正畸下颌内收支抗是正畸治疗中针对下颌牙弓进行精细控制的核心技术,其通过设计稳定的支抗系统,对下颌牙齿施加精准的生物力学力,实现目标牙齿的内收、压低、直立或控根移动,从而协调上下颌牙弓关系、纠正咬合异常及改善面部美观,在临床中,下颌牙弓因受咀嚼肌群作用力大、牙根形态差异及骨密度不均等因素影响,移动难度较高,内收支抗技术的应用可有效解决传统支抗方式易出现的支抗丧失、移动效率低等问题,为下颌前突、牙列拥挤、深覆合等畸形的治疗提供关键支持。
正畸下颌内收支抗的生物学基础与核心原理
牙齿移动的本质是牙周组织的改建:在矫治力作用下,压力侧牙周膜受压,破骨细胞活跃导致骨吸收;张力侧牙周膜受牵拉,成骨细胞增生促进骨形成,下颌内收支抗的核心在于“支抗控制”,即通过稳定的支抗源,将矫治力高效传递至目标牙齿,同时最小化支抗牙齿的 undesired 移动,传统支抗(如口外弓、颌间牵引)依赖患者配合或口内牙齿联动,稳定性有限;而现代内收支抗技术通过植入式或固定式支抗装置,提供“绝对支抗”,确保矫治力的精准性与可控性。

下颌牙弓的特殊性增加了支抗设计的复杂性:下颌骨皮质骨较厚、血供相对较差,牙齿移动阻力较大;颏舌肌、翼内肌等肌肉群对下颌牙齿产生持续的近中推力,易抵消矫治力,下颌内收支抗需综合考虑牙齿移动方向、力值大小及支抗装置的稳定性,通过生物力学优化实现高效移动。
正畸下颌内收支抗的主要技术类型与临床应用
(一)支抗装置类型及特点
根据支抗来源与植入方式,下颌内收支抗装置可分为以下几类,具体特点如下表所示:
| 装置类型 | 植入/固定部位 | 作用机制 | 适用情况 | 优势 | 局限性 |
|---|---|---|---|---|---|
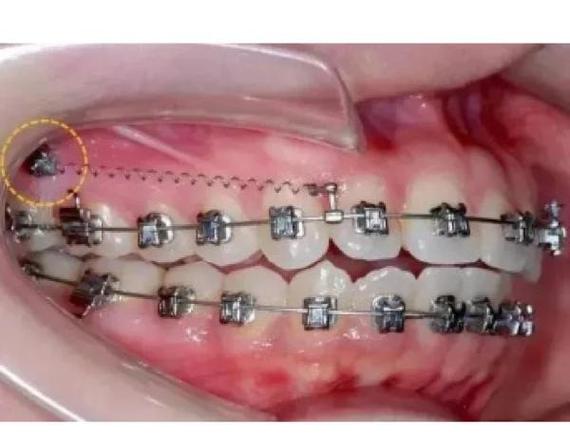
| 微型种植体支抗 | 下颌骨皮质层(如第二前磨牙至第一磨牙根间区) | 骨整合后作为支抗源,通过牵引装置施加持续轻力 | 各类下颌牙弓内收、磨牙远中移动、压低 | 稳定性高、患者配合度低、可精准控根 | 需手术植入、存在感染或松动风险(5%-10%) |
| 舌侧支抗装置 | 下颌舌侧骨皮质(如舌侧扣、舌弓) | 利用舌侧基牙或固定装置提供支抗力 | 下颌前牙内收、轻度拥挤病例 | 无需手术、费用较低 | 支抗强度有限、易受舌体运动影响 |
| 腭部支抗扩展装置 | 上颌腭部(通过腭杆连接下颌牙弓) | 通过上下颌联动,将上颌支抗力传递至下颌 | 上下颌不调的下颌内收病例 | 利用上颌稳定骨支抗,增强下颌控制 | 需依赖上颌支抗稳定性,患者异物感较强 |
| 临时支抗装置(TADs) | 下颌前牙区或后牙区牙槽骨 | 短期植入,完成目标移动后取出 | 间隙关闭、局部牙齿移动的阶段性支抗 | 灵活性高、可避免长期支抗依赖 | 临时性、需二次手术取出 |
(二)生物力学控制要点
下颌内收支抗的成功关键在于生物力学优化,需重点关注以下三方面:
- 力值与方向控制:一般采用轻力持续原则(50-200g),避免过大力量导致牙根吸收或支抗丧失,内收下颌磨牙时,通过0.018英寸不锈钢方丝弯制“停止曲”,配合种植体支抗的垂直牵引钩,确保力线通过牙齿阻力中心,实现整体远中移动而非倾斜。
- 支抗装置的稳定性:微型种植体植入时需避开下颌神经管,确保植入深度达骨皮质层(通常8-10mm),术后避免过早加载力量(一般植入后2-4周开始加力),舌侧支抗装置需与牙齿紧密贴合,防止受力后移位。
- 协同作用机制:对于复杂病例,可联合多种支抗装置,下颌前突伴拥挤患者,可采用拔除第一前磨牙后,微型种植体支抗内收前牙,舌侧弓稳定后牙,实现牙弓长度与突度的双重改善。
正畸下颌内收支抗的临床应用场景
(一)下颌前突畸形
下颌前突患者常表现为“月牙脸”、深覆合或深覆盖,通过内收支抗技术内收下颌前牙及后牙,可减少下颌牙弓长度,改善侧面突度,典型方案:拔除下颌第一前磨牙后,在第二前磨牙和第一磨牙牙根间植入微型种植体,使用镍钛螺旋弹簧或橡皮链牵引尖牙与第一前磨牙向远中,同时通过舌侧弓维持后牙支抗,避免前牙过度唇倾。

(二)下颌牙列拥挤
对于下颌牙弓长度不足导致的拥挤,需通过支抗为前牙提供间隙,可采用“后牙支抗+前牙内收”模式:在第二磨牙上焊接带环,配合腭杆连接两侧后牙作为强支抗,使用滑动法关闭拔牙间隙,内收前牙时通过“T型曲”控制牙根转矩,避免牙根腭倾。
(三)深覆合的垂直向控制
深覆合患者常伴下颌后牙过度伸长,可通过支抗压低装置改善垂直向关系,在下颌第一磨牙与第二前磨牙间植入微型种植体,使用压低辅弓(如“Wilkinson辅弓”)或直接牵引,结合前牙“摇椅弓”打开咬合,实现后牙压低与前牙伸长的协调。
正畸下颌内收支抗的优势与局限性
(一)优势
- 精准控制:种植体支抗等内收支抗装置可实现牙齿的三维移动(近远中、垂直向、控根),避免传统支抗的“联动效应”。
- 效率提升:绝对支抗减少了支抗丢失的风险,缩短治疗周期(如磨牙远中移动时间可缩短30%-50%)。
- 适应证广:适用于青少年及成人各类下颌畸形,尤其对传统支抗效果不佳的复杂病例(如严重下颌前突、骨性畸形掩饰治疗)具有显著优势。
(二)局限性
- 技术敏感性:微型种植体植入需精准定位,若靠近牙根或神经管,可能导致并发症(如神经损伤、牙根吸收)。
- 患者依从性:舌侧支抗装置可能影响发音与舒适度,部分患者需适应期;种植体周围需严格口腔卫生,否则易引发炎症。
- 费用较高:种植体支抗等装置的材料费与手术费相对传统支抗增加,可能影响患者选择。
相关问答FAQs
问题1:正畸下颌内收支抗治疗中,微型种植体支抗会脱落吗?如何降低脱落风险?
解答:微型种植体支抗的脱落率约为5%-10%,主要与植入部位骨量不足、植入角度不当、过早加载过大力量或患者口腔卫生差有关,降低脱落风险的方法包括:① 术前拍摄CBCT评估骨量,选择骨皮质较厚、远离牙根与神经管的区域;② 植入时确保种植体与骨面平行,避免角度偏差导致应力集中;③ 术后2周内避免种植体周围受力,待骨初步整合后开始轻力加力;④ 加强口腔卫生指导,使用漱口水清洁,防止食物残渣堆积引发感染。
问题2:下颌内收支抗治疗过程中,患者若出现种植体周围疼痛或松动,应如何处理?
解答:种植体周围疼痛或松动可能是感染、骨吸收或受力过大的信号,处理措施如下:① 立即停止使用该种植体施加矫治力,避免进一步损伤;② 检查口腔卫生,清除种植体周围食物残渣,若伴红肿溢脓,可局部涂抹碘甘油或口服抗生素(如甲硝唑)控制感染;③ 复诊时拍摄根尖片或CBCT,评估种植体周围骨密度及位置,若骨吸收明显或移位,需取出种植体;④ 调整支抗方案,改用舌侧支抗或其他临时支抗装置,确保治疗连续性。

