口腔正畸病例视频是通过影像技术记录患者正畸治疗全过程的动态资料,涵盖初诊评估、方案设计、治疗实施到效果维护的完整周期,常结合口内照片、X光片、扫描数据及治疗过程视频,形成“可视化病例档案”,这种视频不仅是医疗记录的延伸,更是连接医患、教学与科研的重要载体,其价值在于通过动态影像直观呈现牙齿移动规律、矫治器调整细节及治疗效果,弥补静态照片的局限性。
口腔正畸病例视频的核心内容构成
完整的正畸病例视频需系统化呈现治疗各阶段的关键信息,以下从治疗阶段划分核心内容及拍摄要点:

| 治疗阶段 | 拍摄要点 | 示例素材 | |
|---|---|---|---|
| 初诊评估阶段 | 面部对称性分析(正面、侧面、45°角)、口腔卫生状况、牙列拥挤/间隙情况、骨性畸形评估 | 固定拍摄距离与角度,面部自然表情与微笑状态,口内分象限(上/下颌左/中/右)清晰暴露 | 面部微笑照、牙列全景影像、颞下颌关节开闭口视频、口腔卫生指数记录 |
| 治疗计划阶段 | 3D数字化模型设计、矫治方案动画演示(如拔牙间隙关闭、牙齿旋转)、拔牙/非拔牙决策依据 | 口内扫描获取3D模型,动画演示需标注关键牙齿移动方向(如“上颌尖牙远中移动”) | 数字化牙模动画、方案对比视频(拔牙vs非拔牙面型预测)、医患沟通方案确认截图 |
| 治疗实施阶段 | 托槽/矫治器粘接过程、复诊调整细节(弓丝更换、橡皮圈牵引)、并发症处理(托槽脱落、牙根吸收) | 操作过程固定机位,特写关键步骤(如托槽定位、结扎丝固定),并发症需记录处理前后 | 粘托槽操作视频、弓丝更换前后对比、橡皮圈佩戴指导视频、牙根吸收CBCT影像 |
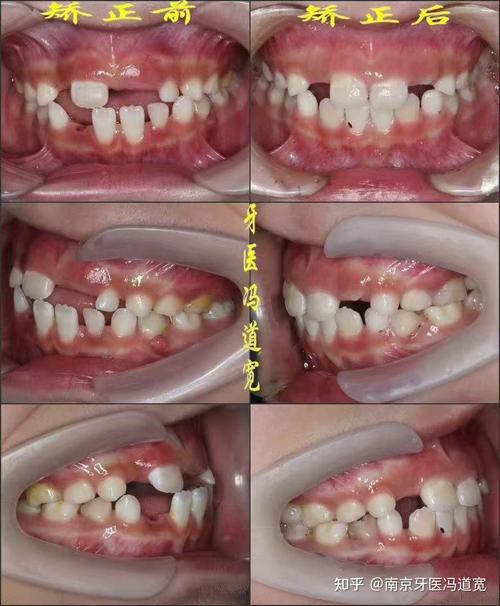
| 效果对比阶段 | 治疗后面部轮廓改善、牙列整齐度、咬合关系(尖窝对位)、功能恢复(咀嚼效率) | 与初诊相同角度拍摄,同步展示X光片变化,咬合关系需动态演示(如正中咬合、前伸运动) | 治疗前后面部对比视频、牙列全景对比、咬合功能检查视频、患者满意度访谈 |
口腔正畸病例视频的制作流程
规范化的制作流程是保证病例视频质量与实用性的基础,需涵盖设备选择、拍摄规范、后期编辑及存储管理四个环节。
拍摄设备选择
- 影像设备:临床常用单反相机(配微距镜头拍摄口内细节,如佳能EOS R5,微距镜头放大倍率1:5)、口内扫描仪(如iTero Element,获取3D牙列模型及黏膜表面数据)、X光机(全景片、CBCT用于骨性分析)、手机稳定器(如大疆OM 5,保证治疗过程视频流畅度)。
- 辅助工具:口腔牵开器(暴露视野,避免唾液干扰)、定位贴片(在患者面部固定标记点,确保拍摄角度一致性)、环形光源(消除口内拍摄阴影)。
拍摄规范
- 一致性原则:初诊与各复诊需严格固定拍摄参数(焦距、光圈、ISO),例如面部拍摄时患者耳屏与相机镜头距离固定为50cm,口内拍摄时牵开器放置位置一致,确保不同时期影像可对比。
- 重点突出:关键治疗步骤(如拔牙后间隙关闭、骨钉植入)需特写拍摄,同时记录操作医生的讲解(如“此处使用0.019×0.025mm镍钛弓丝进行初始排齐”),便于后续教学分析。
后期编辑

- 剪辑优化:使用专业软件(如Adobe Premiere Pro、剪映专业版)去除冗余片段(如患者调整体位时间),添加时间轴标注(如“治疗第6周:上颌尖牙远中移动2mm”)。
- 数据标注:在动态影像中插入箭头、文字说明,例如在牙齿移动视频中标注“上颌第一磨牙近中移动方向”,或在CBCT影像中圈示牙根吸收区域。
- 格式输出:临床病例视频建议采用MP4格式(H.264编码),分辨率1080P,兼顾清晰度与文件大小;教学视频可添加字幕(中英文双语),便于跨地域交流。
存储管理
- 隐私保护:患者信息匿名化处理,用“病例编号+年龄+性别”代替姓名(如“C001-女-25岁”),视频存储于加密医疗专用云端(如阿里云医疗版),设置访问权限(仅主治医生、科室主任可查看)。
- 备份机制:本地硬盘(NAS存储)与云端双重备份,定期检查数据完整性,避免因设备故障导致病例丢失。
口腔正畸病例视频的应用场景
临床医患沟通
正畸治疗周期长(通常1-3年),患者对“牙齿如何移动”“效果是否符合预期”常存在疑虑,病例视频可通过“同类案例动态展示”(如“与您情况相似的安氏Ⅱ类错颌病例,治疗后面型改善效果”)直观传递信息,降低沟通成本,研究显示,使用病例视频沟通的患者治疗配合度提升35%,中途放弃率降低20%。
医学教学与培训
对于正畸医生,尤其是年轻医生,病例视频是“实战化”教学资源,通过观看“复杂骨性畸形病例的术前正畸-正颌联合治疗视频”,可学习骨钉植入技巧、颌骨移动控制方法;分析“矫治失败案例视频”(如牙根吸收、咬合创伤)则有助于规避风险,国内知名正畸培训基地(如口腔医学计算机应用工程技术研究中心)已建立病例视频库,收录超5000例典型病例,供学员在线学习。
科研与学术交流
病例视频为正畸研究提供多维度数据:动态记录牙齿移动速度(如“每月下颌前牙唇倾1.5mm”)、矫治器效能对比(如“隐形矫治与传统托槽对支抗控制的效果差异”),2025年《中华口腔正畸学杂志》发表的“数字化正畸疗效评价”研究,即基于200例病例视频的动态数据分析,提出“牙齿移动阶段划分新标准”。

患者教育与科普
短视频平台(如抖音、小红书)上的“正畸治疗Vlog”(如“从牙列拥挤到整齐的180天”)通过真实病例过程,普及“正畸不会导致牙齿松动”“保持器必须长期佩戴”等知识,消除公众误解,某三甲医院正畸科统计显示,其发布的病例科普视频累计播放量超500万次,带动科室门诊量增长15%。
注意事项
- 隐私保护红线:严禁在未经患者书面同意的情况下,将病例视频用于公开平台传播;教学或科研使用时,需隐去患者面部特征及可识别信息。 准确性**:视频中的诊断结论、治疗方案需有医疗文书支撑,避免主观臆断;标注数据(如“牙齿移动距离”)需与影像资料一致,防止误导。
- 伦理规范:对于治疗失败或存在并发症的病例,视频记录需客观呈现,不得刻意回避或篡改,以维护医学研究的真实性。
相关问答FAQs
Q1:口腔正畸病例视频对医生和患者分别有什么帮助?
答:对医生而言,病例视频能动态记录治疗全过程的细节(如牙齿移动轨迹、矫治器调整效果),便于复盘治疗逻辑、优化方案设计,是提升临床技能的重要工具;多病例视频的积累可形成个人经验数据库,助力复杂病例的决策,对患者而言,视频直观展示治疗步骤和预期效果(如“拔牙后侧貌改善模拟”),缓解对未知治疗的焦虑;治疗结束后,视频可作为效果回顾的“动态纪念”,增强治疗满意度。
Q2:制作病例视频时如何平衡教学价值与患者隐私保护?
答:需遵循“最小化暴露”原则:①面部拍摄时,对眼睛、鼻等特征部位进行模糊处理或添加马赛克,仅保留口腔区域;②口内拍摄无需暴露面部,避免身份关联;③患者信息用编号代替姓名、身份证号,存储时设置加密权限;④视频用于教学或科研时,必须经患者签署《知情同意书》,明确用途(如“仅用于科室内部培训”),且不得在公开网络传播;⑤定期核查视频使用记录,确保信息不外泄,通过以上措施,可在最大化发挥教学价值的同时,严格保护患者隐私。
