口腔正畸病例图片是口腔正畸临床工作中不可或缺的核心工具,贯穿于诊断设计、治疗实施、效果评估的全过程,其价值在于以直观、可重复的方式记录患者牙颌面结构的动态变化,为精准治疗提供客观依据,从临床实践来看,病例图片主要可分为口内照、口外照及影像学检查三类,各自承担不同的诊断与沟通功能。
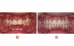
口内照是正畸病例中最基础的影像资料,需全面展示牙齿、牙列、咬合及牙周状况,典型拍摄角度包括正面观(显示中线对称性、牙齿排列整齐度)、右侧45°观(评估颊侧牙齿咬合关系及牙龈形态)、左侧45°观(与右侧对照观察)、上颌/下颌牙列咬合观(重点记录前牙覆合覆盖、后牙咬合接触关系)及曲面断层片(观察牙根形态、恒牙胚位置及颌骨情况),对于牙列拥挤患者,正面口内照可直观显示牙齿扭转、间隙不足等问题,而咬合观则能明确拥挤对咬合功能的影响,口外照则侧重面部软组织评估,包括正面自然放松位(观察面部对称性、比例)、正面微笑位(评估上唇显露量、牙龈暴露情况)、侧面自然位(分析突度、颏部形态)及侧面90°位(观察下颌平面角、面下1/3高度),这些照片对制定美学改善方案至关重要,如通过微笑位图片可设计前牙美学区的排列,避免“露龈笑”等问题,影像学检查中,头颅侧位片是正畸诊断的“金标准”,通过测量SNA角、SNB角、ANB角等骨性指标,判断颌骨与颅面的位置关系;同时分析上下齿槽座角、上下中切牙角等牙性指标,明确牙齿与颌骨的协调性,为制定骨性或牙性矫治方案提供数据支持。

高质量的病例图片需遵循严格的拍摄规范,拍摄时,患者应保持头部自然位,眶耳平面与地面平行,嘴唇自然放松或按指令微笑;相机镜头需与牙齿平面垂直,避免因角度偏差导致的影像变形;光照应均匀充足,避免阴影干扰,尤其拍摄咬合观时需使用咬合板辅助固定,每次复诊的拍摄条件(设备、角度、距离)需保持一致,确保治疗前后图片具有可比性,这对疗效评估至关重要。
在临床应用中,病例图片的价值体现在多个维度:一是辅助诊断,通过对比初诊与治疗中的图片,动态观察牙齿移动速度、位置变化及组织反应;二是医患沟通,直观展示患者的错颌问题及预期效果,帮助患者理解治疗必要性,提高依从性;三是质量控制,定期回顾病例图片可及时发现治疗偏差(如牙齿倾斜异常、支抗丢失等),及时调整方案;四是学术交流,完整的病例图片与数据是正畸病例报告、科研论文的核心内容,推动学科经验共享与技术进步。
相关问答FAQs
Q:正畸病例图片拍摄时,哪些角度是必须包含的?为什么?
A:必须包含口内正面、左右45°、咬合正面观及头颅侧位片,口内正面观评估中线对称性与牙齿排列;45°观观察颊侧咬合与牙龈形态;咬合观明确覆合覆盖及后牙关系;头颅侧位片则是骨性与牙性分析的核心依据,这些角度组合能全面覆盖牙颌面结构的诊断需求,避免信息遗漏。
Q:如何确保正畸病例图片的隐私保护?
A:需严格遵守医疗隐私法规:①存储使用加密系统,设置访问权限分级;②图片资料匿名化处理,去除姓名、身份证号等个人信息;③传输采用加密通道,避免泄露;④废弃资料经专业销毁处理;⑤学术交流时需隐去患者面部特征,仅保留口腔局部影像,确保患者隐私安全。

