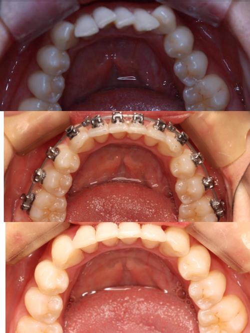
正畸治疗中,托槽作为固定矫治器的核心部件,通过弓丝与牙齿连接,传递力量引导牙齿移动至理想位置,而“正畸托槽装几颗牙”是患者最常关心的问题之一,其实这一数字并非固定,需结合患者的错颌类型、治疗方案、牙齿排列情况及医生设计综合决定,其核心原则是“精准覆盖需要移动的牙齿,兼顾功能与美观”。
影响托槽数量的关键因素
托槽的安装数量本质上是“牙齿移动需求”的体现,主要受以下因素影响:

错颌畸形类型
不同类型的错颌畸形对牙齿移动的需求差异显著,直接影响托槽覆盖范围。
- 牙列拥挤:常见于牙齿过多或颌骨空间不足,需通过托槽引导牙齿排齐,通常覆盖所有需要移动的牙齿(如上下颌24-28颗)。
- 反颌(地包天):可能涉及前牙反颌或后牙反颌,需调整上下颌牙齿的咬合关系,托槽数量需覆盖反颌涉及的牙位,前牙及部分后牙常需安装。
- 深覆颌/深覆盖:需压低上前牙或升高后牙,托槽可能覆盖前牙区及后牙区,通过不同高度的托槽槽沟实现垂直向控制。
- 牙间隙:如存在散在间隙,需通过托槽关闭间隙,覆盖所有需移动的牙齿(包括间隙两侧的牙齿)。
治疗方案设计
医生的治疗策略直接决定托槽安装范围:
- 不拔牙矫正:适用于轻度拥挤或牙性畸形,通过扩弓、邻面去釉等方式创造空间,托槽通常覆盖全部28颗恒牙(除智齿外)。
- 拔牙矫正:中重度拥挤或骨性畸形常需拔除4颗前磨牙(通常为上下颌第一或第二前磨牙),拔牙后剩余牙齿需移动关闭间隙,托槽仍覆盖所有需移动的牙齿(24-28颗),但拔牙牙位不安装托槽。
- 掩饰性正畸:针对轻度骨性畸形(如下颌轻度后缩),通过拔牙及牙齿移动掩饰骨骼问题,托槽覆盖范围与拔牙矫正类似。
- 联合治疗:如正畸-正颌联合治疗,术前正畸需通过托槽排齐牙齿,为手术创造条件,托槽数量可能覆盖全部牙位;术后正畸则需精细调整咬合,托槽数量根据术后需求确定。
牙齿排列与发育情况
- 牙齿缺失/多生牙:如先天缺牙(如上颌侧切牙缺失),需通过托槽移动邻牙关闭间隙;多生牙则需先拔除再通过托槽调整剩余牙齿,托槽数量需覆盖需移动的牙位。
- 牙齿萌出异常:如埋伏牙,需通过托槽及牵引装置引导萌出,托槽可能安装在已萌出的牙齿上作为支抗。
医生的个性化设计
不同医生对病例的理解和操作习惯可能存在差异,部分医生可能在稳定牙(如无明显移动需求的牙齿)上不安装托槽,以减少患者不适,但多数情况下为精准控制牙齿移动,需覆盖所有目标牙位。
常见正畸类型下的托槽数量参考
为更直观理解,以下通过表格列举常见错颌类型及对应托槽数量的典型范围(注:以下数据为临床常见参考,具体以医生方案为准):

| 错颌类型 | 典型托槽数量范围(颗) | 涉及牙位说明 |
|---|---|---|
| 牙列轻度拥挤(不拔牙) | 24-28 | 上下颌各12-14颗,覆盖所有恒牙(除智齿),通过排齐拥挤牙列。 |
| 牙列重度拥挤(拔牙) | 20-24 | 上下颌各10-12颗,拔除4颗前磨牙后,覆盖剩余需移动牙齿(如尖牙、前磨牙、磨牙)。 |
| 前牙反颌(牙性) | 18-24 | 覆盖上下颌前牙及部分后牙(如第一前磨牙、第一磨牙),调整咬合关系。 |
| 深覆颌 | 24-28 | 覆盖上下颌前牙及后牙,通过压低上前牙或升高后牙改善垂直关系。 |
| 牙间隙 | 18-22 | 覆盖间隙两侧及需移动的牙齿(如后牙前移关闭前牙间隙)。 |
| 骨性畸形(正畸-正颌) | 24-28 | 术前正畸覆盖全部牙位排齐,术后正畸根据咬合调整需求确定。 |
特殊情况下的托槽安装
除常见类型外,部分特殊病例的托槽安装存在独特性:
- 早期矫治(替牙期):针对儿童颌骨发育问题(如上颌前突、下颌后缩),可能仅安装部分前牙托槽(如4-6颗),通过简单装置引导颌骨生长,待恒牙列萌出后再进行全面矫正。
- 舌侧矫正:托槽粘接在牙齿舌面,数量与唇侧矫正一致,但因操作空间有限,可能需分次安装,每颗牙仍安装1个托槽。
- 隐形矫正:虽无传统托槽,但需在牙齿上粘接“附件”(类似托槽的小树脂块),数量通常为每颗牙0-2个,总计10-20个,作用是增强牙套与牙齿的贴合度,实现精准移动。
托槽安装的注意事项
托槽的数量和位置需精准设计,安装过程中需注意:
- 粘接位置:托槽需粘接在牙齿的临床牙面中心,确保与牙长轴平行,否则会导致牙齿倾斜或旋转,中切牙托槽中心对准牙冠中轴,尖牙托槽因牙根较粗,可略偏龈方。
- 支抗控制:部分牙齿需作为支抗(不动或少量移动),医生可能通过增加支抗钉或特殊托槽设计(如种植支抗)增强稳定性,避免支抗牙移动影响疗效。
- 舒适度与清洁:托槽数量过多可能增加口腔异物感,患者需加强口腔清洁(如使用正畸牙刷、牙线),避免托槽周围食物残留导致龋齿或牙龈炎。
正畸托槽的安装数量并非“一刀切”,而是医生根据患者错颌类型、治疗方案及牙齿情况个性化设计的“精准移动方案”,从临床实践看,大多数全面矫正的患者需安装20-28颗托槽(覆盖上下颌大部分牙齿),核心目标是“用最少的托槽实现最佳的牙齿移动效果”,患者在接受矫正时,应与医生充分沟通,理解治疗设计的逻辑,配合定期复诊调整,才能确保矫正效果与效率兼顾。
相关问答FAQs
Q1:正畸托槽是不是装的越多,矫正效果越好?
A:不是,托槽数量需与牙齿移动需求匹配,过多托槽可能导致不必要的牙齿移动,增加治疗难度和时间;过少则无法精准控制牙齿,影响矫正效果,关键在于托槽的位置和设计的科学性,而非单纯追求数量。

Q2:为什么有些牙齿(如智齿)通常不装托槽?
A:智齿位于牙列最后方,通常不参与咬合功能,且多数存在阻生、倾斜或萌出不全的情况,矫正过程中无需移动,若智齿位置正常且影响邻牙稳定,医生可能建议拔除而非装托槽,以避免干扰矫正进程。
