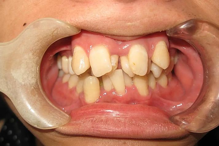
牙齿稀疏是口腔临床中常见的牙齿排列问题,表现为牙齿间存在生理宽度以外的间隙,不仅影响面部美观,还可能导致食物嵌塞、牙周健康受损,甚至咀嚼功能下降,正畸治疗是解决牙齿稀疏的主要手段,通过施加持续、轻柔的生物力,引导牙齿在牙槽骨内移动,关闭间隙、调整排列,部分患者在接受正畸治疗后,效果未达预期,甚至出现稀疏未改善、复发或新的并发症,即“牙齿稀疏正畸失败”,这一问题涉及多因素交互作用,需从原因、表现、预防及处理等多维度综合分析。
正畸失败的核心原因分析
牙齿稀疏正畸失败并非单一因素导致,而是术前评估、方案设计、治疗操作及患者维护等多环节问题的综合结果,具体可归纳为以下五类:

术前评估不足:基础数据遗漏或偏差
正畸治疗的成功始于精准的术前评估,若关键数据采集不全或分析错误,后续方案可能“方向性偏差”。
- 骨量与牙量不调分析缺失:牙齿稀疏的核心原因之一是“牙量小于骨量”(即牙齿总宽度小于牙弓 available space),若未通过全景片、CBCT等测量牙弓长度、牙冠宽度,未计算“Bolton指数”(上下颌牙齿总宽度比例),可能导致拔牙策略不当——例如本应拔牙减数却选择非拔牙矫正,最终因空间不足无法完全关闭间隙;或反之,骨量充足却过度拔牙,导致前牙过度唇倾,出现“黑三角”复发。
- 牙周状况未充分评估:牙周组织是牙齿移动的“土壤”,若患者存在未控制的牙周炎(牙周袋深度>3mm、牙槽骨吸收超过根长1/3),正畸过程中牙齿移动可能加速骨吸收,治疗后间隙因支持组织不足而重新打开。
- 不良习惯未识别:吐舌、咬唇、口呼吸等不良习惯是继发性牙齿稀疏的常见诱因,若术前未通过肌功能检查、视频分析等方式识别,仅通过正畸排齐牙齿,而不纠正习惯,治疗后牙齿可能受舌体或唇肌异常压力再次移位,导致稀疏复发。
方案设计缺陷:缺乏个性化与生物力学合理性
正畸方案是治疗“蓝图”,若设计时未结合患者具体特征(年龄、骨面型、生长潜力等),或忽视生物力学原理,易导致失败。
- 拔牙与非拔牙选择失误:对于中度以上牙列稀疏(尤其伴随前牙深覆合、深覆盖或后牙拥挤时),非拔牙矫正常需通过前牙唇倾、磨牙远中移动来获取间隙,但唇倾可能导致前牙区牙槽骨变薄,治疗后黑三角风险增加;而拔牙数量不足(如应拔4颗第一前磨牙仅拔2颗),则剩余间隙无法完全关闭,遗留“缝隙”。
- 支抗设计不足:支抗是抵抗矫治力的反作用力的能力,若需集中间隙关闭前牙稀疏却未加强支抗(如未使用种植支抗钉、横腭杆),可能导致后牙前移,前牙实际移动量不足,间隙残留。
- 垂直向与横向控制缺失:牙齿稀疏常伴随牙弓宽度不足(尤其是上颌),若方案中未设计扩弓装置(如螺旋扩弓器、快速扩弓器),仅通过唇颊向移动关闭间隙,可能导致后牙区“假性关闭”(实际为牙齿倾斜,牙弓长度未增加),治疗后稳定性差。
治疗操作不规范:细节偏差影响最终效果
即使方案合理,治疗过程中的操作细节也可能直接影响牙齿移动的精准度与稳定性。
- 托槽粘接位置偏差:托槽是传递矫治力的“媒介,若粘接时高度、转矩、轴倾角不准确(如前牙托槽粘接过低,导致牙齿冠唇倾、根腭倾),牙齿移动方向偏离设计目标,可能出现间隙关闭不全或牙根吸收。
- 加力方式与时机不当:正畸需“轻力持久”,若一次性加力过大(如试图通过“强关闭曲”快速关闭间隙),可能导致牙根尖血管受压,牙骨吸收,牙齿松动甚至脱落;或未按牙齿移动规律调整加力(如未等待尖牙完全远中移动即关闭前牙间隙),可能导致“支抗丧失”,后牙前移,前牙间隙复发。
- 未及时处理并发症:治疗中若出现牙根吸收(X光片显示牙根长度缩短)、牙龈增生、釉质脱矿等问题,未及时干预(如调整加力力度、进行牙周治疗),可能影响后续治疗进程,甚至导致间隙无法完全关闭。
患者自身因素:依从性差与口腔卫生不佳
正畸治疗是“医患合作”的过程,患者的配合度直接影响治疗效果。

- 治疗中依从性差:例如未按要求佩戴橡皮筋、头帽(需每天佩戴20小时以上),或频繁托槽脱落未及时复诊,导致牙齿移动中断或方向失控;部分患者为“快速见效”,自行调整加力力度,甚至用牙签等工具“撬”牙齿,导致牙周损伤。
- 口腔卫生维护不当:正畸装置(托槽、弓丝)易存食物残渣,若患者未掌握正确的刷牙方法(如未使用正畸专用牙刷、牙线),易导致菌斑堆积,引发牙龈炎、牙周炎,牙槽骨吸收后,牙齿失去稳定支撑,间隙重新出现。
- 术后维护意识薄弱:正畸治疗结束后需佩戴保持器,以稳定牙列、防止复发,但部分患者认为“摘下牙套即完成”,未按要求全天佩戴(初期)或夜间长期佩戴,甚至因“美观”提前停戴,导致牙齿在牙周组织改建过程中缓慢移位,稀疏复发。
术后复发风险未控制:生物学与力学因素未平衡
牙齿移动后,牙周组织(牙槽骨、牙周膜、牙龈)需经历“改建”以适应新位置,此过程需6-12个月,若未在此期间稳定牙列,复发风险极高。
- 牙周组织改建未完成:正畸结束后,牙槽骨需通过“骨改建”形成新的骨小梁结构,若在此期间过早摘除保持器,牙齿可能受肌肉力量(如舌肌、唇肌)或咬合力影响,移回原位。
- 咬合干扰未调整:治疗后若存在咬合高点(如个别牙齿早接触),咀嚼时可能产生异常杠杆力,推动牙齿移位,导致间隙复发。
- 邻接关系不良:前牙区邻接点过小(“三角形邻接”),食物易嵌塞,长期机械刺激可能导致牙龈萎缩,黑三角形成,视觉上呈现“稀疏”。
牙齿稀疏正畸失败的常见表现
牙齿稀疏正畸失败的表现多样,根据失败类型可分为以下四类,具体如下表所示:
| 表现类型 | 具体描述 | 可能原因 | 影响程度 |
|---|---|---|---|
| 稀疏未改善或加重 | 治疗后牙齿间仍存在明显间隙,甚至较治疗前更宽(如前牙间隙>2mm,后牙间隙未关闭) | 术前牙量骨量评估错误、拔牙数量不足、支抗丧失导致后牙前移 | 美观未改善,可能影响社交信心;若伴随食物嵌塞,可能引发龋齿、牙周炎 |
| 牙齿排列不稳定复发 | 治疗结束后1-2年内,原本关闭的间隙重新出现,牙齿轻微移位 | 保持器佩戴不当、不良习惯未纠正(如吐舌)、牙周支持组织不足 | 需再次治疗,增加经济负担;反复移动可能导致牙根吸收风险增加 |
| 咬合功能异常 | 咬合时牙齿早接触、咀嚼效率下降、颞下颌关节(TMJ)疼痛或弹响 | 咬合平面设计错误、垂直向控制不当(如后牙伸长导致前牙开𬌗)、未精细调整咬合 | 长期可能导致关节紊乱、消化不良;严重时需修复治疗调整咬合 |
| 牙周健康恶化 | 牙龈萎缩、牙槽骨吸收、牙齿松动、牙龈反复出血 | 正畸中口腔卫生差导致菌斑堆积、加力过大导致牙周创伤、未控制的牙周炎进展 | 牙齿松动甚至脱落;牙周组织破坏后,正畸效果难以长期维持 |
如何早期识别正畸失败的风险信号
正畸治疗周期较长(通常1.5-3年),若能在早期识别风险信号,及时调整方案,可避免失败,以下为关键预警信号:
- 治疗中:牙齿移动速度异常(每月移动量<1mm,或过快导致牙齿剧痛、松动);牙龈反复红肿、出血甚至溢脓;X光片显示牙根吸收(牙根尖端变钝、缩短);咬合时关节弹响、疼痛。
- 治疗后:保持器戴不紧(与牙齿存在明显间隙);牙齿感觉“发飘”、咀嚼无力;出现新缝隙或原有间隙变大;牙龈萎缩、黑三角逐渐明显。
失败后的处理策略
牙齿稀疏正畸失败后,需根据失败类型、严重程度及患者需求制定个性化修复方案,核心原则是“先控制病因,再解决结果”:
轻度稀疏复发或间隙残留(<2mm)
- 保持器调整:若因保持器变形或佩戴不足,可重新取模制作保持器,加强佩戴(如全天佩戴1-3个月,后改为夜间长期佩戴)。
- 修复性关闭间隙:通过树脂美学修复(直接贴面)或间接修复(瓷贴面、冠修复)关闭前牙小间隙,需注意恢复邻接点形态,避免食物嵌塞。
中度稀疏复发或功能障碍(间隙2-4mm,伴咬合紊乱)
- 正畸再治疗:重新评估牙周状况,若牙周健康,可设计新方案(如增加种植支抗、调整拔牙模式),再次移动牙齿关闭间隙;若存在牙根吸收,需先进行牙周治疗,再控制加力力度。
- 正畸-修复联合治疗:先通过正畸排齐牙齿、调整咬合,再通过瓷贴面、全冠修复改善邻接关系、关闭间隙,兼顾功能与美观。
重度稀疏或伴牙周组织破坏(间隙>4mm,牙槽骨吸收>根长1/3)
- 牙周先行治疗:先通过牙周刮治、植骨术等控制炎症,促进牙槽骨再生,待牙周指标稳定(牙周袋深度≤3mm,无出血)后再进行修复。
- 修复重建:若牙齿松动严重无法保留,需拔除患牙后通过种植牙、固定桥修复缺失牙,再通过正畸调整邻牙位置,恢复牙列完整性。
预防胜于治疗:降低失败风险的关键措施
牙齿稀疏正畸失败多数可预防,关键在于“精准评估、规范操作、医患协作”:
- 术前:全面检查与个性化设计:拍摄全景片、CBCT、头颅侧位片,测量牙量骨量、分析牙周状况;识别不良习惯并制定纠正方案(如肌功能训练器);方案需多学科会诊(正畸、牙周、修复),确保生物力学合理。
- 治疗中:精准操作与密切监控:使用数字化导板辅助托槽粘接,确保牙齿移动精准;每4-6周复诊,检查牙齿移动进度、口腔卫生,拍摄X光片监测牙根及骨状况;及时处理并发症(如调整加力力度、治疗牙龈炎)。
- 术后:终身维护与习惯纠正:强调保持器重要性(至少夜间佩戴2年,建议终身佩戴);定期复查(每3-6个月),监测牙列稳定性;纠正吐舌、咬唇等不良习惯,必要时佩戴肌功能矫治器。
相关问答FAQs
问题1:正畸失败后还能再矫正吗?会对牙齿造成更大伤害吗?
解答:正畸失败后通常可以再矫正,但需先评估牙周状况、牙根吸收情况及剩余骨量,若牙周健康、牙根吸收轻微,可通过调整方案(如加强支抗、数字化精准移动)再次治疗;若存在严重牙周炎或牙根吸收,需先控制炎症,再在医生指导下选择合适的矫正方式(如隐形矫正、微种植支抗),以减少对牙齿的二次损伤,矫正过程中需严格遵医嘱,避免过度加力,降低风险。
问题2:为什么戴了保持器牙齿稀疏还会复发?如何避免?
解答:保持器复发的主要原因有三:一是保持器佩戴时间不足(如仅戴半年就停戴),牙周组织未完成改建;二是不良习惯未纠正(如夜间吐舌),长期异常力量推动牙齿移位;三是保持器损坏或变形(如热水浸泡导致变形),无法贴合牙齿,避免方法:严格按医嘱佩戴保持器(初期全天,后期夜间终身);纠正不良习惯,定期复查保持器适配性,若变形及时更换;治疗后1年内每3个月复查,监测牙列稳定性。
