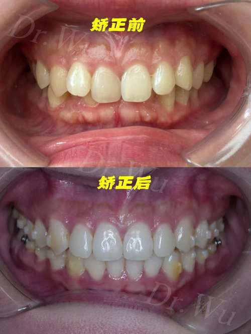
牙隐裂是指牙齿表面出现非生理性的细小裂纹,裂纹深浅不一,初期可能仅表现为对冷热敏感或咬合不适,随着裂纹加深,可能引发牙髓炎、根尖周炎,甚至导致牙齿劈裂,而正畸是通过施加持续、轻柔的外力,引导牙齿在牙槽骨内移动,从而达到排列整齐、改善咬合的目的,存在牙隐裂的情况下能否进行正畸治疗,需要综合评估隐裂的具体情况、牙齿整体健康状况以及正畸方案的设计,并非绝对禁止,但需谨慎对待并采取针对性措施。
正畸对牙隐裂的潜在风险
正畸过程中,牙齿会在外力作用下发生移动,牙槽骨随之改建(一侧吸收、一侧增生),牙齿本身也会出现轻微的生理动度,这种动态变化可能对隐裂牙产生以下影响:

- 裂纹扩展风险:若隐裂较深(已达牙本质深层或近髓),正畸力可能成为裂纹加重的诱因,尤其在咬合压力较大时,可能导致裂纹贯穿牙齿,引发劈裂。
- 牙髓刺激:正畸力通过牙齿传递至牙髓,可能加重隐裂牙的炎症反应,若隐裂已累及牙髓(如出现自发痛、夜间痛),正畸过程中牙髓坏死的风险更高。
- 继发龋坏:正畸期间口腔卫生维护难度增加,若隐裂处食物嵌塞、菌斑堆积,易形成继发龋,进一步削弱牙齿结构,增加治疗难度。
能否正畸?关键看“隐裂状态”和“预处理”
牙隐裂患者能否正畸,核心在于隐裂的深度、范围及牙齿的牙髓、牙周健康状况,必须先完善检查、评估风险,再决定是否需要预处理或调整正畸方案。
隐裂牙的评估:明确“能不能做”
正畸前需通过口腔检查、X线片、牙髓活力测试(冷热测试、电活力测试)、咬合纸检查等,明确以下关键信息:
| 评估项目 | 对正畸的影响 | |
|---|---|---|
| 隐裂深度 | 浅表裂纹(仅达釉质层)、中层裂纹(达牙本质深层但未近髓)、深层裂纹(近髓或穿髓) | 浅表裂纹风险较低,可考虑正畸;中层裂纹需先修复;深层裂纹需先根管治疗,否则正畸禁忌。 |
| 牙髓活力 | 牙髓正常(无冷热刺激痛、自发痛)、牙髓炎(自发痛、夜间痛)、牙髓坏死(无活力但无症状) | 牙髓正常者可谨慎正畸;牙髓炎或坏死者需先根管治疗,待炎症控制后再正畸。 |
| 牙周健康状况 | 牙周无炎症(牙龈无红肿、出血,牙周袋≤3mm)、牙周炎(牙龈出血、牙周袋≥4mm) | 牙周炎患者需先控制牙周炎症,否则正畸可能加重牙周破坏;隐裂牙若合并牙槽骨吸收,正畸风险极高。 |
| 裂纹位置与范围 | 隐裂是否涉及牙根(根面隐裂)、是否为贯穿性裂纹 | 根面隐裂或贯穿性裂纹牙齿强度极低,正畸禁忌,建议拔除后修复。 |
| 咬合习惯 | 有无夜磨牙、紧咬牙等不良习惯 | 不良习惯会加大咬合力,增加隐裂牙劈裂风险,需先佩戴颌垫改善后再正畸。 |
隐裂牙的预处理:为正畸“铺路”
若评估后隐裂牙具备正畸条件(如浅表裂纹、牙髓正常、牙周健康),必须先进行预处理,降低正畸过程中的风险:
- 浅表隐裂(釉质层):通过调颌(磨除咬合高点,减少隐裂处受力)、树脂填充封闭裂纹,防止裂纹加深。
- 中层隐裂(牙本质深层):需进行完善的牙髓治疗(根管治疗),清除感染牙髓后,用牙冠(如全瓷冠、金属冠)保护牙齿,避免正畸力导致牙齿劈裂。
- 隐裂伴牙髓炎/坏死:必须先完成根管治疗,待牙尖周炎症消退(X线片显示尖周暗影缩小)、牙齿无自觉症状后,再进行牙冠修复,最后启动正畸。
正畸过程中的注意事项:降低风险“关键一步”
即使隐裂牙已预处理,正畸期间仍需密切监测,避免意外发生:

- 控制正畸力:医生需精确调整施力大小和方向,避免对隐裂牙施加过大或集中的力量,可采用轻力矫治(如镍钛丝持续轻力),减少牙根吸收和牙髓刺激。
- 避免咬硬物:正畸期间需叮嘱患者避免啃咬坚果、骨头等硬物,防止隐裂牙在受力过大时劈裂;同时调整咬合,让隐裂牙尽量不承担主要咬合力。
- 加强口腔卫生:隐裂牙若继发龋坏,会进一步降低牙齿强度,正畸期间需使用正畸专用牙刷、牙缝刷、冲牙器等,彻底清洁牙齿和托槽周围,减少菌斑堆积。
- 定期复查:每3-6个月复查一次,通过临床检查、咬合测试、X线片观察隐裂牙有无疼痛、裂纹扩展、牙根吸收等情况,及时调整正畸方案。
正畸后的维护:保护隐裂牙“长期战斗”
正畸结束后,隐裂牙仍需长期维护:
- 永久性修复:若隐裂牙曾进行根管治疗,建议终身佩戴牙冠,避免牙齿因失去牙髓营养而变脆,在日常咬合中劈裂。
- 避免咬硬物:即使正畸完成,隐裂牙的强度仍低于正常牙齿,需避免咀嚼过硬食物,减少牙齿受损风险。
- 定期检查:每半年至一年复查一次,检查牙冠有无松动、边缘渗漏,隐裂处有无继发龋,发现问题及时处理。
牙隐裂患者正畸“三步走”
牙隐裂并非正畸的“绝对禁忌”,但需遵循“评估-预处理-监控”的原则:先通过专业检查明确隐裂状态,对高风险牙齿进行根管治疗、牙冠修复等预处理;正畸中控制力量、加强卫生、定期复查;正畸后长期维护,保护隐裂牙,只要处理得当,多数隐裂牙可在安全的前提下完成正畸治疗,既改善牙齿美观,又保留天然牙。
相关问答FAQs
Q1:隐裂牙已经做过根管治疗,戴上牙冠后,正畸就安全了吗?
A:根管治疗+牙冠修复是隐裂牙正畸的“安全基础”,但并非“绝对安全”,牙冠能保护牙齿免受咬合力直接冲击,但正畸过程中仍需注意:①牙冠需密合无边缘渗漏,避免继发龋;②正畸力需轻柔,避免牙冠脱落或牙齿根裂;③定期复查牙冠状态,若有松动或破损需及时修复,若隐裂牙曾伴发牙髓坏死,牙根可能变脆,正畸中需格外关注牙根吸收情况。
Q2:正畸过程中发现隐裂牙出现咬合痛,怎么办?
A:正畸期间若隐裂牙出现咬合痛,需立即复诊,排查原因:①若因正畸力过大导致牙髓刺激,可暂时停止对该牙施力,观察症状是否缓解;②若因裂纹加深引发牙髓炎(出现自发痛、夜间痛),需暂停正畸,及时进行根管治疗,待炎症控制后再评估能否继续正畸;③若已出现牙齿劈裂,可能需拔除患牙,并考虑种植修复或正畸关闭间隙,正畸过程中一旦出现疼痛,切勿拖延,以免加重病情。

