导:粘结后2小时内避免进食,待粘结剂完全固化后再进食;1周内避免食用过硬(如坚果、骨头、硬糖)、过黏(如口香糖、年糕)及高色素食物(如咖啡、酱油),防止托槽脱落或粘结剂着色;进食时细嚼慢咽,避免用前牙啃咬食物(如苹果、玉米),可选择切成小块的食物。
口腔卫生维护:正畸期间口腔清洁难度增加,需使用正畸专用牙刷(刷头小、刷毛软)、牙间刷、冲牙器等工具,每天至少刷牙3次,每次3分钟,采用“巴氏刷牙法”,重点清洁托槽周围及牙龈缘;可配合使用含氟牙膏,增强牙釉质抗龋能力;饭后及时漱口,清除食物残渣。
不适处理:粘结后1-3天可能出现牙齿酸痛、咀嚼无力,属正常现象,可遵医嘱服用非甾体抗炎药(如布洛芬);若出现口腔黏膜溃疡,可用正畸保护蜡覆盖托槽边缘,减轻刺激;托槽脱落或松动时,需保存脱落托槽,及时复诊处理,切勿自行粘结。
复诊安排:按照医嘱定期复诊(通常4-6周一次),医生会检查托槽稳定性、牙齿移动情况及口腔卫生状态,调整矫治力,确保治疗顺利进行。
正畸托槽粘结常用材料与器械表
| 项目 | 名称/类型 | 作用/说明 |
|---|---|---|
| 隔湿材料 | 棉卷、橡皮障、吸唾器 | 隔离唾液,保持操作区域干燥,防止污染 |
| 酸蚀剂 | 37%磷酸凝胶/酸蚀剂 | 溶解牙釉质表层,形成微孔,增强粘结力 |
| 粘结剂 | 光固化复合树脂粘结剂、化学固化复合树脂粘结剂 | 粘结托槽与牙面,光固化需避光,化学固化无需光源 |
| 托槽 | 金属托槽、陶瓷托槽、自锁托槽 | 固定于牙面,传递矫治力,材质不同美观度及摩擦力差异 |
| 固化设备 | 光固化灯(波长430-490nm) | 固化光敏粘结剂,照射时间需充足,确保完全固化 |
| 其他器械 | 高速涡轮机、低速手机、抛光杯、探针、镊子 | 牙面处理、清洁、定位及辅助粘结操作 |
相关问答FAQs
Q1:托槽粘结后多久可以正常吃饭?需要注意哪些饮食禁忌?
A:托槽粘结后需等待2小时,待粘结剂完全固化后再进食,避免过早咀嚼导致托槽脱落,1周内应避免食用过硬(如坚果、排骨、硬糖)、过黏(如口香糖、麦芽糖、年糕)及高酸性食物(如柠檬、碳酸饮料),以防托槽松动、脱落或粘结剂被腐蚀;同时避免用前牙啃咬食物(如咬苹果、鸡腿),可将食物切成小块,用后牙咀嚼,减少对托槽的直接冲击。

Q2:托槽不慎脱落了怎么办?需要立即复诊吗?
A:托槽脱落是正畸治疗中常见情况,首先不要惊慌,妥善保存脱落的托槽(用纸巾包裹,避免丢失),并尽快联系主治医生预约复诊(一般建议1周内复诊),若托槽脱落时无疼痛、牙龈出血等不适,可暂时正常饮食,但避免食用过硬食物;若托槽脱落导致钢丝刺激口腔黏膜,可用正畸保护蜡覆盖钢丝末端,减轻不适,切勿自行调整或重新粘结托槽,以免影响矫治效果,复诊时医生会评估脱落原因(如咬合创伤、口腔卫生不佳等),重新粘结托槽并调整治疗方案。
