尖牙在牙弓中扮演着“牙弓支柱”的重要角色,其体积最大、牙根最长,对维持面部垂直高度、建立稳定咬合及引导下颌运动具有关键作用,正畸治疗中,尖牙关系的建立是矫治成功与否的核心指标之一,本文将通过一个典型病例,详细解析尖牙关系的异常类型、诊断思路及矫治过程,为临床实践提供参考。
病例资料
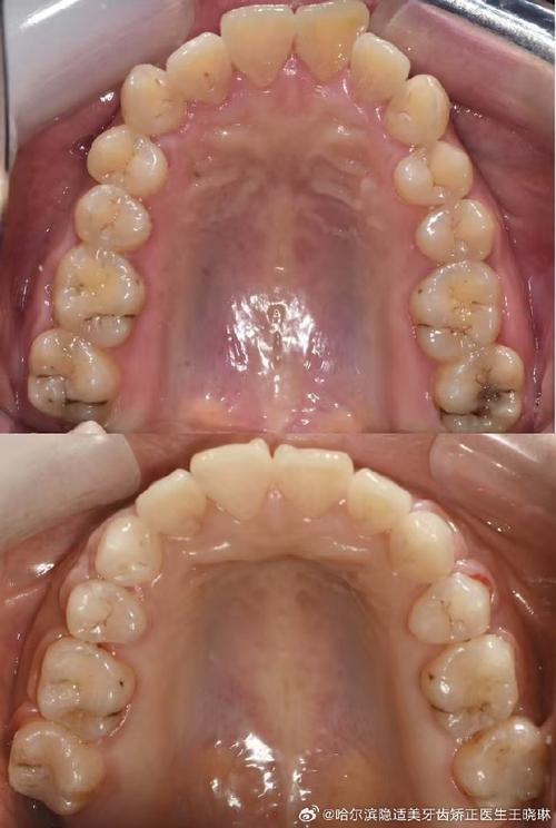
患者基本信息:女性,12岁,替牙晚期(右侧上颌第一磨牙已萌出,左侧上颌第一磨牙未完全萌出),主诉“上牙前突,右上门牙旁多出一颗牙”。
临床检查:

- 口外:面部对称,软组织无明显异常,颏部居中,微笑时上唇轻度紧张,露龈2mm。
- 口内:恒牙列初期,上颌尖牙(23牙位)唇向低位萌出,牙冠远中与侧切牙(12牙位)重叠,呈“双尖牙”样;下颌尖牙(33、43牙位)已萌出,位置正常,磨牙关系:右侧上颌第一磨牙近中尖对下颌第一磨牙颊沟,左侧为中性关系,整体为安氏I类错颌。
- 模型分析:上牙弓拥挤度5mm,下牙弓拥挤度2mm,Spee曲线深度3mm,尖牙宽度与牙弓不匹配。
- X线片:全景片示23牙根发育完成2/3,牙根无明显弯曲或吸收;头影测量显示SNA 82°(正常),SNB 80°(正常),ANB 2°(I类),上颌前牙唇倾度(U1-SN)110°(正常为105°±6°),提示上牙弓轻度拥挤伴尖牙唇向移位。
诊断与矫治目标
诊断:
- 安氏I类错颌
- 上颌尖牙唇向低位萌出
- 上牙弓轻度拥挤
- 上唇软组织张力略高
矫治目标:
- 排齐上牙弓,解除23牙位唇向低位,引导其正常萌出至牙弓正确位置。
- 建立稳定的尖牙关系(尖牙尖对尖关系),恢复咬合功能。
- 改善前牙覆盖,降低露龈微笑。
- 调整Spee曲线,实现上下牙弓尖窝交错。
矫治方案设计与过程
方案选择:
针对替牙晚期尖牙唇向低位,需为尖牙提供足够的萌出间隙,结合模型分析(上牙弓拥挤5mm),设计拔除上颌第一前磨牙(14、24牙位),利用拔牙间隙解除拥挤,同时为23牙位向远中移动创造空间,矫治器选择直丝弓矫治器(0.022英寸槽沟),配合镍钛丝、不锈钢方丝及颌间牵引精细调整。
治疗过程:

-
第一阶段:排齐整平(1-3个月)
- 粘贴直丝弓托槽(上颌:16-26牙位,下颌:36-46牙位),0.014英寸镍钛丝轻力排齐,重点调整12与23牙位重叠关系,避免托槽脱落。
- 复诊调整时注意23牙位牙冠倾斜度,避免过度唇倾,每月更换弓丝,逐步增加至0.018英寸镍钛丝。
-
第二阶段:关闭拔牙间隙,引导尖牙就位(4-12个月)
- 换0.019×0.025英寸不锈钢方丝,关闭14、24拔牙间隙,采用“滑动法”配合链状橡皮链(150g力),每4周加力一次,监测23牙位向远中移动情况,避免牙根吸收(每3个月拍摄全景片观察牙根形态)。
- 下颌使用0.018×0.025英寸不锈钢方丝整平Spee曲线,建立中性咬合关系。
-
第三阶段:尖牙关系精细调整(13-18个月)
- 23牙位接近理想位置时,更换0.019×0.025英寸TMA丝,轻力调整尖牙牙轴,使其牙尖与下颌尖牙牙尖相对(尖牙引导关系)。
- 使用颌间Ⅲ类牵引(2/4小时/天),调整磨牙关系至中性,改善前牙覆盖。
- 拆除矫治器前制作保持器,上下颌 Hawley 保持器,重点保持尖牙位置。
治疗效果
临床检查:

- 23牙位完全萌出至牙弓正确位置,与13、33牙尖形成稳定的尖牙引导关系;上牙弓排齐,拥挤解除,覆盖由原来的4mm改善至2.5mm,露龈微笑减轻至1mm。
- 磨牙关系中性,Spee曲线平坦,上下牙尖窝交错,咀嚼功能恢复。
- 头影测量复查:U1-SN 105°(正常范围),尖牙轴倾度正常(1类牵引后牙轴直立)。
患者反馈:
面部美观明显改善,咀嚼效率提高,对治疗效果满意。
尖牙关系异常常见类型及临床处理(表格)
| 异常类型 | 临床表现 | 治疗原则 |
|---|---|---|
| 尖牙唇向低位 | 尖牙牙冠唇倾,与侧切牙重叠 | 解除拥挤,提供间隙,引导萌出 |
| 尖牙高位 | 尖牙牙冠高出牙平面,咬合创伤 | 压低尖牙,调整咬合平面 |
| 尖牙阻生 | X线显示尖牙埋伏,萌出路径受阻 | 开窗助萌,配合正畸牵引 |
| 尖牙反颌(III类) | 尖牙牙冠舌倾,对颌尖牙无接触 | 唇向移动尖牙,建立正常咬合关系 |
本病例通过拔牙提供间隙,结合直丝弓矫治器精准控制尖牙移动,成功建立了稳定的尖牙关系,尖牙矫治的关键在于:① 充分评估间隙需求,避免因间隙不足导致尖牙阻生;② 控制尖牙牙轴移动,防止牙根吸收或牙冠倾斜;③ 后期精细调整,确保尖牙引导功能,避免咬合创伤,对于替牙期患者,早期干预(如间隙维持、唇系带修整)可降低尖牙唇向低位的风险,提高矫治效率。
相关问答FAQs
Q1:尖牙关系异常不治疗会有什么影响?
A:尖牙关系异常可能导致多种问题:① 咬合紊乱:尖牙作为“引导牙”,异常时无法有效引导下颌运动,易造成前牙创伤或后牙早接触;② 牙周损伤:尖牙唇向低位可能压迫侧切牙牙根,导致牙根吸收;③ 美观缺陷:尖牙突出或埋伏会影响微笑弧线,降低面部美观度;④ 颞下颌关节紊乱:长期咬合不稳定可能诱发关节弹响、疼痛等症状,一旦发现尖牙关系异常,需尽早正畸干预。
Q2:正畸治疗中尖牙移动缓慢怎么办?
A:尖牙移动缓慢需从多方面排查原因:① 间隙不足:检查牙弓是否有足够空间容纳尖牙,可通过扩大牙弓(如快速腭扩)或额外拔牙解决;② 矫治力不当:力量过小(如橡皮链老化)或过大(导致牙根粘连)均会阻碍移动,需调整力值至50-150g轻力水平;③ 骨粘连或牙根异常:通过X线片排查,必要时配合外科手术(如骨皮质切开术)辅助移动;④ 口腔卫生差:牙龈炎导致牙槽骨吸收,影响牙齿移动,需加强清洁后再加力,临床中可结合种植支抗增强支抗控制,提高尖牙移动效率。
