正畸治疗中,带环(也称为“牙带环”或“矫治器带环”)是固定矫治技术的重要组成部分,主要用于后牙(如磨牙)的固位,为后续的弓丝、托槽等附件提供稳定的支撑平台,带环的选择与佩戴是否合适,直接影响矫治力的有效传递、治疗效率及患者舒适度,本文将从带环的类型、型号选择依据、佩戴步骤及注意事项等方面详细说明,帮助读者全面了解正畸带环型号的选择与应用。
正畸带环的基本类型与结构
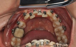
带环通常由不锈钢或贵金属合金制成,根据牙齿位置、功能需求及结构特点可分为不同类型,常见的有:

- 全带环:覆盖整个牙冠颊舌侧,固位力强,多用于后牙(如第一磨牙),提供稳定的支抗。
- 半带环:仅覆盖牙冠部分区域(如颊侧),多用于前牙或特殊病例,减少对舌侧的刺激。
- 颊管带环:带环上预焊接颊管(用于插入弓丝或辅弓),根据颊管角度可分为直颊管、带角度颊管(如17°、30°),适配不同牙齿的倾斜度。
- 特殊功能带环:如带拉钩的带环(用于牵引)、带附着体的带环(用于种植支抗)等,需根据病例设计定制。
带环的核心结构包括:带环主体(贴合牙冠的金属环)、焊接附件(颊管、拉钩等)、边缘处理(抛光或圆钝,避免刺激牙龈)。
带环型号选择的核心依据
带环型号的选择需综合考虑牙齿大小、牙冠形态、患者年龄及矫治目标,核心依据包括牙冠的宽度、高度、突度及牙齿位置,以下是具体选择标准:
牙冠尺寸测量
带环型号需与牙冠的周径和高度匹配,确保既能完全覆盖牙颈缘(防止边缘渗漏),又不压迫牙龈或导致牙齿脱位。
- 牙冠宽度:用游标卡尺测量牙冠近远中径(从接触点到接触点的距离),是选择带环直径的主要依据。
- 牙冠高度:测量牙合缘至牙龈缘的距离(通常为6-8mm),决定带环的高度(带环高度需比牙冠高度略小0.5-1mm,预留粘接剂空间)。
- 牙冠突度:观察牙冠颊舌侧的突度(如圆钝或扁平),突度大的牙齿需选择边缘更贴合的型号,避免悬垂刺激牙龈。
牙齿位置与类型
不同牙齿的牙冠形态差异显著,需针对性选择型号:
- 上颌第一磨牙:牙冠宽大(近远中径约10-12mm),颊舌径较宽,需选择大号带环(如8-10号),且颊管角度多为17°(适配上磨牙的近中倾斜)。
- 下颌第一磨牙:牙冠较窄(近远中径约9-11mm),舌侧有高耸的牙尖,需选择边缘较薄、舌侧贴合的型号(如7-9号),避免咬合干扰。
- 前磨牙:牙冠较小(近远中径约7-9mm),高度较低,可选用半带环或小型全带环(如5-7号)。
- 乳磨牙:牙冠短宽,颈部收缩明显,需选择专用乳牙带环(型号通常为3-5号),边缘贴合牙颈缘。
患者年龄与口腔状况
- 儿童/青少年:乳牙或年轻恒牙牙冠尚未完全发育,牙本质较薄,需选择边缘圆钝、厚度较薄的带环,避免压迫牙髓。
- 成人:牙龈可能存在萎缩,需选择边缘位于牙龈上方的型号,避免刺激牙周组织;若牙齿有缺损或修复体,需定制带环或调整型号。
标准型号参考表
临床常用带环型号以数字编号(如0-12号),对应不同牙冠尺寸,以下为常见牙齿的标准型号参考(以不锈钢全带环为例):
| 牙齿类型 | 牙冠宽度(mm) | 推荐带环型号 | 带环高度(mm) | 颊管角度 |
|---|---|---|---|---|
| 上颌第一磨牙 | 0-12.0 | 8-10号 | 0-7.0 | 17° |
| 下颌第一磨牙 | 0-11.0 | 7-9号 | 5-6.5 | 0°-5° |
| 上颌第二磨牙 | 5-11.5 | 7-9号 | 5-6.5 | 20°-25° |
| 下颌第二磨牙 | 0-10.5 | 6-8号 | 0-6.0 | 0°-5° |
| 上颌第一前磨牙 | 0-8.5 | 5-7号 | 5-5.5 | —(可选半带环) |
| 下颌第一前磨牙 | 5-8.0 | 4-6号 | 0-5.0 | —(可选半带环) |
注:实际选择需结合患者个体差异,若牙冠宽度介于两型号之间,优先选择偏小号(避免无法就位),必要时需调整带环边缘。
带环型号选择的操作步骤
取模与测量
- 用藻酸盐或硅橡胶取患者牙列模型,确保清晰显示牙冠形态及牙龈边缘。
- 在模型上用游标卡尺测量目标牙齿的近远中径、高度及突度,记录数据。
初选型号与试戴
- 根据测量数据参考标准表初选带环型号,用带环试戴器(或手指)将带环套入模型牙齿,检查:
- 就位性:带环能否顺利滑入牙冠,无卡顿;若无法就位,需减小型号或调整带环边缘。
- 密合度:带环边缘与牙颈缘是否贴合,无明显缝隙(缝隙>0.5mm可能导致粘接失败);若缝隙过大,需更换更贴合的型号或定制带环。
- 牙龈刺激:带环边缘是否压迫牙龈模型,若牙龈被顶起,需减小高度或修整边缘。
个性化调整
- 若初选型号不完全匹配,可通过以下方式调整:
- 缩小直径:用带环钳轻轻夹紧带环,减小周径(注意避免变形过度导致边缘不贴合)。
- 修整边缘:用砂石或抛光轮打磨带环内壁的粗糙点,确保平滑无悬突。
- 调整高度:若带环过高,需磨除多余部分,保留足够粘接空间(通常1-2mm)。
最终确认与消毒
- 调整后的带环再次试戴,确认就位顺利、无刺激后,用75%酒精浸泡消毒,备用。
带环佩戴的注意事项
- 隔湿与粘接:佩戴前需严格隔湿(用棉球隔湿或橡皮障),避免唾液污染影响粘接;粘接剂常用玻璃离子水门汀或树脂,需按产品说明操作,确保带环与牙面紧密贴合。
- 边缘处理:带环边缘应位于牙龈缘上方0.5-1mm,避免压迫牙龈导致炎症;若边缘过深,需用牙龈分离器推开牙龈或重新选择型号。
- 咬合调整:佩戴后需检查咬合关系,避免带环过高导致早接触(用咬合纸标记,磨除高点)。
- 定期检查:治疗期间需定期复查,观察带环是否松动、脱落或边缘渗漏,及时处理(松动者需重新粘接,脱落者需检查型号是否合适)。
常见问题与调整
- 型号过小:导致带环无法完全就位,强行佩戴可能压迫牙根,需更换更大型号或调整带环形态。
- 型号过大:固位不良,易松动或脱落,需选择更小型号或增加粘接剂厚度(但避免过厚影响咬合)。
- 边缘不贴合:可能导致食物嵌塞、牙龈炎,需用树脂或粘接剂填补缝隙,必要时重新制作带环。
相关问答FAQs
Q1:带环型号选择不合适会有什么后果?
A:带环型号过小会导致无法完全就位,压迫牙根引起疼痛或牙根吸收;型号过大则固位力不足,易松动、脱落,影响矫治效果,边缘不贴合可能刺激牙龈,导致牙龈红肿、出血,甚至引发牙周炎症,需严格测量并试戴,确保型号匹配。
Q2:正畸带环佩戴后出现疼痛怎么办?
A:佩戴后24小时内轻微疼痛属正常现象(因牙齿受力),可服用非甾体抗炎药缓解;若疼痛持续或加重,需考虑带环型号过小压迫牙根、边缘刺激牙龈或咬合干扰,应及时复诊,医生会调整带环或磨除高点,必要时更换合适型号。
