双颌前突是指上下颌牙槽骨及牙齿同时向前突出,导致嘴唇无法自然闭合、开唇露齿、露龈笑等面部特征,不仅影响美观,还可能伴随咀嚼功能下降、发音不清、牙周健康受损等问题,正畸治疗是改善双颌前突的主要手段,通过牙齿移动、颌骨调整等,实现面部美学与口腔功能的协同恢复,以下从正畸前状态、治疗过程、正畸后变化及长期维护等方面展开详细说明。
正畸前的状态与影响
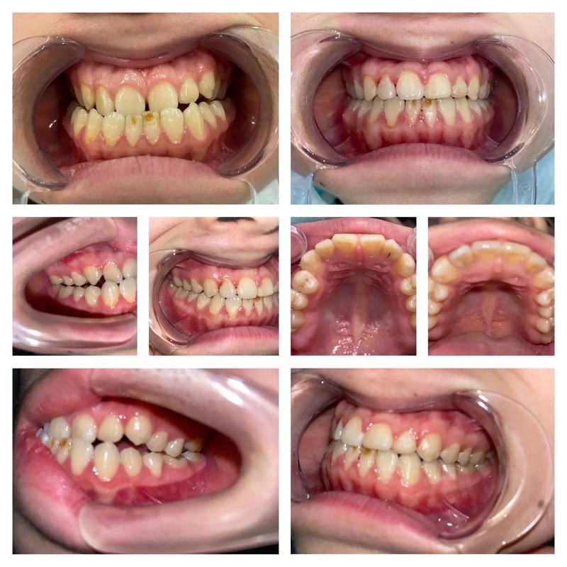
双颌前突患者正畸前的表现具有多样性,核心特征为“凸面型”面部轮廓,从正面看,患者常表现为上颌前牙明显外露,微笑时牙龈暴露过多(露龈笑),上下嘴唇饱满且前翘;侧面观则可见鼻唇角(鼻底与上唇之间的夹角)减小,通常小于90°,下巴后缩,形成“猿人面型”,牙齿层面,上下颌前牙唇倾严重,牙弓形态可能过宽或狭窄,后牙咬合关系紊乱,如深覆牙合(上牙覆盖下牙过多)或深覆盖(上牙切端超出下牙切端水平超过3mm)。

功能与健康方面,前牙过度突出导致咬合时无法建立稳定的尖窝交错关系,咀嚼效率降低,长期可能引发颞下颌关节紊乱(如张口弹响、疼痛),唇部因牙齿前突被迫处于紧张状态,患者常需用力闭唇才能闭合,长期易导致口周肌肉疲劳,甚至影响发音(如“s”“z”音含糊),口腔卫生方面,前牙唇倾使牙缝增大、清洁死角增多,食物嵌塞和牙菌斑堆积风险升高,易引发牙龈炎、牙周炎,甚至牙龈退缩。
心理影响同样显著,许多患者因“龅牙”外观产生自卑心理,不敢大笑、拍照,社交中刻意回避露齿动作,青少年患者可能因此遭受同伴嘲笑,影响心理健康与社交发展,临床数据显示,约70%的双颌前突患者在就诊时会主动提及“对笑容不自信”这一核心诉求。
正畸治疗的核心目标与方法
正畸治疗的核心目标是“排齐牙齿、关闭间隙、调整咬合、改善面型”,具体需结合患者骨骼畸形程度(骨性或牙性)、年龄、生长发育状态制定个性化方案,对于青少年患者,若处于生长发育高峰期(如女性10-12岁、男性11-13岁),可利用生长潜力通过功能性矫治器(如FRⅢ矫治器、 Twin-block)引导颌骨向后改建,减轻前突程度;对于成年患者或骨性畸形较轻者,则以固定矫治器(如金属托槽、陶瓷托槽)或隐形矫治器为主,通过牙齿移动改善面型。
典型治疗流程:

- 全面检查:通过口腔全景片、头颅侧位片、CBCT评估骨骼畸形类型(牙性或骨性)、牙齿倾斜度、牙弓长度及牙周健康状况;取模型记录咬合关系;拍摄面部照片(正面、侧面、微笑位)作为对比基准。
- 方案设计:牙性前突患者通常通过“整体内收前牙”实现改善,即通过支抗钉(种植支抗)提供稳定支抗,将前牙牙根整体向舌侧移动,避免牙冠过度内收导致“黑三角”;骨性前突且畸形严重者(如ANB角>5°,SNA角>85°),可能需联合正颌手术(如上颌骨Le Fort I型截骨术+下颌骨矢状劈开术),术后再进行正畸精细调整。
- 治疗实施:传统固定矫治器通过弓丝(如镍钛圆丝、不锈钢方丝)逐步排齐牙齿,利用橡皮筋调整咬合;隐形矫治器则通过3D打印的系列牙套,每副牙套施加轻微力引导牙齿移动,需患者每日佩戴20小时以上,每1-2周更换一副,治疗周期通常为1.5-3年,严重骨性畸形者手术+正畸周期可能延长至2-4年。
正畸后的显著变化
正畸治疗后,双颌前突患者的改善体现在牙齿排列、咬合功能、面部美学及心理状态等多个维度,具体可通过以下对比表格直观呈现:
| 对比维度 | 正畸前状态 | 正畸后状态 |
|---|---|---|
| 牙齿位置 | 上下颌前牙唇倾,牙弓形态异常,牙列拥挤或稀疏 | 牙齿排列整齐,牙弓形态协调,前牙轴唇倾度正常(上牙轴倾度85°±5°) |
| 咬合关系 | 深覆盖、深覆牙合,后牙咬合接触点紊乱 | 中性咬合(上牙尖窝对准下牙牙沟),后牙均匀接触,咀嚼效率提升30%-50% |
| 面部软组织 | 嘴唇前翘,鼻唇角<90°,露龈笑(牙龈暴露>2mm),侧面“凸面型” | 嘴唇自然闭合,鼻唇角恢复至95°-105°,露龈笑消失或牙龈暴露<1mm,侧面轮廓流畅,下巴微显 |
| 口腔健康 | 牙周探诊出血,牙结石堆积,牙缝易嵌塞食物 | 牙周健康,探诊深度<3mm,牙缝清洁无死角,龋齿风险降低 |
| 心理状态 | 自卑,社交回避,不敢露齿微笑 | 自信提升,社交活跃,主动参与需露齿的活动(如演讲、拍照) |
除上述变化外,部分患者还会伴随发音改善(如唇齿音清晰度提高)、睡眠质量提升(因牙齿前突导致的口呼吸缓解),临床案例显示,一位18岁女性患者治疗后,侧面轮廓线从“直线凸出”变为“自然流畅的S型”,露龈笑从4mm减少至0.5mm,术后满意度评分从治疗前的3分(满分10分)提升至9分。
长期维护与注意事项
正畸治疗结束后,牙齿仍处于稳定调整期,需严格佩戴保持器以防止复发,双颌前突患者因牙齿原有前突趋势,复发风险较高,建议:
- 保持器选择:通常采用透明压膜保持器(上下全牙列)或 Hawley 保持器(含金属丝和基托),前者美观且贴合度高,后者稳定性更强,需根据医生建议选择。
- 佩戴时间:矫正后第1年需全天佩戴(进食、刷牙时取下),之后逐渐过渡至夜间长期佩戴,至少坚持2-3年,部分患者需终身夜间佩戴。
- 定期复查:保持期间每3-6个月复查1次,医生会检查牙齿排列稳定性、咬合关系及牙周状况,必要时调整保持器。
需纠正不良口腔习惯(如吐舌、咬唇、咬物),这些习惯是导致复发的常见诱因;同时保持口腔卫生,使用巴氏刷牙法每日刷牙2次,配合牙线、冲牙器清洁牙缝,避免因口腔卫生问题导致牙齿移位或牙周疾病。

相关问答FAQs
问题1:双颌前突矫正的最佳年龄是什么时候?成年人矫正效果会打折扣吗?
解答:青少年时期(12-18岁)是矫正黄金期,此时颌骨仍处于生长发育阶段,通过功能性矫治器可引导骨骼改建,部分骨性畸形患者甚至可避免手术,成年人矫正同样有效,但需注意:①成年人生长发育已停止,骨性畸形严重者需联合正颌手术;②牙槽骨改建速度较慢,治疗时间可能比青少年延长6-12个月;③需评估牙周健康状况,若有牙周炎需先控制炎症再矫正,总体而言,只要牙周健康,成年人矫正效果与青少年相当,美学改善同样显著。
问题2:矫正后牙齿会复发吗?如何科学预防复发?
解答:双颌前突矫正后存在一定复发风险,主要原因包括:①遗传因素:部分患者本身为骨性前突倾向,牙齿有重回原位的趋势;②不良习惯:未纠正吐舌、咬唇等习惯,持续对牙齿施加异常力量;③保持器未坚持佩戴:治疗后1-2年是复发高风险期,若未按要求佩戴保持器,牙齿可能逐渐移位,科学预防复发的措施包括:①彻底纠正不良口腔习惯,必要时可佩戴矫治性保持器;②严格遵循医嘱佩戴保持器,即使感觉“牙齿稳定”也不可擅自停戴;③定期复查(每年1次),医生可通过早期发现轻微移位并及时调整保持器,避免复发加重。
