正畸治疗中,第二磨牙作为牙列中最后一颗功能牙,其位置和角度对咬合稳定、咀嚼效率及口腔健康至关重要,临床中,第二磨牙倾斜是较为常见的错颌问题,可由多种因素引起,若不及时干预,可能引发一系列口腔并发症,本文将从第二磨牙倾斜的病因、临床危害、诊断方法及治疗策略等方面展开详细阐述,帮助全面认识这一问题。
第二磨牙倾斜的常见病因
第二磨牙倾斜的发生是多因素综合作用的结果,主要包括局部因素和全身因素,其中局部因素占主导地位。

萌出空间不足
牙弓长度不足是导致第二磨牙倾斜的首要原因,随着人类饮食精细化,颌骨逐渐退化,而牙齿体积未同步缩小,导致牙弓内空间不足以容纳所有牙齿正常萌出,第二磨牙通常在12岁左右开始萌出,若此时牙弓长度不足,其会向近中、远中或颊舌向倾斜萌出,以寻找“出路”,下颌第二磨牙常因牙弓长度不足向近中倾斜,甚至与下颌第三磨牙形成“对刃”或“反颌”关系。
邻牙影响
邻牙的异常状态会直接或间接导致第二磨牙倾斜,常见情况包括:
- 第三磨牙阻生:未萌出的第三磨牙可对第二磨牙产生挤压,使其向近中或颊舌向倾斜,尤其以下颌第三磨牙阻生最为常见。
- 第一磨牙缺失或移位:第一磨牙早失后,邻牙(包括第二磨牙)可能向缺隙倾斜、移位,破坏第二磨牙的垂直萌出路径。
- 乳磨牙早失:若第二前磨牙前的乳磨牙早失,可能导致第二磨牙近中倾斜,占据第一磨牙的萌出空间。
不良口腔习惯
长期的口腔不良习惯会打破牙列正常的生理平衡,引发第二磨牙倾斜。
- 偏侧咀嚼:长期单侧咀嚼会导致咀嚼侧牙齿磨耗不均,非咀嚼侧牙齿缺乏功能性刺激,可能出现第二磨牙颊向或舌向倾斜。
- 口呼吸:口呼吸患者常伴有上牙弓狭窄、腭盖高拱,上颌第二磨牙可能因牙弓宽度不足而颊向倾斜。
- 吐舌习惯:舌尖持续作用于牙齿,可能推动第二磨牙向颊侧或远中倾斜。
正畸治疗因素
不当的正畸治疗或治疗后的保持不当也可能导致第二磨牙倾斜。

- 支抗控制不足:在拔牙矫治中,若磨牙支抗控制不当,第二磨牙可能向近中倾斜,占据拔牙间隙。
- 保持器佩戴不当:正畸治疗后未按要求佩戴保持器,尤其是夜间保持,可能导致第二磨牙复发倾斜。
第二磨牙倾斜的临床危害
第二磨牙倾斜不仅影响美观,更会对口腔功能及长期健康造成潜在威胁,具体表现如下:
咬合紊乱与颞下颌关节(TMJ)问题
倾斜的第二磨牙会导致咬合接触异常,如早接触、干扰等,进而影响咀嚼肌功能平衡,长期咬合紊乱可能引发颞下颌关节紊乱病(TMD),表现为关节弹响、疼痛、开口受限等,若第二磨牙近中倾斜过度,可能与下颌第一磨牙形成“锁颌”,限制下颌运动。
牙周组织损伤
牙齿倾斜会导致牙根与牙槽骨的接触面积减小,应力分布不均,易引发牙周支持组织损伤,临床表现为牙龈萎缩、牙周袋形成、牙槽骨吸收,严重时可能导致牙齿松动,上颌第二磨牙颊向倾斜时,颊侧牙槽骨常出现垂直吸收,而舌侧骨皮质可能增厚。
邻牙移位与牙列拥挤
第二磨牙倾斜会占据邻牙的萌出或排列空间,导致牙列整体紊乱,下颌第二磨牙近中倾斜可能挤压下颌第一磨牙,引发前牙拥挤或开颌;上颌第二磨牙远中倾斜可能导致上牙弓末端间隙不足,影响第三磨牙萌出。

影响修复与种植治疗
若第二磨牙倾斜严重,会为后续的修复或种植治疗增加难度,倾斜的第二磨牙可能导致种植体植入角度偏差,影响修复体的咬合功能;若需做固定桥修复,倾斜的基牙可能难以提供足够的固位力。
第二磨牙倾斜的诊断方法
准确诊断第二磨牙倾斜是制定合理治疗方案的前提,需结合临床检查、影像学检查及模型分析综合判断。
临床检查
- 视诊与触诊:观察第二磨牙的倾斜方向(近中、远中、颊舌向)、牙冠形态异常(如舌尖颊尖高度不一致)、牙龈颜色及牙周袋深度;用手触摸牙齿松动度,感知是否有早接触点。
- 咬合检查:使用咬合纸记录咬合接触点,判断是否存在咬合干扰;检查第二磨牙与邻牙的邻接关系是否紧密。
影像学检查
- 全景片(曲面断层片):可观察第二磨牙牙根的形态、位置及与邻牙的关系,评估牙根是否吸收、牙槽骨高度及第三磨牙的发育情况。
- CBCT(锥形束CT):三维影像可精确测量第二磨牙的倾斜角度(如牙体长轴与参考平面的夹角)、牙槽骨厚度及骨量,判断是否存在骨皮质开裂或骨缺损,为手术矫治提供依据。
模型分析
- 石膏模型:在模型上测量牙弓宽度、长度,计算拥挤度;通过观测仪分析第二磨牙的倾斜角度及与牙弓的协调性。
- 数字化模型:利用口内扫描获取数字化模型,通过专业软件进行三维分析,可直观显示牙齿移动趋势,辅助模拟矫治效果。
以下为不同检查方法在第二磨牙倾斜诊断中的应用价值总结:
| 检查方法 | 临床意义 | |
|---|---|---|
| 临床视诊触诊 | 牙齿倾斜方向、牙龈状况、松动度 | 初步判断倾斜程度及牙周炎症情况 |
| 全景片 | 牙根位置、牙槽骨高度、第三磨牙状态 | 评估牙根吸收、阻生情况及邻牙影响 |
| CBCT | 三维倾斜角度、牙槽骨厚度、骨量 | 精确测量倾斜度数,指导手术方案设计 |
| 石膏/数字化模型 | 牙弓宽度、拥挤度、咬合关系 | 分析空间不足原因,制定矫治计划 |
第二磨牙倾斜的治疗策略
第二磨牙倾斜的治疗需根据患者年龄、倾斜程度、牙周状况及错颌类型个体化设计,主要包括非手术治疗、正畸矫治及多学科联合治疗。
轻度倾斜(倾斜角度<15°)
对于无明显症状、牙周健康的轻度倾斜患者,可采取观察或简单干预措施:
- 定期复查:每6-12个月复查全景片,监测倾斜进展,尤其对青少年患者,观察第三磨牙萌出情况,必要时预防性拔除阻生第三磨牙。
- 咬合调整:若存在咬合干扰,可通过调颌消除早接触点,缓解咬合紊乱。
中度倾斜(倾斜角度15°-30°)
中度倾斜常伴有牙弓拥挤或咬合异常,需通过正畸矫治直立第二磨牙:
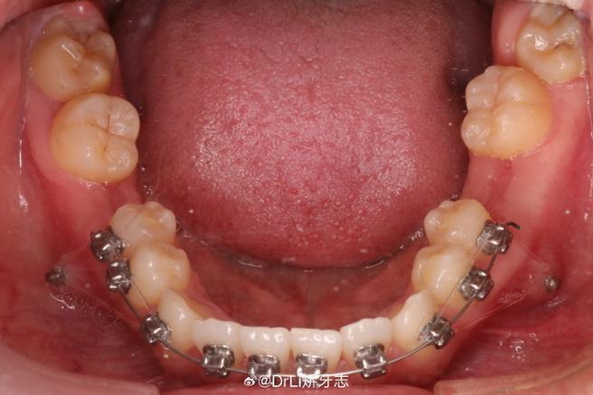
- 固定矫治器:采用方丝弓矫治器或直丝弓矫治器,配合镍钛圆丝、不锈钢方丝等,通过“滑动法”或“关闭曲法”直立第二磨牙,对于下颌第二磨牙近中倾斜,可使用“T型曲”或“摇椅曲”施加远中移动力量,同时配合支抗钉增强支抗。
- 隐形矫治:对于成人患者或美观需求较高者,可选用隐形矫治器(如隐适美),通过一系列个性化附件和牙套实现第二磨牙的精准直立,同时避免“钢牙”外观。
重度倾斜(倾斜角度>30°)
重度倾斜常伴随牙根吸收、骨量不足或严重牙周问题,需联合多学科治疗:
- 牙周治疗:若存在牙周炎,需先进行牙周基础治疗(洁治、刮治)或牙周手术,控制炎症后再进行正畸矫治,避免牙周进一步恶化。
- 外科辅助:对于骨皮质较厚或牙根与骨皮质粘连的病例,可采用骨皮质切开术(Corticotomy),加速牙齿移动;若第二磨牙阻生严重,可考虑微创拔除后种植修复。
- 拔牙矫治:若牙弓严重拥挤,可拔除第三磨牙或前磨牙,为第二磨牙直立创造空间,上颌第二磨牙远中倾斜伴牙弓拥挤时,拔除上颌第一前磨牙,利用拔牙间隙远中移动磨牙。
以下为不同治疗策略的适应证及注意事项总结:
| 治疗策略 | 适应证 | 优势 | 注意事项 |
|---|---|---|---|
| 固定矫治器 | 中重度倾斜,伴牙弓拥挤 | 控制精确,力量稳定 | 需注意口腔卫生,避免釉质脱矿 |
| 隐形矫治 | 轻中度倾斜,成人美观需求高 | 美观舒适,可自行摘戴 | 对患者依从性要求高,需定期更换附件 |
| 多学科联合 | 伴严重牙周炎或需修复 | 综合解决问题,提高疗效 | 需牙周科、修复科协作,分阶段治疗 |
| 拔牙辅助 | 第三磨牙阻生导致空间不足 | 解除拥挤,为直立磨牙提供空间 | 需评估拔牙后间隙利用,保持稳定 |
治疗过程中的注意事项
第二磨牙倾斜的矫治周期较长(通常1-2年),治疗中需密切监测,确保疗效稳定:
- 口腔卫生维护:矫治期间使用正畸专用牙刷、牙线,避免食物残积引发龋坏或牙周炎。
- 支抗控制:合理使用支抗钉(如微种植支抗钉),防止支抗磨牙移位,确保第二磨牙直立力量有效传递。
- 定期复查:每4-6周复查一次,调整矫治力,监测牙齿移动速度及牙周状况。
- 保持器佩戴:矫治结束后需长期佩戴保持器(如 Hawley 保持器或透明保持器),尤其夜间保持,防止复发。
相关问答FAQs
问题1:正畸治疗中第二磨牙倾斜不处理会有什么后果?
解答:若不及时处理,第二磨牙倾斜可能引发一系列问题:咬合紊乱会导致咀嚼效率下降,长期易引发颞下颌关节紊乱病(如关节弹响、疼痛);倾斜牙齿的牙根与牙槽骨接触面积减小,应力集中,易导致牙周组织损伤(牙龈萎缩、牙槽骨吸收),严重时牙齿松动;倾斜的第二磨牙会占据邻牙空间,可能导致前牙拥挤或第三磨牙阻生,增加后续治疗难度,发现第二磨牙倾斜后,建议尽早就诊评估,必要时进行矫治。
问题2:成人第二磨牙倾斜矫正难度大吗?需要注意什么?
解答:成人第二磨牙矫正难度较青少年略大,主要原因包括:牙槽骨改建速度较慢,牙齿移动效率低;可能伴有牙周炎、牙根吸收等口腔问题;部分患者存在修复体或牙列缺损,需多学科联合治疗,但通过合理方案设计,仍可取得良好效果,成人矫正需注意以下几点:① 先控制牙周炎症,确保牙周健康;② 选择适合的矫治器(如固定矫治或隐形矫治),兼顾美观与疗效;③ 加强支抗控制,避免邻牙移位;④ 治疗后长期佩戴保持器,因成人牙齿稳定性较差,复发风险较高。
