在选择拔牙还是正畸时,很多人会陷入“非此即彼”的误区,但实际上两者并非对立关系——拔牙可能是正畸治疗中的必要手段,而正畸的目标是解决牙齿排列和咬合问题,拔牙与否取决于具体的口腔状况、治疗需求以及医生的专业判断,要理解这个问题,首先需要明确正畸的核心目标:通过移动牙齿,建立良好的咬合功能,同时改善面部美观,长期维护口腔健康,而拔牙,则是为实现这一目标可能采取的“空间调整”策略,其本质是为牙齿移动创造条件,而非单纯的治疗目的。
正畸为什么可能需要拔牙?
牙齿在口腔中的排列需要满足“牙量与骨量的协调”——即牙齿总宽度(牙量)与颌骨提供的空间(骨量)是否匹配,当牙量大于骨量时,就会出现“牙齿拥挤”,就像房间里的家具过多,无法整齐摆放;反之,若骨量过大,则可能出现“牙齿稀疏”,正畸治疗的核心之一就是调整牙量与骨量的平衡,而拔牙正是“减少牙量”的常用方法。

拔牙的常见适应症
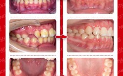
- 严重牙列拥挤:当牙齿拥挤程度超过8mm时,仅靠移动牙齿很难完全排齐,强行排齐可能导致牙齿唇倾(“龅牙”)、牙龈萎缩、牙根吸收等问题,拔除部分牙齿(通常为前磨牙)可释放空间,让剩余牙齿在正常位置排列。
- 前牙深覆盖(“龅牙”):上下前牙水平距离过大,不仅影响美观,还可能导致咬合创伤、嘴唇无法自然闭合,拔牙后通过内收前牙,可减少前突度,改善侧面轮廓和唇部形态。
- 前后牙咬合关系异常:如“反颌”(地包天)、“锁颌”等,拔牙可调整牙齿长轴,建立稳定的咬合接触,避免咀嚼功能受损。
- 纠正中线偏斜:因牙齿缺失或萌出异常导致的中线不齐,可能需要拔除对侧牙齿,通过移动牙齿使中线对齐。
- 为修复治疗创造条件:如牙齿缺失较多,邻牙倾斜占据空间,拔除无法保留的残根、残冠,可为种植牙或修复体腾出位置。
不拔牙正畸的可能性与局限
并非所有正畸都需要拔牙,是否拔牙需综合评估“牙量骨量比”、“面部软组织形态”、“患者年龄”等因素,不拔牙正畸的核心是“利用现有空间”,常见方法包括:
- 扩大牙弓:通过推磨牙向后、扩弓器等方式增加骨量,适用于轻度拥挤且面部宽度足够的患者,但过度扩弓可能导致牙齿颊侧倾斜、牙龈萎缩,且效果不稳定。
- 邻面去釉(片切):通过磨除少量牙齿邻釉质(约0.25mm/颗),每颗牙齿可释放约0.5mm空间,总空间释放量有限(通常不超过4-6mm),适用于轻度拥挤且患者美观要求高的情况。
- 直立倾斜的牙齿:将长期倾斜的牙齿直立,利用其与邻牙间的“间隙”排齐牙齿,适用于部分磨牙前倾、有散在间隙的患者。
不拔牙的局限性:若牙量骨量不匹配严重(如拥挤度>8mm),强行不拔牙排齐,可能导致以下问题:
① 牙齿过度唇倾,侧貌突度增加;
② 牙齿在牙槽骨中位置异常,长期易出现牙龈萎缩、牙根暴露;
③ 咬合不稳定,治疗后复发风险高;
④ 面部软组织因牙齿支撑不足,出现“瘪嘴”等形态改变。
拔牙 vs. 不拔牙:核心指标对比
为更直观理解两者的适用场景,可通过下表对比关键指标:
| 对比维度 | 拔牙正畸 | 不拔牙正畸 |
|---|---|---|
| 适应情况 | 严重拥挤(>8mm)、前牙深覆盖、咬合紊乱 | 轻度拥挤(<4mm)、牙量骨量基本协调 |
| 空间释放量 | 大(每颗前磨牙可释放约7-10mm空间) | 小(扩弓约2-4mm,片切约0.5mm/颗) |
| 对面型影响 | 可改善前突、侧貌轮廓更协调 | 可能维持原有面型,但无法改善突度 |
| 治疗难度与时间 | 稍高(需精细控制牙齿移动),疗程可能延长1-3个月 | 较低,疗程相对较短 |
| 长期稳定性 | 高(咬合接触稳定,复发风险低) | 中等(依赖患者保持,易复发) |
| 对牙齿健康影响 | 拔牙后邻牙需移动,但可避免牙龈萎缩 | 无拔牙创伤,但可能因过度移动损伤牙周 |
如何判断“该不该拔牙”?关键评估步骤
是否拔牙需由专业正畸医生通过全面检查综合判断,核心流程包括:

- 临床检查:评估牙齿拥挤度、咬合关系、面部对称性、牙龈健康状况等,测量“牙弓长度”与“牙齿总宽度”的差值( Bolton指数分析)。
- 影像学检查:通过全景片、头颅侧位片测量骨量与牙量,判断牙槽骨发育情况、牙根形态(如是否有弯曲、吸收),排除拔牙禁忌(如牙根粘连、重要病变)。
- 模型分析:在石膏模型上模拟牙齿排列,预测拔牙与不拔牙的排齐效果,评估咬合稳定性。
- 患者需求沟通:结合患者对美观、功能的主观需求(如是否接受“侧貌改善”、能否接受拔牙),制定个性化方案。
拔牙正畸的常见误区与真相
误区1:“拔牙会导致牙齿松动、早掉”
真相:拔牙是“移除不需要的牙齿”,而非“拔掉健康的牙”,正畸中牙齿移动是生理性过程(牙槽骨改建),只要医生控制好移动速度,治疗后佩戴保持器,牙齿不会松动,相反,不拔牙强行排齐可能因牙齿过度倾斜,长期更易松动。
误区2:“拔牙会让脸凹陷、显老”
真相:拔牙通常选择前磨牙(功能影响小),拔牙后通过内收前牙,减少门牙对嘴唇的支撑,反而可能改善“凸嘴”导致的“显凶”感,让侧貌更柔和,若拔牙后未内收或过度内收,才可能出现凹陷,这取决于医生方案设计,而非拔牙本身。
误区3:“不拔牙也能矫正,医生让我拔牙是为了赚钱”
真相:拔牙与否基于严格的医学指征,而非经济利益,对于需要拔牙的患者,不拔牙治疗可能导致效果不佳、复发等问题,反而增加二次治疗成本,专业医生会以“长期健康与稳定”为首要原则,权衡利弊后制定方案。
没有“更好”,只有“更适合”
拔牙与正畸的关系,本质是“手段与目的”的统一——正畸的目的是解决牙齿问题、改善口腔健康,拔牙只是实现这一目的的“工具之一”,是否需要拔牙,取决于牙齿拥挤程度、咬合关系、面部形态等多重因素,需通过专业评估后决定,对于适合拔牙的患者,拔牙正畸可达到“排齐、稳定、美观”的长期效果;对于轻度拥挤者,不拔牙正畸也能满足需求,关键在于选择经验丰富的正畸医生,进行全面检查与个性化方案设计,避免因“恐惧拔牙”或“盲目追求不拔牙”而影响治疗效果。

相关问答FAQs
Q1:拔牙正畸后,牙缝会变大吗?需要终身戴保持器吗?
A:拔牙正畸后牙缝可能暂时存在(用于调整咬合),但医生会通过精细移动关闭间隙,最终不会有“异常牙缝”,至于保持器,所有正畸治疗后都需佩戴——因为牙齿有“回归原位”的趋势,佩戴保持器(通常夜间佩戴)可稳定治疗效果,避免复发,并非“拔牙后特有”,而是正畸治疗的常规要求。
Q2:成年后正畸,拔牙风险比青少年大吗?会影响身体其他器官吗?
A:成年后正畸拔牙风险与青少年无本质差异,只要术前检查无拔牙禁忌(如凝血功能障碍、严重心脏病等),手术安全性较高,拔牙是局部操作,仅涉及口腔内牙齿,不会影响身体其他器官,成年后牙槽骨改建速度较慢,治疗时间可能稍长,但效果同样稳定,需在医生指导下配合治疗。
