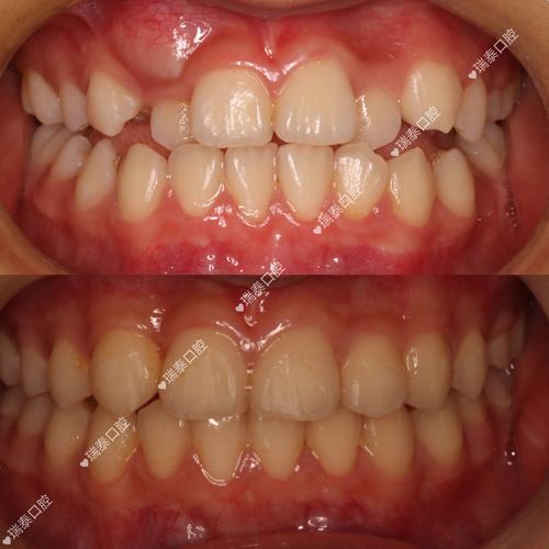
正畸结束后出现牙根歪斜,是部分患者可能会遇到的问题,主要指牙齿在牙槽骨内的位置发生异常,表现为牙根排列不齐、角度偏斜或与牙冠长轴不一致,而非单纯的牙齿表面排列紊乱,牙根作为牙齿的“根基”,其位置异常不仅可能影响正畸效果的稳定性,还可能对牙周健康、咬合功能乃至面部美观造成潜在风险,要全面理解这一问题,需从成因、影响、诊断、治疗及预防等多个维度展开分析。
牙根歪斜的成因:多因素交织的结果
正畸治疗通过施加外力引导牙齿移动,而牙根在牙槽骨内的改建过程受多种因素影响,若某一环节控制不当,便可能导致牙根位置异常,具体成因可分为以下几类:

正畸方案设计与生物力学控制不当
正畸方案是牙齿移动的“蓝图”,若设计不合理,易引发牙根代偿性倾斜。
- 拔牙模式选择偏差:对于需要拔牙矫治的患者,若拔牙位置、数量或顺序设计不当(如下颌拔除第一前磨牙而上颌未拔除),可能导致前后牙段支抗不均衡,迫使牙根向非理想方向移动以代偿空间。
- 牙齿移动方式错误:如整体移动与控根移动的混淆,若需要控根移动(如内收前牙时保持牙根直立)却采用了整体移动的力系统,可能导致牙根过度唇倾或舌倾;或使用过大的矫治力、频繁调整加力时间,超出牙槽骨改建的生理限度,引发牙根吸收或偏斜。
- 矫治器组件精度不足:托槽粘接位置偏差、弓丝弯制不规范(如摇椅曲曲度过大或过小),可能导致牙齿在移动过程中发生旋转或倾斜,进而影响牙根方向。
患者自身解剖与生理因素
部分患者的口腔解剖条件可能增加牙根歪斜的风险:
- 牙根形态异常:如牙根弯曲、过短、锥形根或融合根,这类牙根在受力时更易发生偏斜,且改建能力较弱。
- 牙槽骨条件限制:牙槽骨量不足(如骨皮质过厚、骨质疏松)或骨结构异常(如下颌骨颏部形态不对称),会限制牙根的正常移动空间,导致其在移动中被迫调整方向。
- 年龄与牙周状况:青少年患者牙槽骨改建活跃,牙根移动后更易稳定;而成年患者骨改建速度慢,若存在轻度牙周炎(牙槽骨吸收),牙齿移动时牙根可能因骨支持不足而歪斜。
保持阶段问题与牙齿自然复发
正畸结束后进入保持阶段,若保持不当,可能导致牙齿及牙根复发至原始位置:
- 保持器佩戴不合规:如未按医嘱全天佩戴(仅夜间佩戴)或提前摘除,牙齿在肌功能(如舌、唇、颊肌)作用下可能发生移位,牙根随之倾斜。
- 保持器设计不合理:如保持器未完全包裹牙冠,或与牙体形态不贴合,无法有效限制牙齿三维方向的移动。
- 自然生理性改建:正畸结束后,牙槽骨与牙周膜仍可能经历数年的“稳定期”,部分患者因个体差异,牙根可能出现轻微位置的二次调整,若调整过度则形成明显歪斜。
牙根歪斜的影响:从牙周到功能的连锁反应
牙根歪斜看似“隐蔽”,实则可能引发一系列口腔健康问题,其影响可概括为以下三方面:

牙周健康风险
牙根是牙齿与牙槽骨连接的“桥梁”,其位置异常会破坏牙周组织的正常受力平衡:
- 牙槽骨吸收:歪斜的牙根可能导致牙槽骨局部受力过大或过小,引发代偿性骨吸收,严重时甚至形成“骨开窗”(牙根表面骨皮质缺损)或“骨开裂”(牙根间骨皮质缺损)。
- 牙龈萎缩与牙根暴露:牙根位置异常常伴随牙龈退缩,使牙根部分暴露,增加敏感、龋坏(根面龋)及牙周袋形成的风险。
- 牙周袋形成与炎症:牙根倾斜可能导致牙龈与牙根贴合度下降,食物嵌塞、菌斑堆积,进而诱发慢性牙周炎,表现为牙龈出血、牙周溢脓、牙齿松动等。
咬合功能与颞下颌关节紊乱
牙根位置异常会影响上下牙列的咬合接触关系,进而干扰咀嚼功能:
- 咬合干扰:歪斜的牙根可能导致个别牙早接触、咬合创伤,或破坏前导、侧导等咬合轨迹,引发咀嚼肌疲劳、酸胀。
- 颞下颌关节紊乱(TMD):长期咬合异常可能通过肌链传导,导致颞下颌关节负荷增加,出现关节弹响、疼痛、张口受限等症状。
美观与心理影响
虽然牙根位于牙槽骨内,但严重的牙根歪斜可能通过牙冠形态、牙龈高度等间接影响美观:
- 牙冠形态不协调:如牙根舌倾可能导致牙冠唇侧过突,或牙根唇倾导致牙冠形态“过平”,与邻牙不协调。
- 牙龈高度不对称:牙根倾斜可能引发牙龈乳头高度异常,导致“露龈笑”或牙龈“黑三角”,影响微笑美观。
牙根歪斜的诊断:影像学与临床检查结合
明确牙根歪斜的诊断需依赖临床检查与影像学评估,具体方法如下:

临床检查
- 视诊与触诊:观察牙冠排列是否整齐,有无旋转、倾斜;用探针检查牙龈形态、有无退缩或牙周袋,用手晃动牙齿评估松动度(Ⅰ-Ⅲ度)。
- 咬合检查:使用咬合纸记录早接触点,分析正中咬合、前伸咬合、侧方咬合时的干扰情况。
影像学检查
- 根尖片与曲面断层片:可初步显示牙根长度、形态及与牙槽骨的关系,但为二维图像,可能存在重叠伪影。
- 锥形束CT(CBCT):三维影像检查的“金标准”,可清晰显示牙根在牙槽骨内的三维位置、角度偏斜程度、牙槽骨厚度及吸收情况,为治疗方案设计提供精准依据。
牙根歪斜的治疗:个体化方案是关键
根据牙根歪斜的严重程度、患者年龄、牙周状况及美观需求,治疗方案可分为观察、干预修复及复杂正畸-牙周联合治疗三类:
轻度牙根歪斜:观察与保持调整
- 适应证:牙根角度偏斜<10°,无牙周吸收、咬合干扰及美观问题,牙齿无明显松动。
- 处理方法:延长保持器佩戴时间(如从夜间佩戴改为全天佩戴,逐渐过渡至夜间),每3-6个月复查CBCT,监测牙根位置变化。
中度牙根歪斜:正畸微调或修复改善
- 适应证:牙根角度偏斜10°-20°,伴轻度牙龈萎缩或咬合早接触,但牙周健康稳定。
- 治疗方法:
- 微种植体支抗辅助正畸:通过植入微种植体,施加轻力纠正牙根角度,通常需6-12个月,期间需严格控制矫治力,避免牙根吸收。
- 修复体美学改善:若牙根歪斜不影响功能,仅影响美观,可通过全瓷冠、贴面修复牙冠形态,掩盖牙根位置异常。
重度牙根歪斜:多学科联合治疗
- 适应证:牙根角度偏斜>20°,伴明显牙槽骨吸收、牙周袋深度>5mm、牙齿松动≥Ⅱ度或咬合创伤。
- 治疗方法:
- 牙周手术:先行牙周基础治疗(洁治、刮治),再行引导性组织再生术(GTR)或骨移植术,重建牙槽骨支持。
- 正畸-牙周联合治疗:牙周稳定后(术后3-6个月),通过正畸力量纠正牙根位置,需配合微种植体增强支抗,治疗周期约1-2年。
- 拔除与种植修复:若牙根严重吸收、松动明显或无法保留,需拔除患牙,3个月后行种植体修复,恢复功能与美观。
牙根歪斜的预防:从方案设计到长期维护
预防正畸后牙根歪斜需贯穿正畸前、中、后全流程:
正畸前全面评估
- 影像学检查:拍摄CBCT评估牙根形态、数量、弯曲度及牙槽骨条件,排除牙根吸收、融合根等异常。
- 模型分析与口内检查:记录牙齿初始位置、咬合关系,分析面部对称性及肌功能状态。
正畸中精准控制
- 个体化方案设计:根据患者骨面型、牙量骨量关系选择拔牙模式,优先采用“不拔牙矫治”或“适度拔牙”,避免过度代偿。
- 生物力学优化:使用轻力矫治(如镍钛丝持续轻力),精确控制托槽粘接位置(通过间接粘接技术提高精度),避免牙齿旋转或倾斜。
正畸后严格保持
- 保持器选择:对于牙根较长、骨条件较差的患者,建议使用 Hawley 保持器或压膜保持器(完全包裹牙冠),全天佩戴至少6个月,后过渡至夜间长期佩戴。
- 定期复查:保持期间每3-6个月复查临床检查及曲面断层片,监测牙齿及牙根位置变化,及时调整保持方案。
牙根歪斜的常见原因及具体表现
| 原因类别 | 具体表现 | 可能后果 |
|---|---|---|
| 正畸方案设计不当 | 拔牙数量/位置不对称,未考虑牙根形态 | 前后牙支抗失衡,牙根代偿性倾斜 |
| 生物力学控制错误 | 托槽粘接偏差,矫治力过大或方向错误 | 牙根旋转、吸收,牙槽骨局部受力不均 |
| 患者自身因素 | 牙根弯曲、骨量不足,成年患者骨改建慢 | 牙根移动受限,易发生偏斜 |
| 保持阶段问题 | 未全天佩戴保持器,保持器与牙体不贴合 | 牙齿复发,牙根位置异常 |
相关问答FAQs
Q1:正畸后牙根歪一定是医生的技术问题吗?
A:并非绝对,牙根歪斜是正畸治疗的潜在风险之一,可能受医生技术(如方案设计、生物力学控制)、患者自身条件(牙根形态、骨量)及术后配合(保持器佩戴)等多因素影响,部分患者牙根天生弯曲,即使医生操作规范,也可能在移动中发生轻微偏斜;而若患者未按医嘱佩戴保持器,即使正畸效果理想,也可能因复发导致牙根歪斜,需综合评估,不能简单归咎于单一因素。
Q2:牙根歪斜不矫正会有什么后果?
A:轻度牙根歪斜若无症状,可定期观察;但中重度歪斜若不干预,可能引发一系列问题:①牙周健康恶化:牙根倾斜导致牙槽骨持续受力不均,加速骨吸收,甚至引发牙齿脱落;②咬合功能紊乱:早接触、咬合创伤可能引起咀嚼肌疼痛、颞下颌关节弹响;③美观影响:牙龈萎缩、牙冠形态不协调可能影响微笑美观,长期牙根异常还可能增加根管治疗(因牙根吸收导致牙髓坏死)或种植修复的风险,因此建议及时就医评估。
