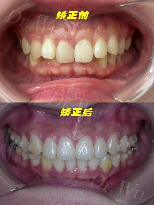
牙齿隐形正畸是目前口腔正畸领域广泛应用的一种技术,它通过一系列透明、可摘戴的隐形牙套,逐步引导牙齿移动至理想位置,实现牙齿排列整齐、咬合功能改善及面部美学提升,尽管常被误称为“手术”,但隐形正畸本质上是一种非手术的矫正治疗,其核心在于精准的生物力学控制,而非外科操作,对于部分伴有严重颌骨发育异常的患者,可能需结合正颌手术,但单纯隐形正畸全程无需手术。
隐形正畸的核心原理
隐形正畸的原理与传统固定矫正一致,均利用生物力学中的“持续轻力”原则,通过计算机辅助设计(CAD)和3D打印技术,医生会根据患者口腔扫描数据,模拟牙齿移动的全过程,并制作一系列个性化的牙套,每副牙套佩戴1-2周后,牙齿会移动至下一个预设位置,随后更换下一副牙套,逐步实现拥挤牙齿排齐、咬合关系调整、颌骨位置改善等目标,牙套材料通常为医用高分子聚合物,具有高透明度、高弹性及耐腐蚀性,可确保牙齿在几乎无感知的压力下移动,同时避免传统托槽对口腔黏膜的刺激。

适用人群与禁忌症
适用人群(表格呈现)
| 牙齿问题类型 | 具体表现 |
|---|---|
| 牙齿拥挤 | 牙齿数量过多或颌骨空间不足,导致牙齿排列不齐、重叠 |
| 牙齿稀疏 | 牙齿间存在过大缝隙,影响美观和咀嚼功能 |
| 龅牙(上颌前突) | 上门牙突出,嘴唇难以自然闭合,可能伴随“凸面型” |
| 地包天(反颌) | 下前牙咬在上前牙外侧,影响面部轮廓及咬合功能 |
| 深覆合 | 上前牙覆盖下前牙过多,可能导致下牙磨损、颞下颌关节紊乱 |
| 开颌 | 上下前牙无法咬合,甚至存在垂直向缝隙,影响发音和咀嚼 |
禁忌症
并非所有患者都适合隐形正畸,存在以下情况时需谨慎或选择其他方案:
- 严重骨性畸形:如上下颌骨发育严重不调,单纯正畸难以改善,需联合正颌手术;
- 口腔卫生极差:患者无法保持良好口腔清洁,佩戴牙套后易引发龋齿、牙周炎;
- 牙齿严重缺损:大面积龋坏或缺失牙过多,需先修复治疗再考虑正畸;
- 依从性差:无法保证每天佩戴牙套20小时以上,会影响矫正效果。
隐形正畸的核心优势
- 美观隐蔽:牙套透明如隐形,佩戴后不易被察觉,尤其适合成年及对美观要求高的患者;
- 舒适便捷:无托槽和钢丝,避免口腔黏膜磨损,可自行摘戴,便于进食、刷牙及清洁;
- 精准可控:通过数字化方案设计,可提前预知矫正结果,医生可随时调整细节;
- 适用范围广:覆盖大部分常见错颌畸形,从简单排齐到复杂咬合调整均可实现。
隐形正畸的完整流程
矫正流程(表格呈现)
| 阶段 | |
|---|---|
| 初诊咨询 | 医生检查口腔情况,拍摄X光片(全景片、头颅侧位片),讨论矫正目标与方案 |
| 数据采集 | 使用口内扫描仪获取牙齿三维数据,替代传统取模,提升精准度 |
| 方案设计 | 医生通过专业软件模拟牙齿移动路径,确定牙套数量及矫正周期(通常1-2年) |
| 牙套制作 | 根据方案3D打印定制牙套,每副牙套独立包装,标注佩戴顺序 |
| 佩戴与调整 | 首次佩戴时医生指导正确摘戴,之后每4-6周复诊一次,检查牙齿移动情况并更换牙套 |
| 保持阶段 | 矫正结束后佩戴保持器(透明保持器或传统保持器),防止牙齿复发 |
可能的辅助操作(非“手术”矫正)
虽然隐形正畸本身无创,但部分复杂病例需结合辅助手段:
- 拔牙矫正:对于严重拥挤的患者,需拔除部分牙齿(如前磨牙)为牙齿移动提供空间,拔牙为微创操作,无需手术;
- 骨钉植入:部分患者需在颌骨内植入微型钛钉(骨钉),作为牙齿移动的“支抗点”,植入过程仅需局部麻醉,创伤小,术后1-2周即可适应;
- 邻面去釉:针对轻度拥挤或牙缝过大的患者,通过磨除少量牙齿邻面 enamel(约0.25mm/颗),获得排齐空间,完全无痛。
注意事项
- 佩戴时间:每天需佩戴牙套20小时以上,仅在进食、刷牙时摘下,否则延长矫正周期;
- 口腔卫生:佩戴牙套时需用软毛牙刷清洁牙齿及牙套内侧,避免食物残渣滞留引发龋齿;
- 饮食禁忌:避免食用过硬、过黏食物(如坚果、口香糖),防止牙套变形或损坏;
- 定期复诊:严格按照医嘱复诊,若牙套丢失或损坏,需及时联系医生补制,避免影响矫正进度。
相关问答FAQs
Q1:隐形正畸过程中牙齿会疼吗?如何缓解?
A:佩戴新牙套的1-3天内,牙齿可能出现轻微酸胀、无力感,属于正常现象,是牙齿在移动压力下的生理反应,通常无需特殊处理,可尝试进食温凉软食(如粥、酸奶),避免咀嚼过硬食物,若疼痛持续加重或出现明显松动,需及时复诊检查。
Q2:隐形正畸和传统固定矫正效果有差异吗?哪个更好?
A:从矫正效果看,隐形正畸与传统固定矫正无本质差异,最终均可实现牙齿排列整齐、咬合功能正常,选择哪种方式需根据牙齿畸形程度、个人需求及医生建议:传统矫正力值稳定,适合复杂病例;隐形正畸美观舒适,适合对美观要求高、依从性好的患者,医生会通过专业评估推荐最适合的方案。


