PAOO(Periodontally Accelerated Osteogenic Orthodontics,牙周辅助加速骨性正畸)是一种结合微创外科技术与正畸治疗的创新方法,通过加速牙槽骨的生理性改建,显著缩短牙齿移动时间,尤其适用于传统正畸治疗周期长、效果受限的患者,其核心在于打破传统正畸中“牙齿移动依赖骨改建自然速度”的限制,通过人为干预激活骨再生机制,实现高效、安全的牙齿矫正。
PAOO的作用原理:为何能加速正畸?
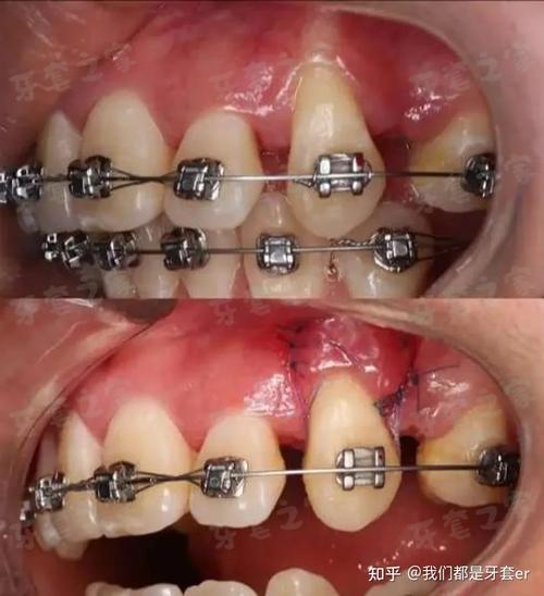
传统正畸中,牙齿移动的本质是牙槽骨的改建——在压力侧,破骨细胞吸收旧骨;在张力侧,成骨细胞沉积新骨,这一生理过程自然速度约为1mm/月,因此传统正畸治疗周期常需1.5-2年,PAOO则通过“骨皮质切开术”打破这一限制:在牙槽骨表面做多个线性微小切口(深度约1-2mm,不穿透骨髓腔),破坏骨皮质的完整性,激活局部生长因子(如BMP、TGF-β)和干细胞,启动“加速骨改建模式”,牙齿移动速度可提升至2-3mm/月,治疗时间缩短30%-50%,术中植入的骨移植材料(如Bio-Oss骨粉)能填充骨皮质切开后的间隙,为新骨提供支架,进一步降低复发风险。

PAOO的核心优势:超越传统正畸的突破
- 显著缩短治疗时间:对于需要大量牙齿移动的复杂病例(如严重拥挤、骨性前突),传统正畸可能需2年以上,PAOO可将周期压缩至1-1.5年,尤其适合成年患者“快速变美”的需求。
- 降低复发风险:加速骨改建使牙齿在新位置周围形成更稳定的骨支持,减少治疗后牙齿移位的概率,尤其对牙周条件不佳或曾复发者更友好。
- 拓展适应症范围:不仅适用于普通错颌畸形,还可解决传统正棘难以处理的病例,如轻度骨性畸形(无需正颌手术)、成年人的“骨性锁颌”、种植体植入前的间隙开辟等。
- 减少正畸并发症:快速移动可降低牙根吸收、牙龈萎缩等风险,尤其对牙槽骨薄的患者更安全。
PAOO的适用人群:谁最适合?
并非所有正畸患者都适合PAOO,需严格评估以下条件:
- 年龄要求:18岁以上(颌骨发育完成,骨改建活跃度稳定);
- 牙周健康:无活动性牙周炎,牙周袋深度<3mm,牙槽骨吸收<1/3根长;
- 错颌类型:包括牙列严重拥挤(需扩弓或拔牙)、深覆合深覆盖、骨性Ⅱ/Ⅲ类错颌(非手术适应证)、正畸后复发高风险者;
- 主观需求:希望缩短治疗时间、能配合术后护理(如严格口腔卫生、定期复查)。
以下人群不建议采用:青少年(颌骨未发育完全)、严重牙周病患者、有出血倾向或未控制的全身性疾病(如糖尿病、骨质疏松)、对手术有恐惧且无法配合者。
PAOO的治疗流程:分阶段实现高效矫正
PAOO治疗需正畸医生与牙周外科医生协作,具体分为5个阶段:
| 阶段 | 时间周期 | |
|---|---|---|
| 术前评估 | 拍摄CBCT分析牙槽骨厚度、牙根位置;牙周检查(包括牙周探诊、X线片);排除系统性疾病。 | 1-2周 |
| 外科手术 | 局部麻醉下切开牙龈,暴露牙槽骨;用超声骨刀做线性骨皮质切开(围绕目标牙根);植入骨移植材料;缝合牙龈。 | 30-60分钟/牙弓 |
| 术后恢复 | 术后1周进流食,避免刷牙手术区,用漱口水保持清洁;2周拆线;3个月内避免咬硬物。 | 2-3周(软组织愈合) |
| 正畸治疗 | 等待2-3个月让骨改建启动后,开始佩戴固定矫治器或隐形牙套;每4-6周复诊调整加力。 | 10-18个月 |
| 保持阶段 | 拆除矫治器后,佩戴保持器(透明压膜保持器或 Hawley 保持器)1-2年,定期复查。 | 1-2年 |
PAOO的注意事项:安全与效果的保障
- 术前准备:需完成牙周基础治疗(如洁治、刮治),确保无炎症;女性需避开孕期、哺乳期。
- 术后护理:术后24小时内冰敷面部减少肿胀,遵医嘱服用抗生素(预防感染)和止痛药;避免吸烟(影响骨愈合)。
- 风险控制:罕见并发症包括感染(发生率<5%)、牙齿短暂松动(1-2周内可恢复)、下唇麻木(因暂时损伤神经,多在3个月内恢复)。
- 费用考量:PAOO费用比传统正畸高30%-50%(手术及骨移植材料成本),但可节省时间成本,需综合评估。
相关问答FAQs
问题1:PAOO适合所有正畸患者吗?
解答:并非所有患者都适合,PAOO有严格的适应证,要求患者年龄≥18岁、牙周健康、无系统性疾病,青少年因颌骨未发育完全、严重牙周病患者(牙槽骨吸收严重)、有出血倾向或未控制的全身性疾病(如骨质疏松、糖尿病)者不宜采用,患者需能配合术后护理(如严格口腔卫生、定期复查),否则可能影响效果。

问题2:PAOO治疗后牙齿会更容易松动吗?
解答:术后短期内(1-2周)可能出现轻微松动,这是骨改建的正常过程,无需担心,随着新骨逐渐形成(术后2-3个月),牙齿会逐渐稳定,临床研究显示,PAOO因加速骨改建且植入骨移植材料,牙齿在新位置的稳定性优于传统正畸,长期松动风险并未增加,但需注意,治疗后必须佩戴保持器,并定期复查,否则仍有复发可能。
