牙齿正畸是改善牙齿排列、咬合功能及面部美观的常见治疗方式,但治疗过程中或治疗后出现虫牙(龋齿)的情况并不少见,这不仅影响矫正效果,还可能对口腔健康造成长期损害,本文将详细分析正畸期间龋齿发生的原因、临床表现、预防措施及处理方法,帮助患者更好地规避风险、维护口腔健康。
正畸期间为何容易发生龋齿?
牙齿正畸过程中,口腔环境发生变化,加之患者清洁难度增加,为龋齿的发生创造了条件,具体原因可归纳为以下几点:

口腔清洁难度显著增加
正畸治疗时,牙齿上会粘贴托槽(俗称“牙套”)、弓丝、结扎丝等附件,这些附件会占据牙齿表面大量空间,形成清洁死角,托槽边缘与牙齿接触的区域、弓丝下方、托槽与牙龈之间的缝隙等,普通牙刷难以彻底清洁,食物残渣和细菌容易在这些区域堆积,形成菌斑,菌斑中的致龋菌(如变形链球菌、乳酸杆菌)会分解食物中的糖分,产生酸性物质,长期作用会导致牙釉质脱矿,进而形成龋齿。
饮食习惯的改变
正畸期间,医生通常会建议患者避免过硬、过黏的食物,以防托槽脱落或弓丝变形,患者可能倾向于选择软质食物,如面包、粥、饼干、糕点等,这些食物中碳水化合物含量较高,容易黏附在牙齿和托槽上,若清洁不及时,会为细菌提供充足“养料”,部分患者因牙齿酸痛或咀嚼不便,减少咀嚼次数,唾液分泌量也随之减少,而唾液对口腔有清洁和缓冲作用,分泌减少会降低口腔的自洁能力,增加龋齿风险。
口腔卫生意识不足
部分患者对正畸期间的口腔卫生重要性认识不足,认为“反正戴着牙套,牙齿被遮住,偶尔不刷牙没关系”,正畸期间牙齿清洁的频率和难度要求更高,若未能坚持每天至少两次有效刷牙,且使用牙线、牙缝刷等辅助工具,菌斑会迅速堆积,导致龋齿或牙龈炎,部分患者因刷牙时牙龈出血而减少刷牙力度或次数,反而加重了局部炎症和菌斑滞留。
唾液成分与流速变化
正畸治疗过程中,部分患者可能因紧张、疼痛或饮食改变,出现唾液分泌暂时性减少或成分改变,唾液中的溶菌酶、免疫球蛋白等成分具有抑菌作用,唾液分泌减少时,口腔内细菌数量会增加,酸性代谢产物难以被中和,牙釉质脱矿风险升高,夜间睡眠时唾液分泌本身减少,若睡前未彻底清洁牙齿,龋齿发生率会进一步增加。

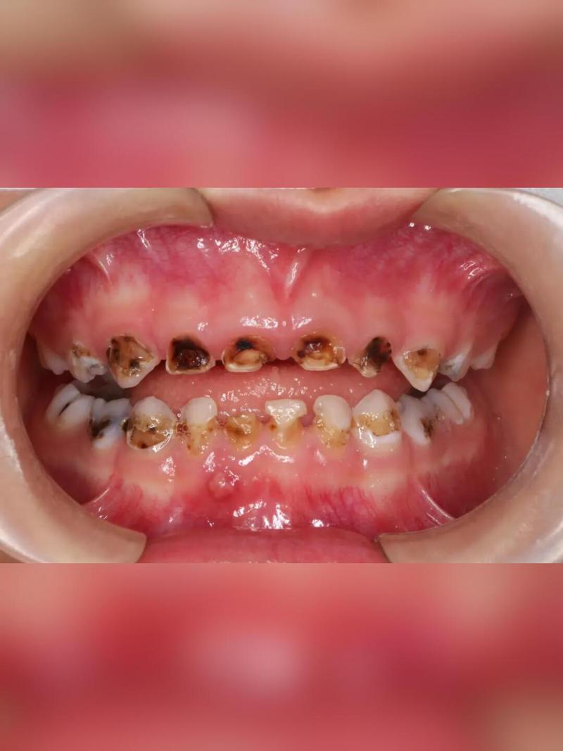
正畸期间龋齿的临床表现
龋齿的发生是一个渐进过程,早期症状不明显,但随着病情进展,可出现以下表现:
早期釉质龋(脱矿期)
牙齿表面出现白垩色或黄白色的斑点或斑块,边界模糊,无自觉症状,这是牙釉质脱矿的典型表现,若及时干预,可能再矿化修复;若继续发展,会形成实质性龋洞,脱矿区域多发生在托槽周围、牙齿邻面或牙龈缘,这些部位清洁难度大,菌斑滞留明显。
中期牙本质龋
脱矿区域逐渐形成肉眼可见的黑褐色龋洞,患者对冷、热、甜、酸刺激敏感,刺激去除后疼痛可缓解,当龋洞深入牙本质时,食物嵌塞会引起明显的疼痛,甚至出现自发性疼痛。
晚期深龋或牙髓感染
龋洞进一步加深,接近或穿通牙髓(牙齿内部的神经血管组织),可引发牙髓炎,表现为剧烈的自发性疼痛、夜间疼痛加重、冷热刺激痛加剧,甚至疼痛放射至头部、耳部,若发展为根尖周炎,还会出现牙龈肿胀、牙齿松动、咬合痛等症状,严重影响矫正进程和口腔健康。

正畸期间龋齿的预防措施
预防正畸期间龋齿的关键在于“有效清洁+控制饮食+定期监测”,具体措施如下:
正畸前的口腔准备
开始正畸治疗前,需进行全面的口腔检查,治疗 existing 龋齿、牙周炎等口腔疾病,若有未处理的龋齿,需先补牙;若有牙龈炎或牙周炎,需先进行牙周治疗(如洁治、刮治),待牙周健康后再开始矫正,可进行全口牙齿涂氟(使用含氟涂料或凝胶),增强牙釉质的抗龋能力。
掌握正确的口腔清洁方法
正畸期间的口腔清洁需“精细化”,建议采用以下组合方式:
- 刷牙:选用正畸专用牙刷(刷毛较小、刷头较窄,可适应托槽形状)或软毛牙刷,采用“巴氏刷牙法”,即刷毛与牙齿呈45°角,对准牙龈与牙齿交界处,小幅水平震颤,每次覆盖2-3颗牙,依次刷净牙齿的唇面、舌面、咬合面,刷牙时间不少于3分钟,每天至少两次(早晚各一次),睡前刷牙尤为重要。
- 牙缝刷:用于清洁托槽与弓丝之间的间隙、牙齿邻面等牙刷难以到达的区域,选择适合牙缝大小的型号(通常为1-4号),每天至少使用一次。
- 牙线:取一段牙线(约40cm),两端缠绕于双手中指,用拇指和食指控制牙线,缓慢“C”形滑入牙齿邻面,紧贴牙面上下刮擦,清除邻面菌斑,正畸患者可选用“正畸专用牙线”(末端带有硬质头,便于穿过弓丝下方)。
- 冲牙器:利用高压水流冲洗牙齿、牙龈及托槽周围,辅助清除食物残渣和菌斑,可作为刷牙的补充工具,每天使用1-2次。
控制饮食结构
- 减少糖分摄入:避免频繁食用糖果、巧克力、饼干、蛋糕等高糖食物,以及碳酸饮料、果汁等酸性饮料,若食用,应尽量集中在一餐内,并立即用清水漱口,减少糖分在口腔内的停留时间。
- 避免黏性食物:如口香糖、软糖、年糕等,这些食物易黏附在托槽和牙齿上,难以清洁,增加龋齿风险。
- 增加纤维性食物:如苹果、胡萝卜、芹菜等,咀嚼时可刺激唾液分泌,帮助清洁牙齿表面,但需切成小块食用,避免托槽脱落。
定期口腔检查与专业清洁
正畸期间需每3-6个月复查一次,医生会检查牙齿龋齿情况、牙周健康状况、托槽是否松动等,并及时处理早期脱矿或龋齿,可每3-6个月进行一次专业洁牙(洗牙),清除牙刷、牙线等难以彻底清除的菌斑和牙结石,维护口腔卫生。
使用含氟口腔护理产品
含氟牙膏可有效促进牙釉质再矿化,增强抗龋能力,建议选用含氟量0.1%以上的牙膏(成人可用含氟量0.15%的牙膏),可配合使用含氟漱口水(如0.05%氟化钠漱口水),每天含漱1次(每次30秒),不吞咽,尤其适用于清洁困难的患者。
正畸期间龋齿的处理方法
若正畸期间已发生龋齿,需根据龋齿严重程度采取相应治疗,避免病情进展:
早期釉质脱矿(白斑期)
- 再矿化治疗:医生会使用含氟药物(如氟化钠凝胶、含氟涂膜)涂布于脱矿区域,促进牙釉质再矿化,患者需加强口腔清洁,使用含氟牙膏,并严格控制糖分摄入。
- 树脂渗透治疗:对于较明显的白斑,可采用树脂渗透技术,将低黏度树脂渗入脱矿孔隙中,改善美观并阻止龋齿进展。
中期浅龋或中龋(形成龋洞)
- 充填治疗(补牙):去除龋坏组织,用树脂等材料恢复牙齿外形和功能,正畸患者补牙时,需注意避开托槽位置,若托槽影响操作,可能需暂时拆除托槽,补牙后再重新粘接。
- 预防性树脂充填:对于窝沟龋或早期邻面龋,可进行预防性树脂充填,微创去除少量龋坏组织,填充树脂,防止龋齿进一步发展。
深龋或牙髓感染
- 根管治疗:若龋齿深及牙髓,引发牙髓炎或根尖周炎,需进行根管治疗,清除牙髓腔内的感染物质,消毒后填充根管,正畸期间进行根管治疗可能需暂时停止矫正,待炎症控制后再继续。
- 修复治疗:根管治疗后,牙齿强度降低,需做牙冠(如全瓷冠、金属冠)保护,防止牙齿折裂,若龋齿导致牙齿大面积缺损,可能需结合桩核修复。
正畸期间口腔清洁工具使用指南
为帮助患者更直观地选择和使用清洁工具,以下为常用工具的对比及使用建议:
| 工具名称 | 作用 | 使用频率 | 注意事项 |
|---|---|---|---|
| 正畸专用牙刷 | 清洁托槽周围、牙齿唇面/舌面 | 每天至少2次 | 刷毛软硬适中,避免用力过猛损伤牙龈 |
| 牙缝刷 | 清洁托槽与弓丝间隙、牙齿邻面 | 每天至少1次 | 选择适合牙缝大小的型号,避免强行插入 |
| 正畸专用牙线 | 清洁牙齿邻面、弓丝下方 | 每天至少1次 | 使用硬质头牙线,缓慢穿过弓丝,避免损伤托槽 |
| 冲牙器 | 冲洗食物残渣、菌斑,辅助清洁 | 每天1-2次 | 水压调至适中,避免过高刺激牙龈 |
| 含氟牙膏 | 促进再矿化,增强抗龋能力 | 每天使用 | 选用含氟量0.1%以上,儿童需在家长指导下使用 |
| 含氟漱口水 | 抑菌、再矿化,辅助清洁死角 | 每天1次(可选) | 不吞咽,含漱30秒后吐出 |
相关问答FAQs
问题1:正畸期间发现牙齿上有白斑,是不是龋齿?怎么办?
解答:牙齿上的白斑是龋齿的早期表现,称为“釉质脱矿”,是牙釉质矿物质流失的结果,若不及时干预可能发展为龋洞,处理方法:①立即加强口腔清洁,采用巴氏刷牙法+牙缝刷+冲牙器组合,彻底清除菌斑;②使用含氟牙膏和含氟漱口水,促进再矿化;③避免高糖、酸性食物,减少对牙釉质的刺激;④尽快就诊,医生可能进行涂氟或树脂渗透治疗,阻止脱矿进展,若白斑范围较小且处理及时,多数可恢复;若脱矿严重,可能需补牙。
问题2:正畸后摘了牙套,牙齿上还有小黑点,是龋齿吗?需要处理吗?
解答:正畸后牙齿上的小黑点可能是龋齿,也可能是正畸期间遗留的脱矿斑(脱矿后未完全再矿化,色素沉着形成),需通过口腔检查(如探诊、X线片)判断:若黑点处有软组织或龋洞,即为龋齿,需及时补牙;若仅为色素沉着且牙面光滑、无缺损,可能是脱矿斑,可通过抛光、美白或再矿化治疗改善,但需注意,即使小黑点是脱矿斑,也提示该区域抗龋能力较弱,需加强日常清洁和定期复查,避免发展为龋齿。
牙齿正畸期间龋齿的发生虽有一定风险,但通过科学的预防措施(有效清洁、控制饮食、定期复查)和及时的处理,完全可以避免或控制,患者需提高口腔卫生意识,与医生密切配合,确保矫正过程顺利,最终实现健康与美观的双重目标。
