正畸单侧上下拔牙是指在正畸治疗过程中,基于患者的口腔具体情况,选择在同一侧的上下颌各拔除一颗牙齿(通常为前磨牙),而非传统的对称性拔牙模式,这种拔牙方式并非常规选择,需严格评估患者的牙列拥挤度、咬合关系、骨骼形态及面部美学需求后确定,主要针对特定类型的错颌畸形,旨在以最小创伤实现牙齿排列与咬合功能的平衡。
单侧上下拔牙的适用条件较为严格,通常需满足以下情况之一:其一,牙列中度拥挤,但拥挤主要集中在单侧,对侧牙列基本整齐或拥挤较轻,若双侧对称拔牙可能导致对侧出现散在间隙;其二,存在单侧后牙反颌或锁颌,需通过拔除该侧牙齿解除反锁关系,同时调整中线偏斜;其三,上下颌牙量不匹配,但差异仅限于单侧,如上颌单侧前突或下颌单侧缩窄;其四,患者因美观或功能需求,希望保留对侧健康牙齿(如对侧牙齿已有修复体或龋坏风险低),对于上颌偏斜、下颌中线左偏的患者,可能选择拔除右侧上下颌第一前磨牙,通过右侧牙齿内收纠正中线,同时避免对侧牙齿不必要的移动。

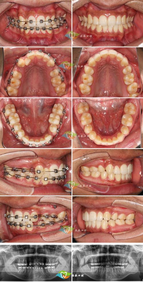
单侧上下拔牙的正畸治疗需系统化操作,流程大致分为五个阶段,第一阶段为术前评估,通过拍摄全景片、头颅侧位片、CBCT及取研究模型,分析牙齿拥挤度、牙根位置、骨量、面部软组织轮廓及咬合情况,特别需关注单侧拔牙后对侧牙齿的代偿潜力及中线纠正的可行性,第二阶段为拔牙设计,通常拔除上下颌同一侧的第一前磨牙(如右侧上下颌4号牙),因其牙根较短、拔牙难度低,且为前磨牙,对咀嚼功能影响相对较小;拔牙后需精确计算拔牙间隙,确保间隙用于解除拥挤、纠正中线及调整咬合,而非单纯内收,第三阶段为矫治器粘接与初始排齐,多选择固定矫治器(如金属托槽或陶瓷托槽)或隐形矫治器,优先排齐拔牙侧及中线的牙齿,建立初步的牙弓形态;此阶段需注意避免对侧牙齿出现不必要的倾斜,防止间隙分布不均,第四阶段为间隙关闭与咬合调整,通过滑动法或关闭曲技术内收拔牙侧牙齿,同时纠正中线偏斜,调整后牙咬合关系,确保单侧拔牙后形成稳定的尖窝交错关系;此阶段需定期调整矫治力,避免牙根吸收或牙槽骨吸收,第五阶段为保持阶段,拆除矫治器后佩戴保持器(通常为 Hawley 保持器或透明保持器),尤其需关注拔牙侧及中线的稳定性,防止复发;保持时间至少2年,期间每3-6个月复诊一次。
单侧上下拔牙作为非对称拔牙模式,其优势与风险并存,优点在于:一是保留对侧健康牙齿,减少对侧牙齿的移动创伤,尤其适用于对侧牙齿已有修复体或牙体疾病的患者;二是针对单侧错颌问题(如单侧反颌、中线偏斜)更具针对性,治疗效率可能高于对称拔牙;三是可避免双侧拔牙导致的下颌平面角改变,对面部垂直高度影响较小,但缺点亦不容忽视:一是单侧拔牙后,咀嚼力分布可能不均,长期可能导致颞下颌关节负荷增加,引发关节弹响或疼痛;二是中线纠正难度较大,若拔牙量或内收力控制不当,可能出现中线偏斜纠正不足或过度;三是治疗过程中需精细调整,对正畸医生的技术要求较高,若操作不当可能导致咬合紊乱或牙根吸收。
接受单侧上下拔牙正畸的患者需特别注意以下事项:术后24小时内避免刷牙漱口,可冷敷面部减轻肿胀,拔牙侧1周内避免用患侧咀嚼;治疗期间加强口腔卫生,使用正畸牙刷、牙线刷及冲牙器,防止托槽周围龋坏及牙龈炎;饮食需避免过硬、黏性食物,减少矫治器脱落风险;定期复诊(通常4-6周一次),医生会根据牙齿移动情况调整矫治力;治疗结束后务必佩戴保持器,尤其是夜间,防止牙齿复发至拔牙前位置。
| 适用情况 | 具体表现 | 处理目标 |
|---|---|---|
| 单侧中度拥挤 | 对侧牙列整齐,双侧拔牙会导致对侧间隙过大 | 集中解除拥挤侧牙列,保留对侧牙齿稳定性 |
| 单侧后牙反锁颌 | 单侧后牙颊尖舌尖相对,无法正常咬合,对侧咬合正常 | 通过拔除反锁侧牙齿,解除反锁关系,调整中线 |
| 上下颌单侧牙量不匹配 | 上颌单侧前突或下颌单侧缩窄,导致单侧深覆颌或深覆盖 | 平衡单侧牙量,改善咬合接触关系 |
| 对侧牙齿保留需求 | 对侧牙齿无龋坏、无修复体,或患者强烈希望保留对侧健康牙齿 | 减少对侧牙齿移动,降低治疗创伤 |
FAQs

问题1:单侧上下拔牙会影响咀嚼功能吗?
解答:单侧上下拔牙后,短期内(拔牙后1-3个月)因拔牙侧牙齿数量减少,咀嚼效率可能略有下降,尤其是咀嚼硬物时需用对侧代偿,但随着正畸治疗进展,拔牙侧牙齿重新排列形成稳定咬合后(通常治疗6个月后),咀嚼功能可逐渐恢复,为减少影响,治疗期间应避免用患侧咀嚼过硬食物,治疗后通过肌功能训练(如咀嚼口香糖)增强咀嚼肌协调性,长期来看对整体咀嚼功能影响较小。
问题2:单侧拔牙后中线纠正困难怎么办?
解答:单侧拔牙后中线纠正困难可能与拔牙间隙分配不均、内收力控制不当或牙列阻力有关,处理方法需根据具体情况调整:若因内收力不足,可通过增加颌内牵引(如使用橡皮筋牵引拔牙侧尖牙与磨牙)加强内收;若因牙列阻力(如下颌牙弓形态不对称),可配合片段弓技术或微种植支抗,提供更强的支抗力;若中线偏斜严重,可能需延长治疗时间,分阶段先纠正中线再调整咬合,治疗中需定期拍摄全景片及头颅侧位片,监测牙齿移动情况,及时调整方案。

